电话:
+86 (0512) 65829739
传真:
+86 (010) 6788 5057
电子邮件:
orders@antibodies-online.cn

RPL13 抗体

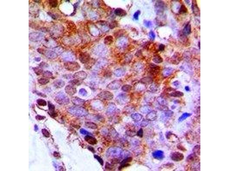
The 兔 多克隆 anti-RPL13 antibody (ABIN7306776) specifically detects RPL13 in WB, IHC 和 IF. The antibody is reactive with 人, 小鼠 和 大鼠 samples.
产品编号 ABIN7306776
发货至: 中国
Contact our Customer Service for availability and price in your country. Contact Info

Our Local Distributor

中国
北京 101111
No. 88 KeChuang 6th Street
Beijing Economic Technological Development Area
Room 801-803
4A Biotech Co.,Ltd.
Tel +86 (0512) 65829739 传真 +86 (010) 6788 5057

Quick Overview for RPL13 抗体 (ABIN7306776)

抗原

See all RPL13 抗体
RPL13 (Ribosomal Protein L13 (RPL13))

适用

  • 26
  • 19
  • 6
  • 5
  • 3
  • 3
  • 2
  • 2
  • 2
  • 2
  • 2
  • 2
  • 2
  • 1
人, 小鼠, 大鼠

宿主

  • 24
  • 2

克隆类型

  • 15
  • 11
多克隆

标记

  • 17
  • 1
  • 1
  • 1
  • 1
  • 1
  • 1
  • 1
  • 1
  • 1
This RPL13 antibody is un-conjugated

应用范围

  • 26
  • 16
  • 14
  • 10
  • 5
  • 1
  • 1
Western Blotting (WB), Immunohistochemistry (IHC), Immunofluorescence (IF)
  • 原理

    Rabbit polyclonal antibody to RPL13

    特异性

    Recognizes endogenous levels of RPL13 protein.

    产品特性

    Rabbit polyclonal antibody to RPL13

    纯化方法

    The antibody was purified by immunogen affinity chromatography.

    免疫原

    Recombinant fusion protein of human RPL13
  • 应用备注

    WB (1/500 - 1/2000), IH (1/50 - 1/200), IF/IC (1/50 - 1/200)

    限制

    仅限研究用
  • 状态

    Liquid

    缓冲液

    Liquid in 0.42 % Potassium phosphate, 0.87 % Sodium chloride, pH 7.3, 30 % glycerol, and 0.01 % sodium azide.

    储存液

    Sodium azide

    注意事项

    This product contains Sodium azide: a POISONOUS AND HAZARDOUS SUBSTANCE which should be handled by trained staff only.

    储存条件

    -20 °C

    储存方法

    Shipped at 4°C. Upon delivery aliquot and store at -20°C for one year. Avoid freeze/thaw cycles.

    有效期

    12 months
  • 抗原

    RPL13 (Ribosomal Protein L13 (RPL13))

    别名

    RPL13

    背景

    BBC1, 60S ribosomal protein L13, Breast basic conserved protein 1

    基因ID

    6137, 270106, 81765

    UniProt

    P26373
You are here: