电话:
+86 (0512) 65829739
传真:
+86 (010) 6788 5057
电子邮件:
orders@antibodies-online.cn

Recombinant RPL13 抗体

This 兔 单克隆 antibody specifically detects RPL13 in WB, FACS 和 IF (p). It exhibits reactivity toward 人.
产品编号 ABIN7800218
发货至: 中国
Contact our Customer Service for availability and price in your country. Contact Info

Our Local Distributor

中国
北京 101111
No. 88 KeChuang 6th Street
Beijing Economic Technological Development Area
Room 801-803
4A Biotech Co.,Ltd.
Tel +86 (0512) 65829739 传真 +86 (010) 6788 5057

Quick Overview for Recombinant RPL13 抗体 (ABIN7800218)

抗原

See all RPL13 抗体
RPL13 (Ribosomal Protein L13 (RPL13))

抗体类型

Recombinant Antibody

适用

  • 26
  • 20
  • 7
  • 5
  • 3
  • 3
  • 2
  • 2
  • 2
  • 2
  • 2
  • 2
  • 2
  • 1

宿主

  • 24
  • 2

克隆类型

  • 14
  • 12
单克隆

标记

  • 17
  • 1
  • 1
  • 1
  • 1
  • 1
  • 1
  • 1
  • 1
  • 1
This RPL13 antibody is un-conjugated

应用范围

  • 26
  • 17
  • 15
  • 10
  • 5
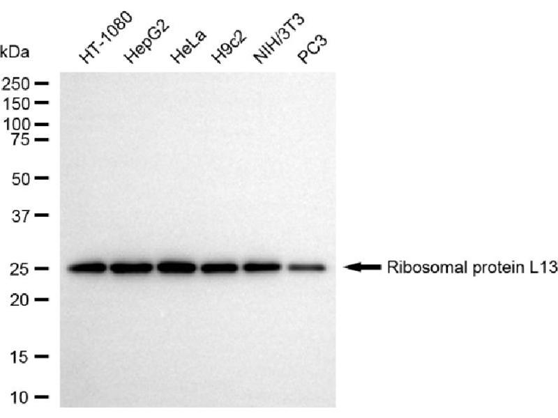
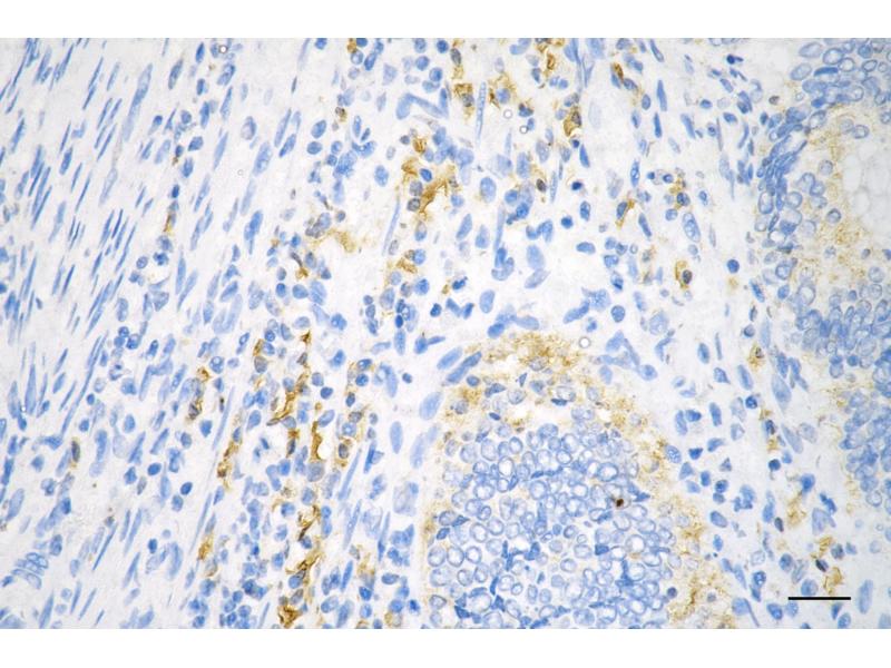
Western Blotting (WB), Flow Cytometry (FACS), Immunofluorescence (Paraffin-embedded Sections) (IF (p))

质量等级

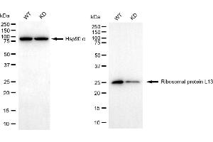
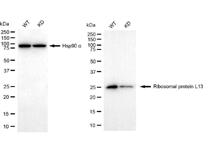
KD Validated

克隆位点

25GB2610
  • Expression System

    HEK-293 Cells

    原理

    KD-Validated Ribosomal Protein L13 Recombinant Rabbit mAb

    交叉反应

    小鼠, 大鼠

    纯化方法

    Affinity Purified

    免疫原

    A synthesized peptide derived from human RPL13

    亚型

    IgG
  • 应用备注

    Western blotting (WB): 1:1,000-1:5,000, Flow Cytometry (FCM): 1:200-1:2,000, Immunohistochemistry-Paraffin (IHC-P): 1:100-1:200

    说明

    We assess the antibodies’ specificity and selectivity using knockdown techniques. Our validation approach is straightforward: if an antibody identifies a signal in wild-type (WT) cells, but this signal is absent or noticeably reduced in gene-silenced (KD) cells, we consider the antibody to be highly specific.

    限制

    仅限研究用
  • 状态

    Liquid

    缓冲液

    PBS (pH 7.4) containing 50% glycerol and 0.02% sodium azide.

    储存液

    Sodium azide

    注意事项

    This product contains Sodium azide: a POISONOUS AND HAZARDOUS SUBSTANCE which should be handled by trained staff only.

    储存条件

    -20 °C

    储存方法

    Store at -20 °C for one year.

    有效期

    12 months
  • 抗原

    RPL13 (Ribosomal Protein L13 (RPL13))

    别名

    Ribosomal Protein L13

    分子量

    24 kDa

    基因ID

    6137

    UniProt

    P26373
You are here: