电话:
+86 (0512) 65829739
传真:
+86 (010) 6788 5057
电子邮件:
orders@antibodies-online.cn

Histone H2B 抗体 (acLys5)

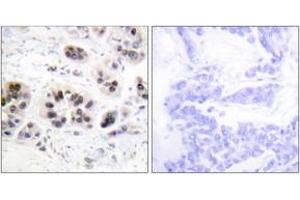
This 兔 多克隆 antibody specifically detects Histone H2B in ELISA, IHC 和 IHC (p). It exhibits reactivity toward 人, 小鼠 和 大鼠.
产品编号 ABIN2890725
发货至: 中国
Contact our Customer Service for availability and price in your country. Contact Info

Our Local Distributor

中国
北京 101111
No. 88 KeChuang 6th Street
Beijing Economic Technological Development Area
Room 801-803
4A Biotech Co.,Ltd.
Tel +86 (0512) 65829739 传真 +86 (010) 6788 5057

Quick Overview for Histone H2B 抗体 (acLys5) (ABIN2890725)

抗原

See all Histone H2B 抗体
Histone H2B

适用

  • 291
  • 155
  • 146
  • 21
  • 14
  • 9
  • 9
  • 5
  • 5
  • 5
  • 4
  • 3
  • 3
  • 2
  • 1
人, 小鼠, 大鼠

宿主

  • 296
  • 23
  • 2

克隆类型

  • 233
  • 88
多克隆

标记

  • 199
  • 17
  • 9
  • 9
  • 9
  • 9
  • 9
  • 9
  • 8
  • 7
  • 5
  • 5
  • 2
  • 2
  • 2
  • 2
  • 2
  • 2
  • 2
  • 2
  • 2
  • 2
  • 2
  • 2
  • 2
This Histone H2B antibody is un-conjugated

应用范围

  • 248
  • 103
  • 102
  • 73
  • 66
  • 34
  • 31
  • 27
  • 27
  • 26
  • 20
  • 7
  • 6
  • 6
  • 2
  • 2
  • 2
  • 1
  • 1
ELISA, Immunohistochemistry (IHC), Immunohistochemistry (Paraffin-embedded Sections) (IHC (p))
  • 抗原表位

    • 23
    • 15
    • 14
    • 11
    • 10
    • 10
    • 10
    • 10
    • 10
    • 9
    • 9
    • 8
    • 8
    • 6
    • 6
    • 6
    • 5
    • 5
    • 4
    • 4
    • 4
    • 3
    • 3
    • 3
    • 3
    • 3
    • 3
    • 3
    • 3
    • 3
    • 2
    • 2
    • 2
    • 2
    • 2
    • 2
    • 2
    • 2
    • 2
    • 2
    • 2
    • 2
    • 2
    • 2
    • 2
    • 2
    • 2
    • 2
    • 2
    • 2
    acLys5

    特异性

    Histone H2A (Acetyl-Lys5) Antibody detects endogenous levels of total Histone H2A protein only when acetylated at lysine5.

    纯化方法

    Immunoaffinity purified

    免疫原

    Synthetic peptide from human Histone H2A around the acetylated site of Lys5.

    Type of Immunogen: Synthetic peptide

    亚型

    IgG
  • 应用备注

    Approved: IHC, IHC-P (1:50 - 1:100), Peptide-ELISA (1:1000)

    说明

    Target Species of Antibody: Human

    限制

    仅限研究用
  • 状态

    Liquid

    浓度

    Lot specific

    缓冲液

    PBS (without Mg2+, Ca2+),  pH 7.4, 150 mM sodium chloride, 0.02 % sodium azide, 50 % glycerol

    储存液

    Sodium azide

    注意事项

    This product contains Sodium azide: a POISONOUS AND HAZARDOUS SUBSTANCE which should be handled by trained staff only.

    储存条件

    -20 °C

    储存方法

    Store at -20°C for up to 1 year.

    有效期

    12 months
  • 抗原

    Histone H2B
You are here: