电话:
+86 (0512) 65829739
传真:
+86 (010) 6788 5057
电子邮件:
orders@antibodies-online.cn

FZD5 抗体 (AA 461-510)

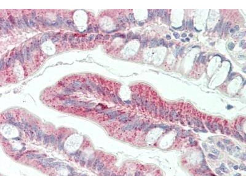
The 兔 多克隆 anti-FZD5 antibody (ABIN2879439) specifically detects FZD5 in WB, ELISA, IHC, IF 和 IHC (p). The antibody is reactive with 人, 小鼠 和 大鼠 samples.
产品编号 ABIN2879439
发货至: 中国
Contact our Customer Service for availability and price in your country. Contact Info

Our Local Distributor

中国
北京 101111
No. 88 KeChuang 6th Street
Beijing Economic Technological Development Area
Room 801-803
4A Biotech Co.,Ltd.
Tel +86 (0512) 65829739 传真 +86 (010) 6788 5057

Quick Overview for FZD5 抗体 (AA 461-510) (ABIN2879439)

抗原

See all FZD5 抗体
FZD5 (Frizzled Family Receptor 5 (FZD5))

适用

  • 52
  • 19
  • 16
  • 7
  • 5
  • 4
  • 3
  • 2
  • 1
  • 1
  • 1
  • 1
人, 小鼠, 大鼠

宿主

  • 47
  • 6
  • 1

克隆类型

  • 49
  • 5
多克隆

标记

  • 38
  • 3
  • 1
  • 1
  • 1
  • 1
  • 1
  • 1
  • 1
  • 1
  • 1
  • 1
  • 1
  • 1
  • 1
This FZD5 antibody is un-conjugated

应用范围

  • 37
  • 24
  • 13
  • 10
  • 6
  • 5
  • 2
  • 2
  • 1
  • 1
  • 1
Western Blotting (WB), ELISA, Immunohistochemistry (IHC), Immunofluorescence (IF), Immunohistochemistry (Paraffin-embedded Sections) (IHC (p))
  • 抗原表位

    • 9
    • 9
    • 6
    • 2
    • 2
    • 1
    • 1
    • 1
    • 1
    • 1
    • 1
    • 1
    • 1
    • 1
    • 1
    • 1
    • 1
    • 1
    • 1
    • 1
    • 1
    AA 461-510

    特异性

    FZD5 Antibody detects endogenous levels of total FZD5 protein.

    纯化方法

    Immunoaffinity purified

    免疫原

    Synthetic peptide from human FZD5 (aa461-510).

    Type of Immunogen: Synthetic peptide

    亚型

    IgG
  • 应用备注

    Approved: IF (1:100 - 1:500), IHC, IHC-P (1:200), Peptide-ELISA (1:20000), WB (1:500 - 1:1000)

    说明

    Target Species of Antibody: Human

    限制

    仅限研究用
  • 状态

    Liquid

    浓度

    Lot specific

    缓冲液

    PBS (without Mg2+, Ca2+),  pH 7.4, 150 mM sodium chloride, 0.02 % sodium azide, 50 % glycerol

    储存液

    Sodium azide

    注意事项

    This product contains Sodium azide: a POISONOUS AND HAZARDOUS SUBSTANCE which should be handled by trained staff only.

    储存条件

    -20 °C

    储存方法

    Store at -20°C for up to 1 year.

    有效期

    12 months
  • 抗原

    FZD5 (Frizzled Family Receptor 5 (FZD5))

    别名

    FZD5 / Frizzled 5

    背景

    Name/Gene ID: FZD5
    Subfamily: Frizzled
    Family: GPCR

    Synonyms: FZD5, C2orf31, DKFZP434E2135, Frizzled family receptor 5, Fz5, Fzd-5, FzE5, Frizzled 5, Frizzled-5, Wnt receptor, Fz-5, HFZ5

    基因ID

    7855

    途径

    WNT signaling
You are here: