电话:
+86 (0512) 65829739
传真:
+86 (010) 6788 5057
电子邮件:
orders@antibodies-online.cn

XAB2 抗体 (N-Term)

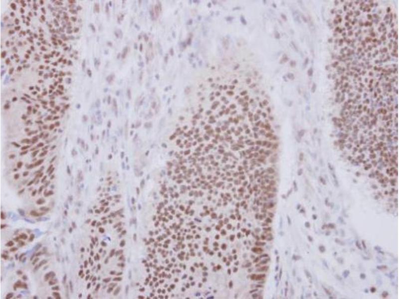
The 兔 多克隆 anti-XAB2 antibody (ABIN2857059) specifically detects XAB2 in WB 和 IHC (p). The antibody is reactive with 人 samples.
产品编号 ABIN2857059
发货至: 中国
Contact our Customer Service for availability and price in your country. Contact Info

Our Local Distributor

中国
北京 101111
No. 88 KeChuang 6th Street
Beijing Economic Technological Development Area
Room 801-803
4A Biotech Co.,Ltd.
Tel +86 (0512) 65829739 传真 +86 (010) 6788 5057

Quick Overview for XAB2 抗体 (N-Term) (ABIN2857059)

抗原

See all XAB2 抗体
XAB2 (XPA Binding Protein 2 (XAB2))

适用

  • 54
  • 17
  • 17
  • 7
  • 7
  • 5
  • 4
  • 3
  • 2
  • 1
  • 1
  • 1
  • 1

宿主

  • 50
  • 3
  • 1

克隆类型

  • 52
  • 2
多克隆

标记

  • 25
  • 4
  • 3
  • 3
  • 1
  • 1
  • 1
  • 1
  • 1
  • 1
  • 1
  • 1
  • 1
  • 1
  • 1
  • 1
  • 1
  • 1
  • 1
  • 1
  • 1
  • 1
  • 1
This XAB2 antibody is un-conjugated

应用范围

  • 41
  • 19
  • 13
  • 13
  • 5
  • 4
  • 4
  • 4
  • 3
Western Blotting (WB), Immunohistochemistry (Paraffin-embedded Sections) (IHC (p))
  • 抗原表位

    • 15
    • 7
    • 4
    • 4
    • 3
    • 2
    • 2
    • 2
    • 2
    • 1
    • 1
    • 1
    • 1
    • 1
    N-Term

    交叉反应

    人, 小鼠

    产品特性

    Rabbit Polyclonal antibody to XAB2 (pre-mRNA-splicing factor SYF1)
    XAB2 antibody [N1N2], N-term

    纯化方法

    Purified by antigen-affinity chromatography.

    免疫原

    Recombinant protein encompassing a sequence within the N-terminus region of human XAB2. The exact sequence is proprietary.

    亚型

    IgG
  • 应用备注

    WB: 1:500-1:3000. IHC-P: 1:100-1:1000. Optimal dilutions/concentrations should be determined by the researcher. Not tested in other applications.

    说明

    Positive Control: HeLa , NIH-3T3 , JC , BCL-1

    限制

    仅限研究用
  • 状态

    Liquid

    浓度

    1.01 mg/mL

    缓冲液

    0.1M Tris-Glycine ( pH 7), 20 % Glycerol, 0.01 % Thimerosal

    储存液

    Thimerosal (Merthiolate)

    注意事项

    This product contains Thimerosal (Merthiolate): a POISONOUS AND HAZARDOUS SUBSTANCE which should be handled by trained staff only.

    储存条件

    4 °C,-20 °C

    储存方法

    Store as concentrated solution. Centrifuge briefly prior to opening vial. For short-term storage (1-2 weeks), store at 4°C. For long-term storage, aliquot and store at -20°C or below. Avoid multiple freeze-thaw cycles.
  • 抗原

    XAB2 (XPA Binding Protein 2 (XAB2))

    别名

    XPA binding protein 2

    背景

    Involved in transcription-coupled repair (TCR), transcription and pre-mRNA splicing.

    Cellular Localization: Nucleus (By similarity)

    分子量

    100 kDa

    基因ID

    56949

    UniProt

    Q9HCS7
You are here: