CLP1 抗体 (Center)
Our Local Distributor
北京 101111
Quick Overview for CLP1 抗体 (Center) (ABIN2856997)
抗原
See all CLP1 抗体适用
宿主
克隆类型
标记
应用范围
-
-
抗原表位
- Center
-
产品特性
-
Rabbit Polyclonal antibody to CLP1 (CLP1, cleavage and polyadenylation factor I subunit, homolog (S. cerevisiae))
CLP1 antibody [N3C3] -
纯化方法
- Purified by antigen-affinity chromatography.
-
免疫原
- Recombinant protein encompassing a sequence within the center region of human CLP1.
-
-
-
-
应用备注
-
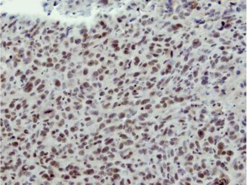
WB: 1:500-1:3000, IHC-P: 1:100-1:1000 [suggested antigen retrieval using heat mediated 10 mM Citrate buffer ( pH 6.0) or Tris-EDTA buffer ( pH 8.0)], ICC/IF: 1:100-1:1000.
Not yet tested in other applications.
Optimal working dilutions should be determined experimentally by the end user. -
限制
- 仅限研究用
-
-
-
状态
- Liquid
-
浓度
- 0.27 mg/mL
-
缓冲液
-
0.1M Tris, 0.1M Glycine, 20 % Glycerol ( pH 7).
0.01 % Thimerosal was added as a preservative. -
储存液
- Thimerosal (Merthiolate)
-
注意事项
- This product contains Thimerosal (Merthiolate): a POISONOUS AND HAZARDOUS SUBSTANCE which should be handled by trained staff only.
-
储存条件
- -20 °C
-
储存方法
-
Keep as concentrated solution. Aliquot and store at -20°C or below.
Avoid multiple freeze-thaw cycles.
-
-
-
: "miR-34 activity is modulated through 5'-end phosphorylation in response to DNA damage." in: Nature communications, Vol. 7, pp. 10954, (2016) (PubMed).
-
-
- CLP1 (Cleavage and Polyadenylation Factor I Subunit 1 (CLP1))
-
别名
- CLP1
-
基因ID
- 10978
-
途径
- Ribonucleoprotein Complex Subunit Organization
抗原
-