电话:
+86 (0512) 65829739
传真:
+86 (010) 6788 5057
电子邮件:
orders@antibodies-online.cn

RFC4 抗体

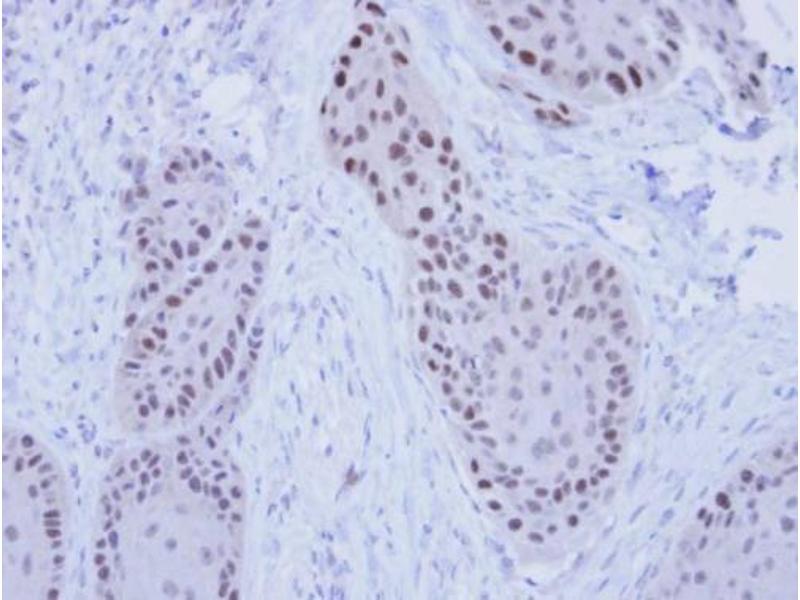
The 兔 多克隆 anti-RFC4 antibody (ABIN2855757) specifically detects RFC4 in WB, IF, ICC 和 IHC (p). The antibody is reactive with 人 samples.
产品编号 ABIN2855757
发货至: 中国
Contact our Customer Service for availability and price in your country. Contact Info

Our Local Distributor

中国
北京 101111
No. 88 KeChuang 6th Street
Beijing Economic Technological Development Area
Room 801-803
4A Biotech Co.,Ltd.
Tel +86 (0512) 65829739 传真 +86 (010) 6788 5057

Quick Overview for RFC4 抗体 (ABIN2855757)

抗原

See all RFC4 抗体
RFC4 (Replication Factor C (Activator 1) 4, 37kDa (RFC4))

适用

  • 44
  • 19
  • 13
  • 3
  • 3
  • 2
  • 2
  • 1
  • 1
  • 1
  • 1
  • 1
  • 1

宿主

  • 33
  • 9
  • 4

克隆类型

  • 39
  • 7
多克隆

标记

  • 35
  • 2
  • 2
  • 1
  • 1
  • 1
  • 1
  • 1
  • 1
  • 1
This RFC4 antibody is un-conjugated

应用范围

  • 35
  • 11
  • 11
  • 9
  • 7
  • 6
  • 5
  • 3
  • 3
  • 2
  • 1
  • 1
  • 1
Western Blotting (WB), Immunofluorescence (IF), Immunocytochemistry (ICC), Immunohistochemistry (Paraffin-embedded Sections) (IHC (p))
  • 交叉反应

    人, 小鼠

    产品特性

    Rabbit Polyclonal antibody to RFC4 (replication factor C (activator 1) 4, 37 kDa)
    RFC4 antibody [N1C3]

    纯化方法

    Purified by antigen-affinity chromatography.

    免疫原

    Recombinant protein encompassing a sequence within the center region of human RFC4. The exact sequence is proprietary.

    亚型

    IgG
  • 应用备注

    WB: 1:500-1:3000. ICC/IF: 1:100-1:1000. IHC-P: 1:100-1:1000. Optimal dilutions/concentrations should be determined by the researcher. Not tested in other applications.

    说明

    Positive Control: Mouse liver , 293T , A431 , HeLa , HepG2

    限制

    仅限研究用
  • 状态

    Liquid

    浓度

    0.62 mg/mL

    缓冲液

    0.1M Tris-Glycine ( pH 7), 10 % Glycerol, 0.01 % Thimerosal

    储存液

    Thimerosal (Merthiolate)

    注意事项

    This product contains Thimerosal (Merthiolate): a POISONOUS AND HAZARDOUS SUBSTANCE which should be handled by trained staff only.

    储存条件

    4 °C,-20 °C

    储存方法

    Store as concentrated solution. Centrifuge briefly prior to opening vial. For short-term storage (1-2 weeks), store at 4°C. For long-term storage, aliquot and store at -20°C or below. Avoid multiple freeze-thaw cycles.
  • 抗原

    RFC4 (Replication Factor C (Activator 1) 4, 37kDa (RFC4))

    别名

    replication factor C subunit 4

    背景

    The elongation of primed DNA templates by DNA polymerase delta and DNA polymerase epsilon requires the accessory proteins proliferating cell nuclear antigen (PCNA) and replication factor C (RFC). RFC, also named activator 1, is a protein complex consisting of five distinct subunits of 140, 40, 38, 37, and 36 kD. This gene encodes the 37 kD subunit. This subunit forms a core complex with the 36 and 40 kDa subunits. The core complex possesses DNA-dependent ATPase activity, which was found to be stimulated by PCNA in an in vitro system. Alternatively spliced transcript variants encoding the same protein have been reported.

    Cellular Localization: Nucleus

    分子量

    40 kDa

    基因ID

    5984

    UniProt

    P35249

    途径

    Telomere Maintenance, DNA Damage Repair, DNA Replication, Synthesis of DNA
You are here: