电话:
+86 (0512) 65829739
传真:
+86 (010) 6788 5057
电子邮件:
orders@antibodies-online.cn

FGFRL1 抗体

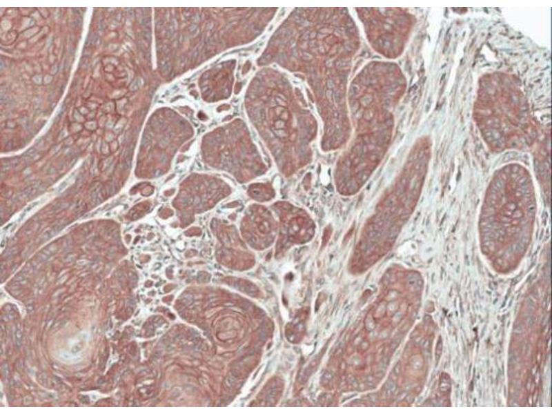
The 兔 多克隆 anti-FGFRL1 antibody (ABIN2855700) specifically detects FGFRL1 in WB 和 IHC (p). The antibody is reactive with 人 samples.
产品编号 ABIN2855700
发货至: 中国
Contact our Customer Service for availability and price in your country. Contact Info

Our Local Distributor

中国
北京 101111
No. 88 KeChuang 6th Street
Beijing Economic Technological Development Area
Room 801-803
4A Biotech Co.,Ltd.
Tel +86 (0512) 65829739 传真 +86 (010) 6788 5057

Quick Overview for FGFRL1 抗体 (ABIN2855700)

抗原

See all FGFRL1 抗体
FGFRL1 (Fibroblast Growth Factor Receptor-Like 1 (FGFRL1))

适用

  • 49
  • 15
  • 4
  • 1
  • 1
  • 1
  • 1
  • 1
  • 1

宿主

  • 51
  • 1
  • 1

克隆类型

  • 51
  • 2
多克隆

标记

  • 23
  • 4
  • 4
  • 3
  • 1
  • 1
  • 1
  • 1
  • 1
  • 1
  • 1
  • 1
  • 1
  • 1
  • 1
  • 1
  • 1
  • 1
  • 1
  • 1
  • 1
  • 1
  • 1
This FGFRL1 antibody is un-conjugated

应用范围

  • 40
  • 19
  • 18
  • 13
  • 13
  • 6
  • 5
  • 5
  • 3
  • 2
  • 1
  • 1
  • 1
Western Blotting (WB), Immunohistochemistry (Paraffin-embedded Sections) (IHC (p))
  • 交叉反应

    产品特性

    Rabbit polyclonal antibody to FGFR-5 (fibroblast growth factor receptor-like 1)
    FGFR-5 antibody

    纯化方法

    Purified by antigen-affinity chromatography.

    免疫原

    Recombinant protein encompassing a sequence within the center region of human FGFR5. The exact sequence is proprietary.

    亚型

    IgG
  • 应用备注

    WB: 1:500-1:3000. IHC-P: 1:100-1:1000. Optimal dilutions/concentrations should be determined by the researcher. Not tested in other applications.

    说明

    Positive Control: FGFRL1-transfected 293T , HepG2 membrane extract

    Validation: Orthogonal, Overexpression

    限制

    仅限研究用
  • 状态

    Liquid

    浓度

    2.42 mg/mL

    缓冲液

    1XPBS ( pH 7), 20 % Glycerol, 0.025 % ProClin 300

    储存液

    ProClin

    注意事项

    This product contains ProClin: a POISONOUS AND HAZARDOUS SUBSTANCE which should be handled by trained staff only.

    储存条件

    4 °C,-20 °C

    储存方法

    Store as concentrated solution. Centrifuge briefly prior to opening vial. For short-term storage (1-2 weeks), store at 4°C. For long-term storage, aliquot and store at -20°C or below. Avoid multiple freeze-thaw cycles.
  • 抗原

    FGFRL1 (Fibroblast Growth Factor Receptor-Like 1 (FGFRL1))

    别名

    fibroblast growth factor receptor like 1

    背景

    The protein encoded by this gene is a member of the fibroblast growth factor receptor (FGFR) family, where amino acid sequence is highly conserved between members and throughout evolution. FGFR family members differ from one another in their ligand affinities and tissue distribution. A full-length representative protein would consist of an extracellular region, composed of three immunoglobulin-like domains, a single hydrophobic membrane-spanning segment and a cytoplasmic tyrosine kinase domain. The extracellular portion of the protein interacts with fibroblast growth factors, setting in motion a cascade of downstream signals, ultimately influencing mitogenesis and differentiation. A marked difference between this gene product and the other family members is its lack of a cytoplasmic tyrosine kinase domain. The result is a transmembrane receptor that could interact with other family members and potentially inhibit signaling. Multiple alternatively spliced transcript variants encoding the same isoform have been found for this gene.

    Cellular Localization: Membrane, Single-pass type I membrane protein

    分子量

    55 kDa

    基因ID

    53834

    UniProt

    Q8N441

    途径

    RTK signaling
You are here: