电话:
+86 (0512) 65829739
传真:
+86 (010) 6788 5057
电子邮件:
orders@antibodies-online.cn

RAD23B 抗体 (Center)

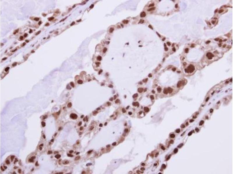
This 兔 多克隆 antibody specifically detects RAD23B in WB, IF, IHC (p) 和 ICC. It exhibits reactivity toward 人.
产品编号 ABIN2855629
发货至: 中国
Contact our Customer Service for availability and price in your country. Contact Info

Our Local Distributor

中国
北京 101111
No. 88 KeChuang 6th Street
Beijing Economic Technological Development Area
Room 801-803
4A Biotech Co.,Ltd.
Tel +86 (0512) 65829739 传真 +86 (010) 6788 5057

Quick Overview for RAD23B 抗体 (Center) (ABIN2855629)

抗原

See all RAD23B 抗体
RAD23B (RAD23 Homolog B (RAD23B))

适用

  • 90
  • 41
  • 39
  • 7
  • 6
  • 4
  • 4
  • 4
  • 4
  • 3
  • 3
  • 2
  • 2
  • 2
  • 1

宿主

  • 66
  • 23
  • 2

克隆类型

  • 68
  • 23
多克隆

标记

  • 56
  • 4
  • 3
  • 3
  • 2
  • 2
  • 2
  • 2
  • 2
  • 2
  • 1
  • 1
  • 1
  • 1
  • 1
  • 1
  • 1
  • 1
  • 1
  • 1
  • 1
  • 1
  • 1
This RAD23B antibody is un-conjugated

应用范围

  • 70
  • 27
  • 27
  • 18
  • 15
  • 14
  • 13
  • 9
  • 6
  • 4
  • 3
  • 2
  • 1
  • 1
  • 1
  • 1
  • 1
Western Blotting (WB), Immunofluorescence (IF), Immunohistochemistry (Paraffin-embedded Sections) (IHC (p)), Immunocytochemistry (ICC)
  • 抗原表位

    • 15
    • 9
    • 7
    • 6
    • 5
    • 4
    • 4
    • 2
    • 1
    • 1
    • 1
    • 1
    • 1
    • 1
    • 1
    • 1
    • 1
    • 1
    • 1
    • 1
    • 1
    • 1
    • 1
    Center

    交叉反应

    交叉反应 (详细)

    Bovine (91 %)

    产品特性

    Rabbit Polyclonal antibody to hHR23b (RAD23 homolog B (S. cerevisiae))
    hHR23b antibody

    纯化方法

    Purified by antigen-affinity chromatography.

    免疫原

    Recombinant protein encompassing a sequence within the center region of human RAD23B. The exact sequence is proprietary.

    亚型

    IgG
  • 应用备注

    Suggested dilution Reference ICC/IF 1:100-1:1000* IHC (Formalin-fixed paraffin-embedded sections) 1:100-1:1000* Western blot 1:5000-1:20000* Not tested in other applications. *Optimal dilutions/concentrations should be determined by the researcher.Suggested dilutionReferenceICC/IF1:100-1:1000* IHC (Formalin-fixed paraffin-embedded sections)1:100-1:1000* Western blot1:5000-1:20000*

    说明

    Positive Control: 293T , A431

    限制

    仅限研究用
  • 状态

    Liquid

    浓度

    0.69 mg/mL

    缓冲液

    0.1M Tris, 0.1M Glycine, 20 % Glycerol ( pH 7). 0.01 % Thimerosal was added as a preservative.

    储存液

    Thimerosal (Merthiolate)

    注意事项

    This product contains Thimerosal (Merthiolate): a POISONOUS AND HAZARDOUS SUBSTANCE which should be handled by trained staff only.

    储存条件

    -20 °C

    储存方法

    Keep as concentrated solution. Aliquot and store at -20°C or below. Avoid multiple freeze-thaw cycles.
  • 抗原

    RAD23B (RAD23 Homolog B (RAD23B))

    别名

    hHR23b

    背景

    The protein encoded by this gene is one of two human homologs of Saccharomyces cerevisiae Rad23, a protein involved in the nucleotide excision repair (NER). This protein was found to be a component of the protein complex that specifically complements the NER defect of xeroderma pigmentosum group C (XP-c) cell extracts in vitro. This protein was also shown to interact with, and elevate the nucleotide excision activity of 3-methyladenine-DNA glycosylase (MPG), which suggested a role in DNA damage recognition in base excision repair. This protein contains an N-terminal ubiquitin-like domain, which was reported to interact with 26S proteasome, and thus this protein may be involved in the ubiquitin mediated proteolytic pathway in cells.

    Cellular Localization: Nucleus , Cytoplasm

    分子量

    43 kDa

    基因ID

    5887

    途径

    DNA Damage Repair
You are here: