电话:
+86 (0512) 65829739
传真:
+86 (010) 6788 5057
电子邮件:
orders@antibodies-online.cn

TLR5 抗体 (N-Term)

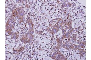
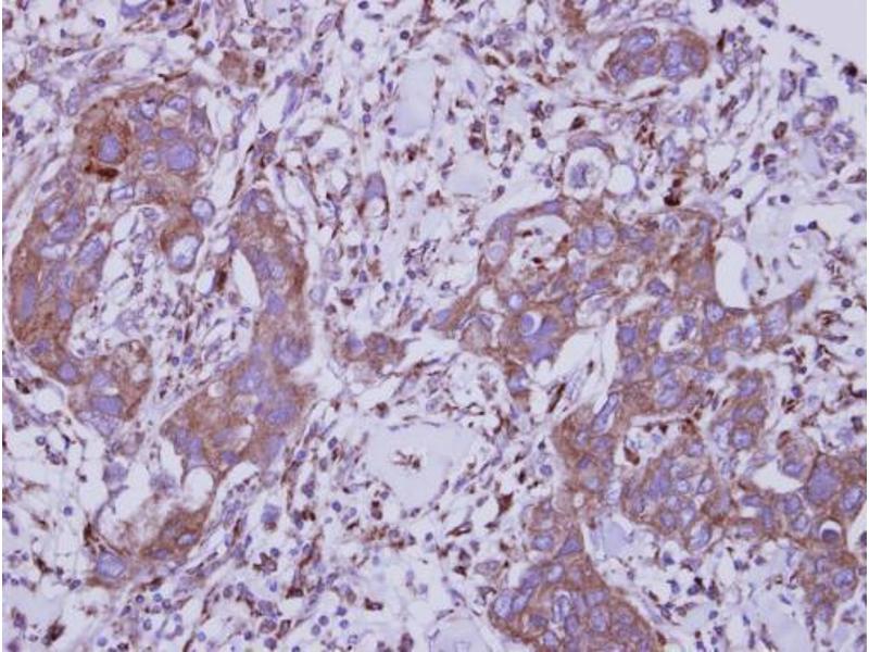
The 兔 多克隆 anti-TLR5 antibody is suitable to detect TLR5 in samples from 人. It has been validated for WB 和 IHC (p).
产品编号 ABIN2855432
发货至: 中国
Contact our Customer Service for availability and price in your country. Contact Info

Our Local Distributor

中国
北京 101111
No. 88 KeChuang 6th Street
Beijing Economic Technological Development Area
Room 801-803
4A Biotech Co.,Ltd.
Tel +86 (0512) 65829739 传真 +86 (010) 6788 5057

Quick Overview for TLR5 抗体 (N-Term) (ABIN2855432)

抗原

See all TLR5 抗体
TLR5 (Toll-Like Receptor 5 (TLR5))

适用

  • 101
  • 59
  • 29
  • 3
  • 2
  • 2
  • 2
  • 1
  • 1

宿主

  • 91
  • 17
  • 3

克隆类型

  • 85
  • 26
多克隆

标记

  • 54
  • 11
  • 11
  • 5
  • 4
  • 3
  • 2
  • 2
  • 2
  • 2
  • 2
  • 2
  • 1
  • 1
  • 1
  • 1
  • 1
  • 1
  • 1
  • 1
  • 1
  • 1
  • 1
This TLR5 antibody is un-conjugated

应用范围

  • 86
  • 43
  • 36
  • 13
  • 12
  • 10
  • 7
  • 5
  • 4
  • 2
  • 2
  • 1
Western Blotting (WB), Immunohistochemistry (Paraffin-embedded Sections) (IHC (p))
  • 抗原表位

    • 13
    • 8
    • 8
    • 7
    • 6
    • 5
    • 5
    • 4
    • 3
    • 3
    • 3
    • 2
    • 2
    • 2
    • 2
    • 2
    • 2
    • 1
    • 1
    • 1
    • 1
    • 1
    • 1
    • 1
    • 1
    • 1
    N-Term

    交叉反应

    产品特性

    Rabbit Polyclonal antibody to TLR5 (toll-like receptor 5)
    TLR5 antibody

    纯化方法

    Purified by antigen-affinity chromatography.

    免疫原

    Recombinant protein encompassing a sequence within the N-terminus region of human TLR5. The exact sequence is proprietary.

    亚型

    IgG
  • 应用备注

    WB: 1:500-1:3000. IHC-P: 1:100-1:1000. Optimal dilutions/concentrations should be determined by the researcher. Not tested in other applications.

    说明

    Positive Control: THP-1 , NCI-H929

    限制

    仅限研究用
  • 状态

    Liquid

    浓度

    1 mg/mL

    缓冲液

    0.1M Tris-Glycine ( pH 7), 10 % Glycerol, 0.01 % Thimerosal

    储存液

    Thimerosal (Merthiolate)

    注意事项

    This product contains Thimerosal (Merthiolate): a POISONOUS AND HAZARDOUS SUBSTANCE which should be handled by trained staff only.

    储存条件

    4 °C,-20 °C

    储存方法

    Store as concentrated solution. Centrifuge briefly prior to opening vial. For short-term storage (1-2 weeks), store at 4°C. For long-term storage, aliquot and store at -20°C or below. Avoid multiple freeze-thaw cycles.
  • 抗原

    TLR5 (Toll-Like Receptor 5 (TLR5))

    别名

    toll like receptor 5

    背景

    The protein encoded by this gene is a member of the Toll-like receptor (TLR) family which plays a fundamental role in pathogen recognition and activation of innate immunity. TLRs are highly conserved from Drosophila to humans and share structural and functional similarities. They recognize pathogen-associated molecular patterns (PAMPs) that are expressed on infectious agents, and mediate the production of cytokines necessary for the development of effective immunity. The various TLRs exhibit different patterns of expression. This gene product is expressed in myelomonocytic cells, and recognizes bacterial flagellin, a principal component of bacterial flagella and a virulence factor. The activation of this receptor mobilizes the nuclear factor NF-kappaB and stimulates tumour necrosis factor-alpha production.

    Cellular Localization: Membrane, Single-pass type I membrane protein

    分子量

    98 kDa

    基因ID

    7100

    UniProt

    O60602

    途径

    TLR signaling, Activation of Innate immune Response, Cellular Response to Molecule of Bacterial Origin, Toll-Like Receptors Cascades
You are here: