电话:
+86 (0512) 65829739
传真:
+86 (010) 6788 5057
电子邮件:
orders@antibodies-online.cn

HLA-DRA 抗体

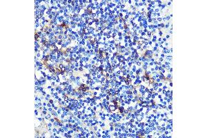
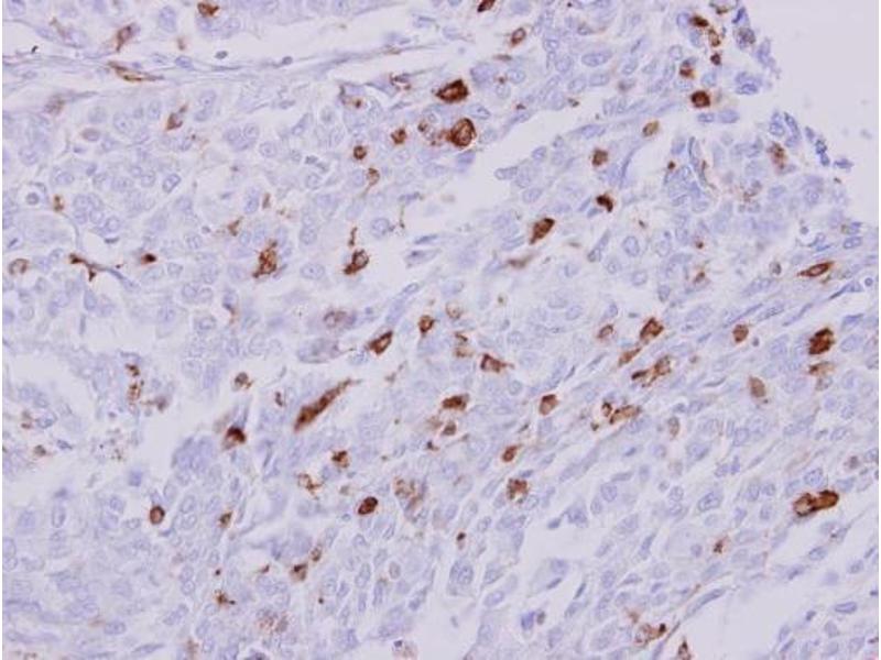
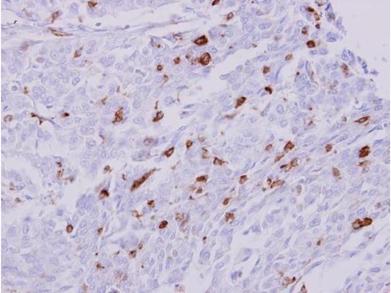
The 兔 多克隆 anti-HLA-DRA antibody (ABIN2855205) specifically detects HLA-DRA in WB 和 IHC (p). The antibody is reactive with 人 samples.
产品编号 ABIN2855205
发货至: 中国
Contact our Customer Service for availability and price in your country. Contact Info

Our Local Distributor

中国
北京 101111
No. 88 KeChuang 6th Street
Beijing Economic Technological Development Area
Room 801-803
4A Biotech Co.,Ltd.
Tel +86 (0512) 65829739 传真 +86 (010) 6788 5057

Quick Overview for HLA-DRA 抗体 (ABIN2855205)

抗原

See all HLA-DRA 抗体
HLA-DRA (HLA Class II DR alpha (HLA-DRA))

适用

  • 148
  • 17
  • 10
  • 9
  • 9
  • 9
  • 4
  • 3
  • 3
  • 1

宿主

  • 87
  • 75
  • 4
  • 1
  • 1

克隆类型

  • 100
  • 68
多克隆

标记

  • 88
  • 13
  • 9
  • 6
  • 4
  • 3
  • 3
  • 3
  • 3
  • 3
  • 3
  • 3
  • 3
  • 3
  • 3
  • 3
  • 3
  • 3
  • 2
  • 1
  • 1
  • 1
  • 1
  • 1
  • 1
  • 1
This HLA-DRA antibody is un-conjugated

应用范围

  • 78
  • 63
  • 54
  • 51
  • 25
  • 20
  • 13
  • 10
  • 9
  • 3
  • 3
  • 1
  • 1
  • 1
  • 1
  • 1
Western Blotting (WB), Immunohistochemistry (Paraffin-embedded Sections) (IHC (p))
  • 交叉反应

    产品特性

    Rabbit Polyclonal antibody to HLA-DRA (major histocompatibility complex, class II, DR alpha)
    HLA-DRA antibody

    纯化方法

    Purified by antigen-affinity chromatography.

    免疫原

    Recombinant protein encompassing a sequence within the center region of human HLA-DRA. The exact sequence is proprietary.

    亚型

    IgG
  • 应用备注

    WB: 1:500-1:3000. IHC-P: 1:100-1:1000. Optimal dilutions/concentrations should be determined by the researcher. Not tested in other applications.

    说明

    Positive Control: H1299

    限制

    仅限研究用
  • 状态

    Liquid

    浓度

    0.21 mg/mL

    缓冲液

    1XPBS ( pH 7), 10 % Glycerol, 0.01 % Thimerosal

    储存液

    Thimerosal (Merthiolate)

    注意事项

    This product contains Thimerosal (Merthiolate): a POISONOUS AND HAZARDOUS SUBSTANCE which should be handled by trained staff only.

    储存条件

    4 °C,-20 °C

    储存方法

    Store as concentrated solution. Centrifuge briefly prior to opening vial. For short-term storage (1-2 weeks), store at 4°C. For long-term storage, aliquot and store at -20°C or below. Avoid multiple freeze-thaw cycles.
  • 抗原

    HLA-DRA (HLA Class II DR alpha (HLA-DRA))

    别名

    major histocompatibility complex, class II, DR alpha

    背景

    HLA-DRA is one of the HLA class II alpha chain paralogues. This class II molecule is a heterodimer consisting of an alpha and a beta chain, both anchored in the membrane. It plays a central role in the immune system by presenting peptides derived from extracellular proteins. Class II molecules are expressed in antigen presenting cells (APC: B lymphocytes, dendritic cells, macrophages). The alpha chain is approximately 33-35 kDa and its gene contains 5 exons. Exon 1 encodes the leader peptide, exons 2 and 3 encode the two extracellular domains, and exon 4 encodes the transmembrane domain and the cytoplasmic tail. DRA does not have polymorphisms in the peptide binding part and acts as the sole alpha chain for DRB1, DRB3, DRB4 and DRB5.

    Cellular Localization: Membrane

    分子量

    29 kDa

    基因ID

    3122

    UniProt

    P01903

    途径

    TCR Signaling, CXCR4-mediated Signaling Events, Human Leukocyte Antigen (HLA) in Adaptive Immune Response
You are here: