电话:
+86 (0512) 65829739
传真:
+86 (010) 6788 5057
电子邮件:
orders@antibodies-online.cn

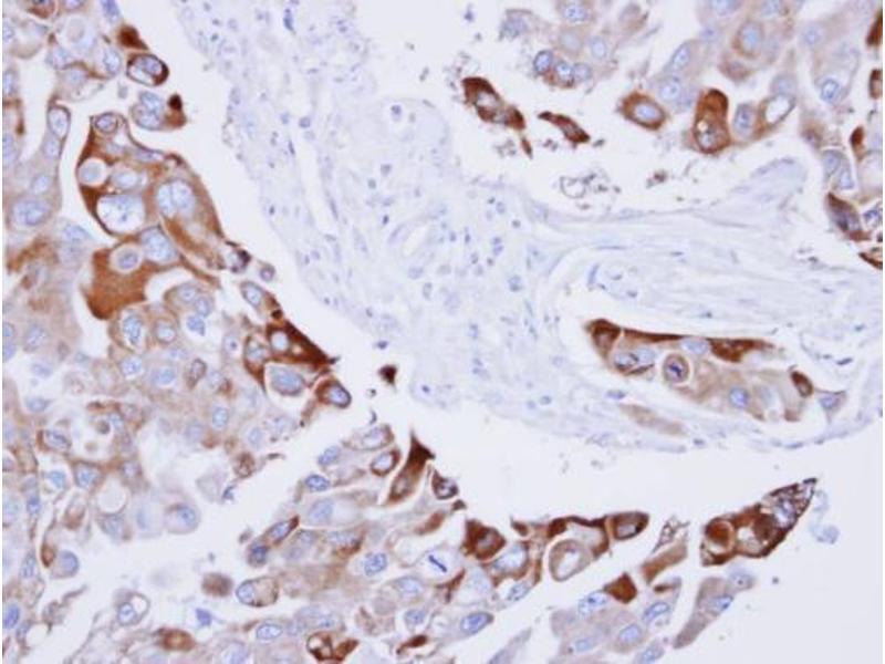
RAC1 抗体 (Center)

This 兔 多克隆 antibody specifically detects RAC1 in WB 和 IHC (p). It exhibits reactivity toward 人 和 小鼠. It has been mentioned in 2+ publications
产品编号 ABIN2854858
发货至: 中国
Contact our Customer Service for availability and price in your country. Contact Info

Our Local Distributor

中国
北京 101111
No. 88 KeChuang 6th Street
Beijing Economic Technological Development Area
Room 801-803
4A Biotech Co.,Ltd.
Tel +86 (0512) 65829739 传真 +86 (010) 6788 5057

Quick Overview for RAC1 抗体 (Center) (ABIN2854858)

抗原

See all RAC1 抗体
RAC1

适用

  • 91
  • 56
  • 42
  • 5
  • 4
  • 4
  • 4
  • 4
  • 4
  • 4
  • 3
  • 3
  • 3
  • 2
  • 1
  • 1
  • 1
人, 小鼠

宿主

  • 78
  • 13
  • 1

克隆类型

  • 76
  • 16
多克隆

标记

  • 48
  • 5
  • 5
  • 4
  • 2
  • 2
  • 2
  • 2
  • 2
  • 2
  • 2
  • 2
  • 2
  • 2
  • 2
  • 1
  • 1
  • 1
  • 1
  • 1
  • 1
  • 1
  • 1
This RAC1 antibody is un-conjugated

应用范围

  • 65
  • 26
  • 26
  • 24
  • 17
  • 12
  • 8
  • 6
  • 4
  • 3
  • 3
  • 1
  • 1
  • 1
  • 1
Western Blotting (WB), Immunohistochemistry (Paraffin-embedded Sections) (IHC (p))
  • 抗原表位

    • 19
    • 15
    • 11
    • 5
    • 4
    • 4
    • 3
    • 2
    • 2
    • 1
    • 1
    • 1
    • 1
    • 1
    • 1
    Center

    交叉反应

    小鸡, 犬, 猪, 大鼠, 非洲爪蟾, 牛, Xenopus tropicalis

    交叉反应 (详细)

    Chicken (90 %), Dog (90 %), Pig (90 %), Rat (90 %), Xenopus laevis (90 %), Bovine (90 %), Xenopus tropicalis (90 %)

    产品特性

    Rabbit Polyclonal antibody to RAC1 (ras-related C3 botulinum toxin substrate 1 (rho family, small GTP binding protein Rac1))
    RAC1 antibody

    纯化方法

    Purified by antigen-affinity chromatography.

    免疫原

    Recombinant protein encompassing a sequence within the center region of human RAC1. The exact sequence is proprietary.

    亚型

    IgG
  • 应用备注

    Suggested dilution Reference IHC (Formalin-fixed paraffin-embedded sections) 1:100-1:1000* Western blot 1:500-1:3000* Not tested in other applications. *Optimal dilutions/concentrations should be determined by the researcher.Suggested dilutionReferenceIHC (Formalin-fixed paraffin-embedded sections)1:100-1:1000* Western blot1:500-1:3000*

    说明

    Positive Control: 293T , A431 , HeLa , HepG2 , Molt-4 , Raji , mouse liver

    限制

    仅限研究用
  • 状态

    Liquid

    浓度

    1 mg/mL

    缓冲液

    0.1M Tris, 0.1M Glycine, 10 % Glycerol ( pH 7). 0.01 % Thimerosal was added as a preservative.

    储存液

    Thimerosal (Merthiolate)

    注意事项

    This product contains Thimerosal (Merthiolate): a POISONOUS AND HAZARDOUS SUBSTANCE which should be handled by trained staff only.

    储存条件

    -20 °C

    储存方法

    Keep as concentrated solution. Aliquot and store at -20°C or below. Avoid multiple freeze-thaw cycles.
  • Wang, Hsu, Ko, Chiu, Kan, Lai, Wang: "Astrocytic CCAAT/Enhancer-Binding Protein Delta Contributes to Glial Scar Formation and Impairs Functional Recovery After Spinal Cord Injury." in: Molecular neurobiology, Vol. 53, Issue 9, pp. 5912-5927, (2018) (PubMed).

    Katz, Sims, Sproul, Caldwell, Dixon, Meehan, Harrison: "Targeting of Rac GTPases blocks the spread of intact human breast cancer." in: Oncotarget, Vol. 3, Issue 6, pp. 608-19, (2012) (PubMed).

  • 抗原

    RAC1

    背景

    The protein encoded by this gene is a GTPase which belongs to the RAS superfamily of small GTP-binding proteins. Members of this superfamily appear to regulate a diverse array of cellular events, including the control of cell growth, cytoskeletal reorganization, and the activation of protein kinases. Two transcript variants encoding different isoforms have been found for this gene.

    Cellular Localization: Cell membrane, Lipid-anchor, Cytoplasmic side (By similarity) , Melanosome

    分子量

    21 kDa

    基因ID

    5879

    途径

    WNT signaling, Regulation of Actin Filament Polymerization, Cell-Cell Junction Organization, Thromboxane A2 Receptor Signaling, VEGF Signaling
You are here: