电话:
+86 (0512) 65829739
传真:
+86 (010) 6788 5057
电子邮件:
orders@antibodies-online.cn

NDRG1 抗体

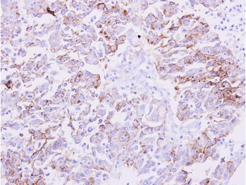
This 兔 多克隆 antibody specifically detects NDRG1 in WB 和 IHC (p). It exhibits reactivity toward 人.
产品编号 ABIN2854786
发货至: 中国
Contact our Customer Service for availability and price in your country. Contact Info

Our Local Distributor

中国
北京 101111
No. 88 KeChuang 6th Street
Beijing Economic Technological Development Area
Room 801-803
4A Biotech Co.,Ltd.
Tel +86 (0512) 65829739 传真 +86 (010) 6788 5057

Quick Overview for NDRG1 抗体 (ABIN2854786)

抗原

See all NDRG1 抗体
NDRG1 (N-Myc Downstream Regulated 1 (NDRG1))

适用

  • 96
  • 43
  • 37
  • 7
  • 5
  • 4
  • 3
  • 3
  • 3
  • 2
  • 2
  • 1
  • 1

宿主

  • 93
  • 8
  • 2

克隆类型

  • 71
  • 32
多克隆

标记

  • 46
  • 9
  • 6
  • 4
  • 3
  • 3
  • 3
  • 3
  • 3
  • 3
  • 3
  • 3
  • 1
  • 1
  • 1
  • 1
  • 1
  • 1
  • 1
  • 1
  • 1
  • 1
  • 1
  • 1
  • 1
  • 1
This NDRG1 antibody is un-conjugated

应用范围

  • 58
  • 38
  • 34
  • 23
  • 17
  • 16
  • 15
  • 15
  • 13
  • 9
  • 5
  • 3
  • 2
Western Blotting (WB), Immunohistochemistry (Paraffin-embedded Sections) (IHC (p))
  • 交叉反应

    人, 小鼠, 大鼠

    产品特性

    Rabbit Polyclonal antibody to NDRG1 (N-myc downstream regulated 1)
    NDRG1 antibody

    纯化方法

    Purified by antigen-affinity chromatography.

    免疫原

    Recombinant protein encompassing a sequence within the center region of human NDRG1. The exact sequence is proprietary.

    亚型

    IgG
  • 应用备注

    WB: 1:500-1:3000. IHC-P: 1:100-1:1000. Optimal dilutions/concentrations should be determined by the researcher. Not tested in other applications.

    说明

    Positive Control: 293T , HepG2 , NIH-3T3

    限制

    仅限研究用
  • 状态

    Liquid

    浓度

    0.67 mg/mL

    缓冲液

    0.1M Tris-Glycine ( pH 7), 10 % Glycerol, 0.01 % Thimerosal

    储存液

    Thimerosal (Merthiolate)

    注意事项

    This product contains Thimerosal (Merthiolate): a POISONOUS AND HAZARDOUS SUBSTANCE which should be handled by trained staff only.

    储存条件

    4 °C,-20 °C

    储存方法

    Store as concentrated solution. Centrifuge briefly prior to opening vial. For short-term storage (1-2 weeks), store at 4°C. For long-term storage, aliquot and store at -20°C or below. Avoid multiple freeze-thaw cycles.
  • 抗原

    NDRG1 (N-Myc Downstream Regulated 1 (NDRG1))

    别名

    N-myc downstream regulated 1

    背景

    This gene is a member of the N-myc downregulated gene family which belongs to the alpha/beta hydrolase superfamily. The protein encoded by this gene is a cytoplasmic protein involved in stress responses, hormone responses, cell growth, and differentiation. It is necessary for p53-mediated caspase activation and apoptosis. Mutation in this gene has been reported to be causative for hereditary motor and sensory neuropathy-Lom. Multiple alternatively spliced variants, encoding the same protein, have been identified.

    Cellular Localization: Cytoplasm , Nucleus , Cell membrane

    分子量

    43 kDa

    基因ID

    10397

    UniProt

    Q92597
You are here: