电话:
+86 (0512) 65829739
传真:
+86 (010) 6788 5057
电子邮件:
orders@antibodies-online.cn

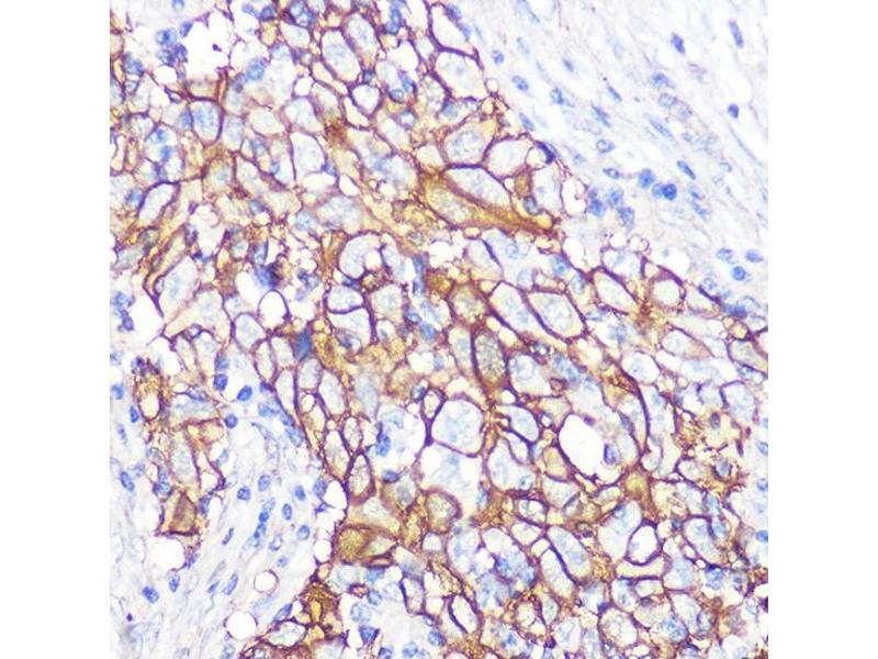
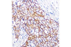
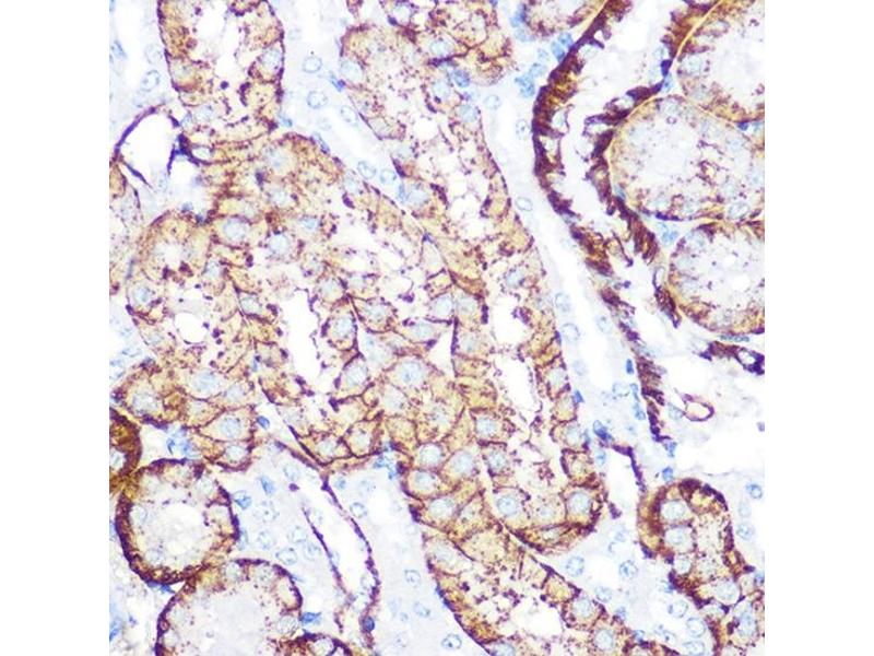
NDRG1 抗体

The 兔 单克隆 anti-NDRG1 antibody is suitable to detect NDRG1 in samples from 人. It has been validated for WB 和 IHC.
产品编号 ABIN7268783
发货至: 中国
Contact our Customer Service for availability and price in your country. Contact Info

Our Local Distributor

中国
北京 101111
No. 88 KeChuang 6th Street
Beijing Economic Technological Development Area
Room 801-803
4A Biotech Co.,Ltd.
Tel +86 (0512) 65829739 传真 +86 (010) 6788 5057

Quick Overview for NDRG1 抗体 (ABIN7268783)

抗原

See all NDRG1 抗体
NDRG1 (N-Myc Downstream Regulated 1 (NDRG1))

适用

  • 96
  • 43
  • 37
  • 7
  • 5
  • 4
  • 3
  • 3
  • 3
  • 2
  • 2
  • 1
  • 1

宿主

  • 93
  • 8
  • 2

克隆类型

  • 72
  • 31
单克隆

标记

  • 46
  • 9
  • 6
  • 4
  • 3
  • 3
  • 3
  • 3
  • 3
  • 3
  • 3
  • 3
  • 1
  • 1
  • 1
  • 1
  • 1
  • 1
  • 1
  • 1
  • 1
  • 1
  • 1
  • 1
  • 1
  • 1
This NDRG1 antibody is un-conjugated

应用范围

  • 58
  • 37
  • 34
  • 23
  • 17
  • 16
  • 15
  • 15
  • 13
  • 10
  • 5
  • 3
  • 2
Western Blotting (WB), Immunohistochemistry (IHC)
  • 原理

    NDRG1 Rabbit mAb

    交叉反应

    人, 小鼠, 大鼠

    产品特性

    Monoclonal Antibodies

    纯化方法

    Affinity purification

    免疫原

    A synthesized peptide derived from human NDRG1

    亚型

    IgG
  • 应用备注

    WB,1:500 - 1:2000,IHC,1:50 - 1:200

    限制

    仅限研究用
  • 状态

    Liquid

    缓冲液

    PBS with 0.02 % sodium azide,0.05 % BSA,50 % glycerol, pH 7.3.

    储存液

    Sodium azide

    注意事项

    This product contains Sodium azide: a POISONOUS AND HAZARDOUS SUBSTANCE which should be handled by trained staff only.

    储存条件

    -20 °C

    储存方法

    Store at -20°C. Avoid freeze / thaw cycles.
  • 抗原

    NDRG1 (N-Myc Downstream Regulated 1 (NDRG1))

    别名

    NDRG1

    背景

    This gene is a member of the N-myc downregulated gene family which belongs to the alpha/beta hydrolase superfamily. The protein encoded by this gene is a cytoplasmic protein involved in stress responses, hormone responses, cell growth, and differentiation. The encoded protein is necessary for p53-mediated caspase activation and apoptosis. Mutations in this gene are a cause of Charcot-Marie-Tooth disease type 4D, and expression of this gene may be a prognostic indicator for several types of cancer. Alternatively spliced transcript variants encoding multiple isoforms have been observed for this gene. [provided by RefSeq, May 2012],CAP43, CMT4D, DRG-1, DRG1, GC4, HMSNL, NDR1, NMSL, PROXY1, RIT42, RTP, TARG1, TDD5,Angiogenesis,Cancer,Cardiovascular,Epigenetics & Nuclear Signaling,Invasion and Metastasis,Neurodegenerative Diseases,Neuroscience,Protein phosphorylation,Signal Transduction,NDRG1

    分子量

    43kDa

    基因ID

    10397

    UniProt

    Q92597
You are here: