电话:
+86 (0512) 65829739
传真:
+86 (010) 6788 5057
电子邮件:
orders@antibodies-online.cn

NEUROD1 抗体 (N-Term)

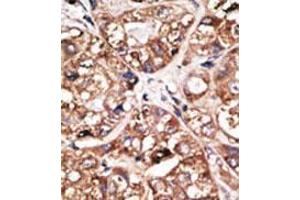
The 兔 多克隆 anti-NEUROD1 antibody (ABIN2853626) specifically detects NEUROD1 in IHC (p) 和 EIA. The antibody is reactive with 人 samples.
产品编号 ABIN2853626
发货至: 中国
Contact our Customer Service for availability and price in your country. Contact Info

Our Local Distributor

中国
北京 101111
No. 88 KeChuang 6th Street
Beijing Economic Technological Development Area
Room 801-803
4A Biotech Co.,Ltd.
Tel +86 (0512) 65829739 传真 +86 (010) 6788 5057

Quick Overview for NEUROD1 抗体 (N-Term) (ABIN2853626)

抗原

See all NEUROD1 抗体
NEUROD1 (Neuronal Differentiation 1 (NEUROD1))

适用

  • 99
  • 79
  • 71
  • 4
  • 4
  • 3
  • 2
  • 2
  • 1
  • 1
  • 1
  • 1
  • 1

宿主

  • 103
  • 11
  • 2

克隆类型

  • 85
  • 31
多克隆

标记

  • 48
  • 7
  • 7
  • 5
  • 4
  • 3
  • 3
  • 3
  • 3
  • 3
  • 3
  • 3
  • 2
  • 2
  • 2
  • 2
  • 2
  • 2
  • 2
  • 2
  • 2
  • 2
  • 2
  • 1
  • 1
This NEUROD1 antibody is un-conjugated

应用范围

  • 92
  • 46
  • 26
  • 26
  • 22
  • 19
  • 14
  • 13
  • 12
  • 8
  • 6
  • 1
  • 1
Immunohistochemistry (Paraffin-embedded Sections) (IHC (p)), Enzyme Immunoassay (EIA)
  • 抗原表位

    • 23
    • 16
    • 9
    • 8
    • 8
    • 7
    • 6
    • 4
    • 3
    • 1
    • 1
    • 1
    • 1
    • 1
    • 1
    • 1
    • 1
    • 1
    N-Term

    特异性

    This antibody detects NeuroD1at N-term.

    纯化方法

    Protein G column, eluted with high and low pH buffers and neutralized immediately, followed by dialysis against PBS

    免疫原

    This antibody is generated from rabbits immunized with a KLH conjugated synthetic peptide selected from the N-terminal region of human NeuroD1.

    亚型

    Ig Fraction
  • 应用备注

    ELISA 1: 1,000. Immunohistochemistry 1: 50 - 1: 100.
    Other applications not tested.
    Optimal dilutions are dependent on conditions and should be determined by the user.

    限制

    仅限研究用
  • 浓度

    0.25 mg/mL

    缓冲液

    PBS with 0.09 % (W/V) sodium azide

    储存液

    Sodium azide

    注意事项

    This product contains sodium azide: a POISONOUS AND HAZARDOUS SUBSTANCE which should be handled by trained staff only.

    注意事项

    Avoid repeated freezing and thawing.

    储存条件

    4 °C/-20 °C

    储存方法

    Store the antibody at 2 - 8 °C up to one month or (in aliquots) at -20 °C for longer.
  • 抗原

    NEUROD1 (Neuronal Differentiation 1 (NEUROD1))

    别名

    NEUROD1

    背景

    NeuroD1 acts as a differentiation factor during neurogenesis. They are expressed transiently in a subset of neurons in the central and peripheral nervous systems at the time of their terminal differentiation. NeuroD1 is a basic helix-loop-helix (bHLH) protein contain 1 bHLH domain. NeuroD1 is a transcriptional activator, for efficient DNA binding it requires dimerization with another bHLH protein. It was reported that NeuroD1 involves heterodimerization with the ubiquitous bHLH protein E47, and regulates insulin gene expression by binding to a critical E-box motif on the insulin promoter. Defects in NEUROD1 causes maturity onset diabetes of the young type VI. MODY6 is a form of non-insulin-dependent diabetes mellitus (NIDDM) characterized by an autosomal dominant mode of inheritance, onset during young adulthood and a primary defect in insulin secretion.Synonyms: NEUROD, NEUROD1, Neurogenic differentiation factor 1

    分子量

    39890 Da

    基因ID

    4760, 9606

    UniProt

    Q13562

    途径

    Dopaminergic Neurogenesis, Hormone Transport, Carbohydrate Homeostasis
You are here: