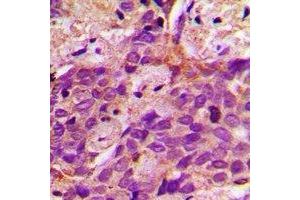
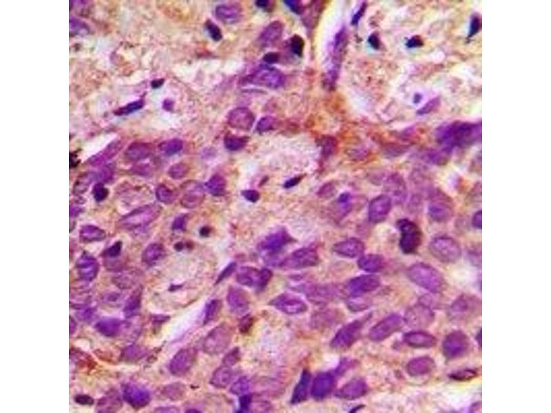
ACSS1 抗体 (C-Term)
Our Local Distributor
北京 101111
Quick Overview for ACSS1 抗体 (C-Term) (ABIN7302804)
抗原
See all ACSS1 抗体适用
宿主
克隆类型
标记
应用范围
-
-
抗原表位
- C-Term
-
原理
- Rabbit polyclonal antibody to ACSS1
-
特异性
- Recognizes endogenous levels of ACSS1 protein.
-
产品特性
- Rabbit polyclonal antibody to ACSS1
-
纯化方法
- The antibody was purified by immunogen affinity chromatography.
-
免疫原
- KLH-conjugated synthetic peptide encompassing a sequence within the C-term region of human ACSS1. The exact sequence is proprietary.
-
-
-
-
应用备注
- WB (1/500 - 1/1000), IH (1/100 - 1/200)
-
限制
- 仅限研究用
-
-
-
状态
- Liquid
-
缓冲液
- Liquid in 0.42 % Potassium phosphate, 0.87 % Sodium chloride, pH 7.3, 30 % glycerol, and 0.01 % sodium azide.
-
储存液
- Sodium azide
-
注意事项
- This product contains Sodium azide: a POISONOUS AND HAZARDOUS SUBSTANCE which should be handled by trained staff only.
-
储存条件
- -20 °C
-
储存方法
- Shipped at 4°C. Upon delivery aliquot and store at -20°C for one year. Avoid freeze/thaw cycles.
-
有效期
- 12 months
-
-
- ACSS1 (Acyl-CoA Synthetase Short-Chain Family Member 1 (ACSS1))
-
别名
- ACSS1
-
背景
- ACAS2L, KIAA1846, Acetyl-coenzyme A synthetase 2-like, mitochondrial, Acetate--CoA ligase 2, Acetyl-CoA synthetase 2, AceCS2, Acyl-CoA synthetase short-chain family member 1
-
基因ID
- 84532, 68738
-
UniProt
- Q9NUB1
抗原
-