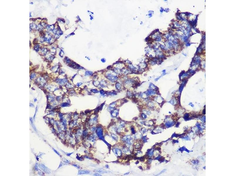
ACSS1 抗体 (AA 340-689)
Our Local Distributor
北京 101111
Quick Overview for ACSS1 抗体 (AA 340-689) (ABIN7265426)
抗原
See all ACSS1 抗体适用
宿主
克隆类型
标记
应用范围
-
-
抗原表位
- AA 340-689
-
原理
- ACSS1 Rabbit pAb
-
序列
- ITGHSYVVYG PLCNGATSVL FESTPVYPNA GRYWETVERL KINQFYGAPT AVRLLLKYGD AWVKKYDRSS LRTLGSVGEP INCEAWEWLH RVVGDSRCTL VDTWWQTETG GICIAPRPSE EGAEILPAMA MRPFFGIVPV LMDEKGSVVE GSNVSGALCI SQAWPGMART IYGDHQRFVD AYFKAYPGYY FTGDGAYRTE GGYYQITGRM DDVINISGHR LGTAEIEDAI ADHPAVPESA VIGYPHDIKG EAAFAFIVVK DSAGDSDVVV QELKSMVATK IAKYAVPDEI LVVKRLPKTR SGKVMRRLLR KIITSEAQEL GDTTTLEDPS IIAEILSVYQ KCKDKQAAAK
-
交叉反应
- 人, 小鼠, 大鼠
-
产品特性
- Polyclonal Antibodies
-
纯化方法
- Affinity purification
-
免疫原
- Recombinant fusion protein containing a sequence corresponding to amino acids 340-689 of human ACSS1 (NP_115890.2).
-
亚型
- IgG
-
-
-
-
应用备注
- WB,1:500 - 1:2000,IHC,1:50 - 1:200,IF,1:50 - 1:200
-
限制
- 仅限研究用
-
-
-
状态
- Liquid
-
缓冲液
- PBS with 0.02 % sodium azide,50 % glycerol, pH 7.3.
-
储存液
- Sodium azide
-
注意事项
- This product contains Sodium azide: a POISONOUS AND HAZARDOUS SUBSTANCE which should be handled by trained staff only.
-
储存条件
- -20 °C
-
储存方法
- Store at -20°C. Avoid freeze / thaw cycles.
-
-
- ACSS1 (Acyl-CoA Synthetase Short-Chain Family Member 1 (ACSS1))
-
别名
- ACSS1
-
背景
- This gene encodes a mitochondrial acetyl-CoA synthetase enzyme. A similar protein in mice plays an important role in the tricarboxylic acid cycle by catalyzing the conversion of acetate to acetyl CoA. Alternatively spliced transcript variants encoding multiple isoforms have been observed for this gene.,ACSS1,ACAS2L,ACECS1,AceCS2L,ACSS1
-
分子量
- 62kDa/74kDa
-
基因ID
- 84532
-
UniProt
- Q9NUB1
抗原
-