电话:
+86 (0512) 65829739
传真:
+86 (010) 6788 5057
电子邮件:
orders@antibodies-online.cn

Galectin 3 抗体 (N-Term)

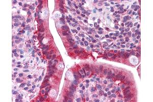
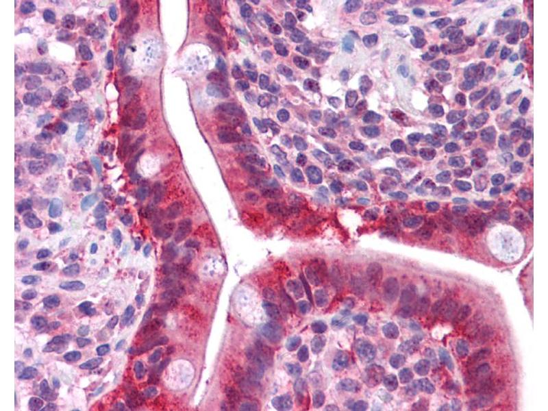
There is 1 publication for this product available. The 兔 多克隆 anti-Galectin 3 antibody is suitable to detect Galectin 3 in samples from 人, 小鼠, 大鼠, 兔, 犬, Pig, Cow, 豚鼠 和 马. It has been validated for WB 和 IHC.
产品编号 ABIN2785832
发货至: 中国
Contact our Customer Service for availability and price in your country. Contact Info

Our Local Distributor

中国
北京 101111
No. 88 KeChuang 6th Street
Beijing Economic Technological Development Area
Room 801-803
4A Biotech Co.,Ltd.
Tel +86 (0512) 65829739 传真 +86 (010) 6788 5057

Quick Overview for Galectin 3 抗体 (N-Term) (ABIN2785832)

抗原

See all Galectin 3 (LGALS3) 抗体
Galectin 3 (LGALS3)

适用

人, 小鼠, 大鼠, 兔, 犬, Pig, Cow, 豚鼠, 马

宿主

  • 197
  • 55
  • 14
  • 3
  • 3
  • 1

克隆类型

  • 156
  • 117
多克隆

标记

  • 125
  • 28
  • 18
  • 10
  • 8
  • 8
  • 6
  • 6
  • 6
  • 6
  • 6
  • 6
  • 3
  • 3
  • 3
  • 3
  • 3
  • 3
  • 3
  • 3
  • 3
  • 3
  • 3
  • 3
  • 3
  • 1
This Galectin 3 antibody is un-conjugated

应用范围

  • 219
  • 101
  • 81
  • 80
  • 53
  • 51
  • 34
  • 28
  • 28
  • 27
  • 14
  • 7
  • 5
  • 5
  • 5
  • 3
  • 2
  • 2
  • 2
  • 1
  • 1
  • 1
  • 1
  • 1
Western Blotting (WB), Immunohistochemistry (IHC)
  • 抗原表位

    • 23
    • 16
    • 16
    • 15
    • 11
    • 9
    • 7
    • 6
    • 6
    • 6
    • 5
    • 5
    • 2
    • 2
    • 2
    • 2
    • 2
    • 2
    • 2
    • 2
    • 2
    • 1
    • 1
    • 1
    • 1
    • 1
    • 1
    • 1
    • 1
    • 1
    • 1
    N-Term

    序列

    GASYPGAYPG QAPPGAYPGQ APPGAYPGAP GAYPGAPAPG VYPGPPSGPG

    预测反应

    Cow: 93%, Dog: 93%, Guinea Pig: 92%, Horse: 92%, Human: 100%, Mouse: 100%, Pig: 100%, Rabbit: 92%, Rat: 93%

    产品特性

    This is a rabbit polyclonal antibody against LGALS3. It was validated on Western Blot using a cell lysate as a positive control.

    纯化方法

    Affinity Purified

    免疫原

    The immunogen is a synthetic peptide directed towards the N terminal region of human LGALS3
  • 应用备注

    Optimal working dilutions should be determined experimentally by the investigator.

    说明

    Antigen size: 250 AA

    限制

    仅限研究用
  • 状态

    Liquid

    浓度

    Lot specific

    缓冲液

    Liquid. Purified antibody supplied in 1x PBS buffer with 0.09 % (w/v) sodium azide and 2 % sucrose.

    储存液

    Sodium azide

    注意事项

    This product contains Sodium azide: a POISONOUS AND HAZARDOUS SUBSTANCE which should be handled by trained staff only.

    注意事项

    Avoid repeated freeze-thaw cycles.

    储存条件

    -20 °C

    储存方法

    For short term use, store at 2-8°C up to 1 week. For long term storage, store at -20°C in small aliquots to prevent freeze-thaw cycles.
  • Guha, Bandyopadhyaya, Polumuri, Chumsri, Gade, Kalvakolanu, Ahmed et al.: "Nicotine promotes apoptosis resistance of breast cancer cells and enrichment of side population cells with cancer stem cell-like properties via a signaling cascade involving galectin-3, α9 nicotinic ..." in: Breast cancer research and treatment, Vol. 145, Issue 1, pp. 5-22, (2014) (PubMed).

  • 抗原

    Galectin 3 (LGALS3)

    别名

    LGALS3

    物质类

    Chemical

    背景

    LGALS3 is a galactose-specific lectin which binds IgE. IT may mediate with the alpha-3, beta-1 integrin the stimulation by CSPG4 of endothelial cells migration. Together with DMBT1, it is required for terminal differentiation of columnar epithelial cells during early embryogenesis.
    Alias Symbols: CBP35, GAL3, GALBP, GALIG, LGALS2, MAC2, L31
    Protein Interaction Partner: PRR13, SS18L1, PPIG, LGALS3, GOLGA2, MAP1LC3A, SQSTM1, RAB7A, LAMP1, EGFR, CFTR, PAXIP1, BARD1, AGPS, IGBP1, GTF2I, CLNS1A, APP, SLC25A5, ACTA1, MYOC, LGALS3BP, CYHR1, GEMIN4, SUFU, CUBN, CSNK1A1, LIM2, FCGR2A, ELN, MMP2, CSNK2A2, CSNK2A1, C1GALT1C1, LGAL
    Protein Size: 250

    分子量

    26 kDa

    基因ID

    3958

    NCBI登录号

    NM_002306, NP_002297

    UniProt

    P17931

    途径

    RTK signaling
You are here: