电话:
+86 (0512) 65829739
传真:
+86 (010) 6788 5057
电子邮件:
orders@antibodies-online.cn

MAS1 抗体 (Middle Region)

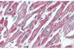
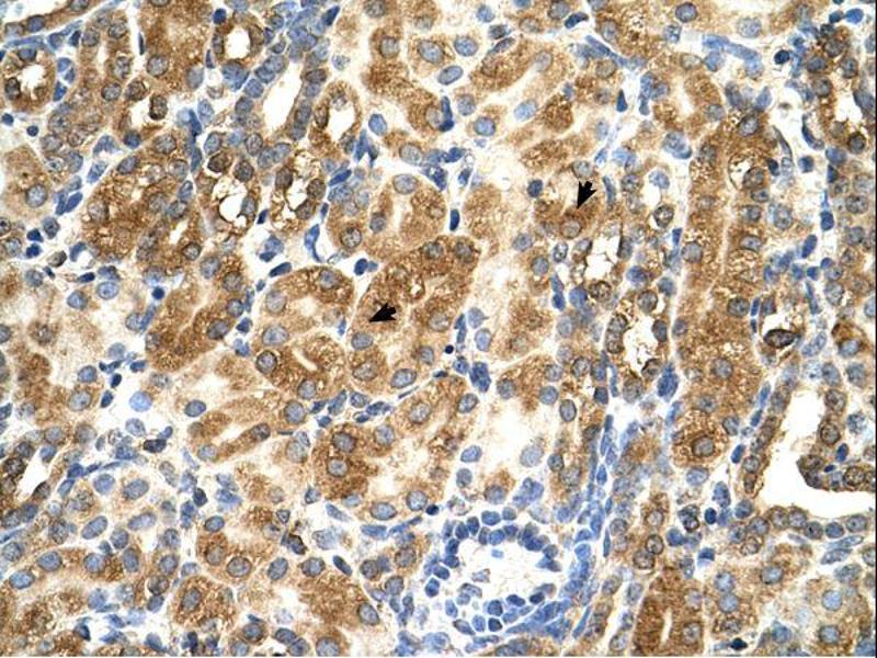
The 兔 多克隆 anti-MAS1 antibody is suitable to detect MAS1 in samples from 人, 小鼠, 大鼠, 豚鼠, Cow 和 犬. It has been validated for WB 和 IHC.
产品编号 ABIN2784456
发货至: 中国
Contact our Customer Service for availability and price in your country. Contact Info

Our Local Distributor

中国
北京 101111
No. 88 KeChuang 6th Street
Beijing Economic Technological Development Area
Room 801-803
4A Biotech Co.,Ltd.
Tel +86 (0512) 65829739 传真 +86 (010) 6788 5057

Quick Overview for MAS1 抗体 (Middle Region) (ABIN2784456)

抗原

See all MAS1 抗体
MAS1 (MAS1 Oncogene (MAS1))

适用

  • 54
  • 14
  • 11
  • 4
  • 4
  • 4
  • 3
  • 2
  • 2
人, 小鼠, 大鼠, 豚鼠, Cow, 犬

宿主

  • 55
  • 1

克隆类型

  • 56
多克隆

标记

  • 22
  • 4
  • 4
  • 3
  • 2
  • 1
  • 1
  • 1
  • 1
  • 1
  • 1
  • 1
  • 1
  • 1
  • 1
  • 1
  • 1
  • 1
  • 1
  • 1
  • 1
  • 1
  • 1
  • 1
  • 1
  • 1
This MAS1 antibody is un-conjugated

应用范围

  • 38
  • 15
  • 10
  • 8
  • 2
  • 1
  • 1
  • 1
Western Blotting (WB), Immunohistochemistry (IHC)
  • 抗原表位

    • 7
    • 5
    • 4
    • 4
    • 3
    • 3
    • 2
    • 2
    • 1
    • 1
    • 1
    • 1
    • 1
    • 1
    • 1
    • 1
    Middle Region

    序列

    VIIFIAILSF LVFTPLMLVS STILVVKIRK NTWASHSSKL YIVIMVTIII

    预测反应

    Cow: 93%, Dog: 86%, Guinea Pig: 86%, Human: 100%, Mouse: 100%, Rat: 100%

    产品特性

    This is a rabbit polyclonal antibody against MAS1. It was validated on Western Blot using a cell lysate as a positive control.

    纯化方法

    Affinity Purified

    免疫原

    The immunogen is a synthetic peptide directed towards the middle region of human MAS1
  • 应用备注

    Optimal working dilutions should be determined experimentally by the investigator.

    说明

    Antigen size: 325 AA

    限制

    仅限研究用
  • 状态

    Liquid

    浓度

    Lot specific

    缓冲液

    Liquid. Purified antibody supplied in 1x PBS buffer with 0.09 % (w/v) sodium azide and 2 % sucrose.

    储存液

    Sodium azide

    注意事项

    This product contains Sodium azide: a POISONOUS AND HAZARDOUS SUBSTANCE which should be handled by trained staff only.

    注意事项

    Avoid repeated freeze-thaw cycles.

    储存条件

    -20 °C

    储存方法

    For short term use, store at 2-8°C up to 1 week. For long term storage, store at -20°C in small aliquots to prevent freeze-thaw cycles.
  • 抗原

    MAS1 (MAS1 Oncogene (MAS1))

    别名

    MAS1

    背景

    The structure of MAS1 indicates that it belongs to the class of receptors that are coupled to GTP-binding proteins and share a conserved structural motif, which is described as a '7-transmembrane segment' following the prediction that these hydrophobic segments form membrane-spanning alpha-helices. The MAS1 protein may be a receptor that, when activated, modulates a critical component in a growth-regulating pathway to bring about oncogenic effects.The structure of the MAS1 product indicates that it belongs to the class of receptors that are coupled to GTP-binding proteins and share a conserved structural motif, which is described as a '7-transmembrane segment' following the prediction that these hydrophobic segments form membrane-spanning alpha-helices. The MAS1 protein may be a receptor that, when activated, modulates a critical component in a growth-regulating pathway to bring about oncogenic effects.The structure of the MAS1 product indicates that it belongs to the class of receptors that are coupled to GTP-binding proteins and share a conserved structural motif, which is described as a '7-transmembrane segment' following the prediction that these hydrophobic segments form membrane-spanning alpha-helices. The MAS1 protein may be a receptor that, when activated, modulates a critical component in a growth-regulating pathway to bring about oncogenic effects.
    Alias Symbols: MAS, MGC119966
    Protein Interaction Partner: SNTA1, AGT,
    Protein Size: 325

    分子量

    37 kDa

    基因ID

    4142

    NCBI登录号

    NM_002377, NP_002368

    UniProt

    P04201

    途径

    ACE Inhibitor Pathway, Regulation of Carbohydrate Metabolic Process
You are here: