电话:
+86 (0512) 65829739
传真:
+86 (010) 6788 5057
电子邮件:
orders@antibodies-online.cn

BLZF1 抗体 (C-Term)

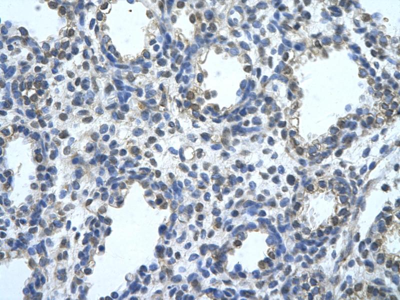
The 兔 多克隆 anti-BLZF1 antibody (ABIN2780543) specifically detects BLZF1 in WB 和 IHC. The antibody is reactive with 人, 小鼠, 大鼠, 豚鼠, 马, 兔, Cow, 犬 和 斑马鱼 samples.
产品编号 ABIN2780543
发货至: 中国
Contact our Customer Service for availability and price in your country. Contact Info

Our Local Distributor

中国
北京 101111
No. 88 KeChuang 6th Street
Beijing Economic Technological Development Area
Room 801-803
4A Biotech Co.,Ltd.
Tel +86 (0512) 65829739 传真 +86 (010) 6788 5057

Quick Overview for BLZF1 抗体 (C-Term) (ABIN2780543)

抗原

See all BLZF1 抗体
BLZF1 (Basic Leucine Zipper Nuclear Factor 1 (BLZF1))

适用

  • 43
  • 21
  • 13
  • 4
  • 4
  • 3
  • 3
  • 2
  • 2
  • 2
  • 1
人, 小鼠, 大鼠, 豚鼠, 马, 兔, Cow, 犬, 斑马鱼

宿主

  • 39
  • 4

克隆类型

  • 41
  • 2
多克隆

标记

  • 27
  • 3
  • 3
  • 2
  • 1
  • 1
  • 1
  • 1
  • 1
  • 1
  • 1
  • 1
This BLZF1 antibody is un-conjugated

应用范围

  • 32
  • 23
  • 13
  • 10
  • 2
  • 2
  • 1
Western Blotting (WB), Immunohistochemistry (IHC)
  • 抗原表位

    • 7
    • 6
    • 5
    • 2
    • 2
    • 2
    • 1
    • 1
    • 1
    • 1
    • 1
    • 1
    • 1
    • 1
    • 1
    • 1
    C-Term

    序列

    DPVTCKESSP DNPFFESSPT TLLATKKNIG RFHPYTRYEN ITFNCCNHCR

    预测反应

    Cow: 100%, Dog: 100%, Guinea Pig: 100%, Horse: 100%, Human: 100%, Mouse: 100%, Rabbit: 93%, Rat: 100%, Zebrafish: 93%

    产品特性

    This is a rabbit polyclonal antibody against BLZF1. It was validated on Western Blot and immunohistochemistry.

    纯化方法

    Affinity Purified

    免疫原

    The immunogen is a synthetic peptide directed towards the C terminal region of human BLZF1
  • 应用备注

    Optimal working dilutions should be determined experimentally by the investigator.

    说明

    Antigen size: 400 AA

    限制

    仅限研究用
  • 状态

    Liquid

    浓度

    Lot specific

    缓冲液

    Liquid. Purified antibody supplied in 1x PBS buffer with 0.09 % (w/v) sodium azide and 2 % sucrose.

    储存液

    Sodium azide

    注意事项

    This product contains Sodium azide: a POISONOUS AND HAZARDOUS SUBSTANCE which should be handled by trained staff only.

    注意事项

    Avoid repeated freeze-thaw cycles.

    储存条件

    -20 °C

    储存方法

    For short term use, store at 2-8°C up to 1 week. For long term storage, store at -20°C in small aliquots to prevent freeze-thaw cycles.
  • 抗原

    BLZF1 (Basic Leucine Zipper Nuclear Factor 1 (BLZF1))

    别名

    BLZF1

    背景

    BLZF1 is required for normal Golgi structure and for protein transport from the endoplasmic reticulum (ER) through the Golgi apparatus to the cell surface.
    Alias Symbols: GOLGIN-45, JEM-1, JEM-1s, JEM1, MGC22497
    Protein Interaction Partner: RHOJ, CHCHD3, RAB39A, TRAPPC2L, OAZ3, CINP, AMOTL2, TBC1D7, VPS28, AKAP9, ZBTB24, RANBP3, SSX2, RAB2A, PSMA1, PRKAB2, SMAD3, LMO2, LMO1, HOXA1, GEM, FHL2, BCL6, KLHL38, IQUB, FRMD6, FBF1, RAB2B, BEX2, ZGPAT, ZMAT1, TSC22D4, TXNDC5, CCDC33, SCNM1, CARD9, Z
    Protein Size: 400

    分子量

    45 kDa

    基因ID

    8548

    NCBI登录号

    NM_003666, NP_003657

    UniProt

    Q9H2G9
You are here: