电话:
+86 (0512) 65829739
传真:
+86 (010) 6788 5057
电子邮件:
orders@antibodies-online.cn

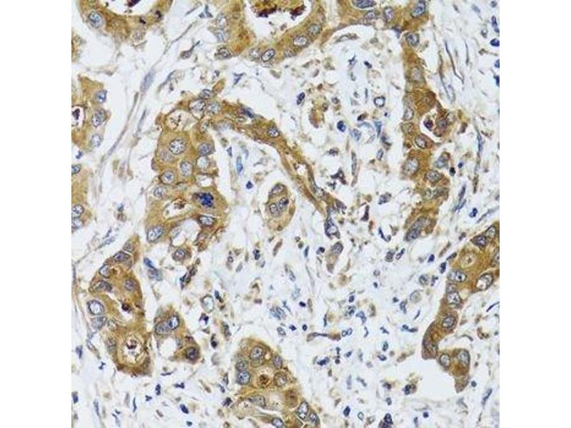
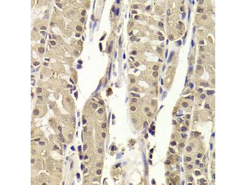
BLZF1 抗体 (AA 1-400)

The 兔 多克隆 anti-BLZF1 antibody is suitable to detect BLZF1 in samples from 人. It has been validated for WB 和 IF.
产品编号 ABIN6137584
发货至: 中国
Contact our Customer Service for availability and price in your country. Contact Info

Our Local Distributor

中国
北京 101111
No. 88 KeChuang 6th Street
Beijing Economic Technological Development Area
Room 801-803
4A Biotech Co.,Ltd.
Tel +86 (0512) 65829739 传真 +86 (010) 6788 5057

Quick Overview for BLZF1 抗体 (AA 1-400) (ABIN6137584)

抗原

See all BLZF1 抗体
BLZF1 (Basic Leucine Zipper Nuclear Factor 1 (BLZF1))

适用

  • 43
  • 22
  • 14
  • 5
  • 5
  • 4
  • 3
  • 3
  • 3
  • 2
  • 1
  • 1

宿主

  • 39
  • 4

克隆类型

  • 41
  • 2
多克隆

标记

  • 27
  • 3
  • 3
  • 2
  • 1
  • 1
  • 1
  • 1
  • 1
  • 1
  • 1
  • 1
This BLZF1 antibody is un-conjugated

应用范围

  • 32
  • 23
  • 13
  • 9
  • 3
  • 2
  • 1
Western Blotting (WB), Immunofluorescence (IF)
  • 抗原表位

    • 7
    • 6
    • 5
    • 2
    • 2
    • 2
    • 1
    • 1
    • 1
    • 1
    • 1
    • 1
    • 1
    • 1
    • 1
    • 1
    AA 1-400

    序列

    MTTKNLETKV TVTSSPIRGA GDGMETEEPP KSVEVTSGVQ SRKHHSLQSP WKKAVPSESP GVLQLGKMLT EKAMEVKAVR ILVPKAAITH DIPNKNTKVK SLGHHKGEFL GQSEGVIEPN KELSEVKNVL EKLKNSERRL LQDKEGLSNQ LRVQTEVNRE LKKLLVASVG DDLQYHFERL AREKNQLILE NEALGRNTAQ LSEQLERMSI QCDVWRSKFL ASRVMADELT NSRAALQRQN RDAHGAIQDL LSEREQFRQE MIATQKLLEE LLVSLQWGRE QTYSPSVQPH STAELALTNH KLAKAVNSHL LGNVGINNQK KIPSTVEFCS TPAEKMAETV LRILDPVTCK ESSPDNPFFE SSPTTLLATK KNIGRFHPYT RYENITFNCC NHCRGELIAL

    交叉反应

    人, 小鼠

    产品特性

    Polyclonal Antibodies

    纯化方法

    Affinity purification

    免疫原

    Recombinant fusion protein containing a sequence corresponding to amino acids 1-400 of human BLZF1 (NP_003657.1).

    亚型

    IgG
  • 应用备注

    WB,1:500 - 1:2000,IF,1:50 - 1:200

    说明

    HIGH QUALITY

    限制

    仅限研究用
  • 状态

    Liquid

    缓冲液

    PBS with 0.02 % sodium azide,50 % glycerol, pH 7.3.

    储存液

    Sodium azide

    注意事项

    This product contains Sodium azide: a POISONOUS AND HAZARDOUS SUBSTANCE which should be handled by trained staff only.

    储存条件

    -20 °C

    储存方法

    Store at -20°C. Avoid freeze / thaw cycles.
  • 抗原

    BLZF1 (Basic Leucine Zipper Nuclear Factor 1 (BLZF1))

    别名

    BLZF1

    背景

    Required for normal Golgi structure and for protein transport from the endoplasmic reticulum (ER through the Golgi apparatus to the cell surface.,BLZF1,GOLGIN-45,JEM-1,JEM-1s,JEM1,golgin-45,Signal Transduction,BLZF1

    分子量

    19 kDa/44 kDa

    基因ID

    8548

    UniProt

    Q9H2G9
You are here: