电话:
+86 (0512) 65829739
传真:
+86 (010) 6788 5057
电子邮件:
orders@antibodies-online.cn

PTRF 抗体 (Middle Region)

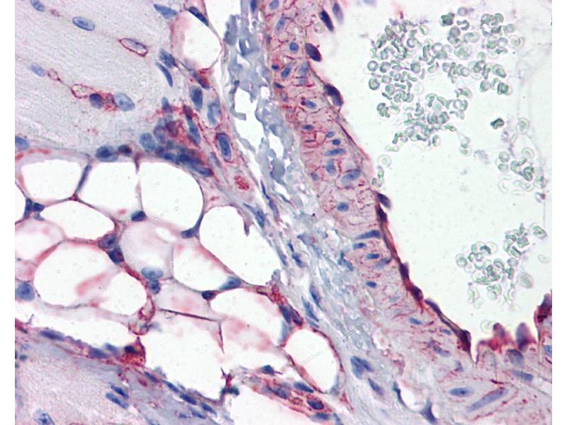
The 兔 多克隆 anti-PTRF antibody (ABIN2779886) specifically detects PTRF in WB 和 IHC. The antibody is reactive with 人, 小鼠, 大鼠, Cow, 马, 兔 和 犬 samples.
产品编号 ABIN2779886
发货至: 中国
Contact our Customer Service for availability and price in your country. Contact Info

Our Local Distributor

中国
北京 101111
No. 88 KeChuang 6th Street
Beijing Economic Technological Development Area
Room 801-803
4A Biotech Co.,Ltd.
Tel +86 (0512) 65829739 传真 +86 (010) 6788 5057

Quick Overview for PTRF 抗体 (Middle Region) (ABIN2779886)

抗原

See all PTRF 抗体
PTRF (Polymerase I and Transcript Release Factor (PTRF))

适用

  • 40
  • 16
  • 13
  • 2
  • 2
  • 2
  • 2
  • 1
  • 1
人, 小鼠, 大鼠, Cow, 马, 兔, 犬

宿主

  • 35
  • 5

克隆类型

  • 38
  • 2
多克隆

标记

  • 30
  • 2
  • 1
  • 1
  • 1
  • 1
  • 1
  • 1
  • 1
  • 1
This PTRF antibody is un-conjugated

应用范围

  • 25
  • 14
  • 10
  • 6
  • 6
  • 4
  • 2
  • 2
  • 1
  • 1
Western Blotting (WB), Immunohistochemistry (IHC)
  • 抗原表位

    • 7
    • 4
    • 4
    • 4
    • 3
    • 2
    • 2
    • 2
    • 2
    • 2
    • 1
    • 1
    • 1
    • 1
    • 1
    • 1
    • 1
    • 1
    Middle Region

    序列

    SEALPEKEGD ELGEGERPED DTAAIELSSD EAVEVEEVIE ESRAERIKRS

    预测反应

    Cow: 85%, Dog: 92%, Horse: 92%, Human: 90%, Mouse: 100%, Rabbit: 85%, Rat: 92%

    产品特性

    This is a rabbit polyclonal antibody against PTRF. It was validated on Western Blot using a cell lysate as a positive control.

    纯化方法

    Protein A purified

    免疫原

    The immunogen is a synthetic peptide directed towards the middle region of mouse PTRF
  • 应用备注

    Optimal working dilutions should be determined experimentally by the investigator.

    说明

    Antigen size: 392 AA

    限制

    仅限研究用
  • 状态

    Liquid

    浓度

    Lot specific

    缓冲液

    Liquid. Purified antibody supplied in 1x PBS buffer with 0.09 % (w/v) sodium azide and 2 % sucrose.

    储存液

    Sodium azide

    注意事项

    This product contains Sodium azide: a POISONOUS AND HAZARDOUS SUBSTANCE which should be handled by trained staff only.

    注意事项

    Avoid repeated freeze-thaw cycles.

    储存条件

    -20 °C

    储存方法

    For short term use, store at 2-8°C up to 1 week. For long term storage, store at -20°C in small aliquots to prevent freeze-thaw cycles.
  • 抗原

    PTRF (Polymerase I and Transcript Release Factor (PTRF))

    别名

    PTRF

    背景

    In mouse, pausing of elongation complexes is mediated by the transcription termination factor TTF-I bound to the 'Sal box' terminator downstream of the rDNA transcription unit. PTRF is a Pol I and transcript release factor for dissociation of paused ternary complexes.
    Alias Symbols: Cavin, Cav-p60, AW546441, 2310075E07Rik
    Protein Interaction Partner: Fbxo32, Dmd, Htt,
    Protein Size: 392

    分子量

    43 kDa

    基因ID

    19285

    NCBI登录号

    NM_008986, NP_033012

    UniProt

    O54724
You are here: