PTRF 抗体 (AA 177-226)
Our Local Distributor
北京 101111
Quick Overview for PTRF 抗体 (AA 177-226) (ABIN768768)
抗原
See all PTRF 抗体适用
宿主
克隆类型
标记
应用范围
-
-
抗原表位
- AA 177-226
-
特异性
- Mouse PTRF
-
预测反应
- Percent identity by BLAST analysis: Mouse (100%) Rat (92%) Human, Bovine, Rabbit, Pig (84%).
-
纯化方法
- Protein A purified
-
免疫原
-
Synthetic peptide located between aa177-226 of mouse PTRF (O54724, NP_033012). Percent identity by BLAST analysis: Mouse (100%), Rat, Hamster, Elephant, Panda, Dog, Horse (92%), Opossum (85%), Human, Gorilla, Gibbon, Galago, Marmoset, Bovine, Rabbit, Pig (84%).
Type of Immunogen: Synthetic peptide -
亚型
- IgG
-
-
-
-
应用备注
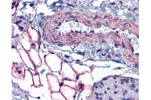
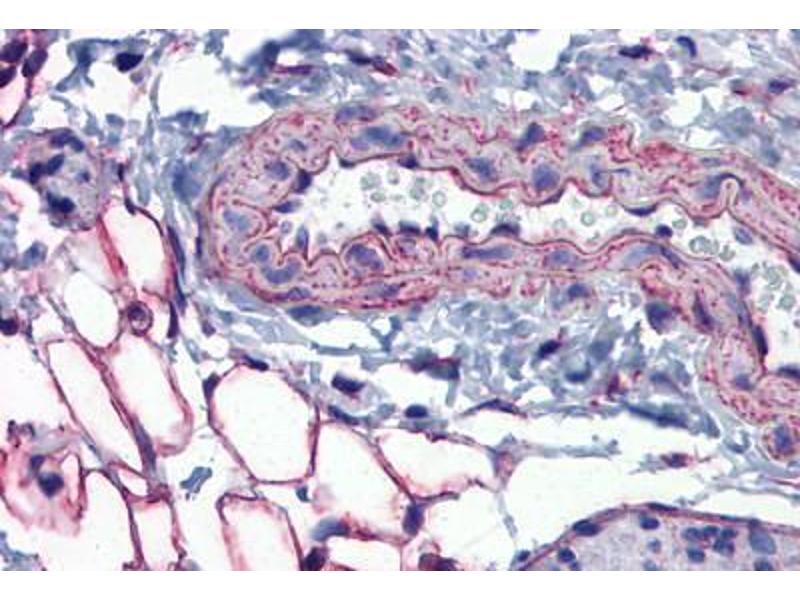
- Approved: IHC, IHC-P (5 μg/mL), WB (0.62 μg/mL)
-
说明
-
Target Species of Antibody: Mouse
-
限制
- 仅限研究用
-
-
-
状态
- Lyophilized
-
溶解方式
- After adding water, will consist of PBS buffer with 2 % sucrose
-
浓度
- Lot specific
-
缓冲液
- Lyophilized from PBS with 2 % sucrose
-
注意事项
- Avoid repeat freeze-thaw cycles.
-
储存条件
- 4 °C,-20 °C
-
储存方法
-
Long term: -20°C, the use of 50% glycerol is recommended if storing aliquots in -20°C for long term use (up to 1 year)
Short term (less than 1 week): 4°C. Avoid freeze-thaw cycles.
-
-
-