电话:
+86 (0512) 65829739
传真:
+86 (010) 6788 5057
电子邮件:
orders@antibodies-online.cn

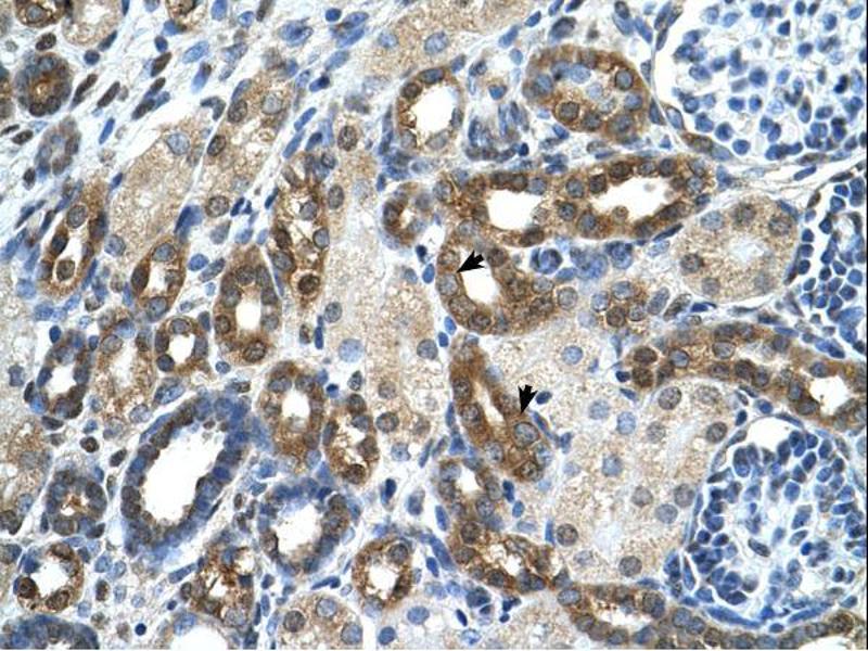
PKLR 抗体 (N-Term)

The 兔 多克隆 anti-PKLR antibody is suitable to detect PKLR in samples from 人, 小鼠, 大鼠, 犬, Cow, 豚鼠, 兔, 马, Pig 和 斑马鱼. It has been validated for WB 和 IHC.
产品编号 ABIN2776945
发货至: 中国
Contact our Customer Service for availability and price in your country. Contact Info

Our Local Distributor

中国
北京 101111
No. 88 KeChuang 6th Street
Beijing Economic Technological Development Area
Room 801-803
4A Biotech Co.,Ltd.
Tel +86 (0512) 65829739 传真 +86 (010) 6788 5057

Quick Overview for PKLR 抗体 (N-Term) (ABIN2776945)

抗原

See all PKLR 抗体
PKLR (Pyruvate Kinase, Liver and RBC (PKLR))

适用

  • 61
  • 30
  • 20
  • 4
  • 2
  • 1
  • 1
  • 1
  • 1
  • 1
  • 1
人, 小鼠, 大鼠, 犬, Cow, 豚鼠, 兔, 马, Pig, 斑马鱼

宿主

  • 58
  • 10

克隆类型

  • 60
  • 8
多克隆

标记

  • 36
  • 6
  • 6
  • 4
  • 2
  • 2
  • 2
  • 2
  • 2
  • 2
  • 2
  • 2
This PKLR antibody is un-conjugated

应用范围

  • 42
  • 32
  • 27
  • 7
  • 5
  • 5
  • 3
  • 2
  • 1
Western Blotting (WB), Immunohistochemistry (IHC)
  • 抗原表位

    • 14
    • 7
    • 7
    • 5
    • 4
    • 2
    • 2
    • 2
    • 1
    • 1
    • 1
    • 1
    • 1
    • 1
    • 1
    • 1
    N-Term

    序列

    STSIIATIGP ASRSVERLKE MIKAGMNIAR LNFSHGSHEY HAESIANVRE

    预测反应

    Cow: 100%, Dog: 100%, Guinea Pig: 86%, Horse: 93%, Human: 100%, Mouse: 100%, Pig: 100%, Rabbit: 100%, Rat: 100%, Zebrafish: 93%

    产品特性

    This is a rabbit polyclonal antibody against PKLR. It was validated on Western Blot and immunohistochemistry.

    纯化方法

    Protein A purified

    免疫原

    The immunogen is a synthetic peptide directed towards the N terminal region of human PKLR
  • 应用备注

    Optimal working dilutions should be determined experimentally by the investigator.

    说明

    Antigen size: 543 AA

    限制

    仅限研究用
  • 状态

    Liquid

    浓度

    Lot specific

    缓冲液

    Liquid. Purified antibody supplied in 1x PBS buffer with 0.09 % (w/v) sodium azide and 2 % sucrose.

    储存液

    Sodium azide

    注意事项

    This product contains Sodium azide: a POISONOUS AND HAZARDOUS SUBSTANCE which should be handled by trained staff only.

    注意事项

    Avoid repeated freeze-thaw cycles.

    储存条件

    -20 °C

    储存方法

    For short term use, store at 2-8°C up to 1 week. For long term storage, store at -20°C in small aliquots to prevent freeze-thaw cycles.
  • 抗原

    PKLR (Pyruvate Kinase, Liver and RBC (PKLR))

    别名

    PKLR

    背景

    PKLR is a pyruvate kinase that catalyzes the production of phohsphoenolpyruvate from pyruvate and ATP. Defects in this enzyme, due to gene mutations or genetic variations, are the common cause of chronic hereditary nonspherocytic hemolytic anemia (CNSHA or HNSHA).The protein encoded by this gene is a pyruvate kinase that catalyzes the production of phohsphoenolpyruvate from pyruvate and ATP. Defects in this enzyme, due to gene mutations or genetic variations, are the common cause of chronic hereditary nonspherocytic hemolytic anemia (CNSHA or HNSHA). Alternatively spliced transcript variants encoding distinct isoforms have been described.
    Alias Symbols: PK1, PKL, RPK, PKR, PKRL
    Protein Interaction Partner: UBC, WWOX, SUMO4, CLEC4G, PCNA, OTUD5, USPL1, USP3, MYOC, KIF23, ARHGEF6, PXN, PAK1,
    Protein Size: 543

    分子量

    58 kDa

    基因ID

    5313

    NCBI登录号

    NM_181871, NP_870986

    途径

    Ribonucleoside Biosynthetic Process
You are here: