电话:
+86 (0512) 65829739
传真:
+86 (010) 6788 5057
电子邮件:
orders@antibodies-online.cn

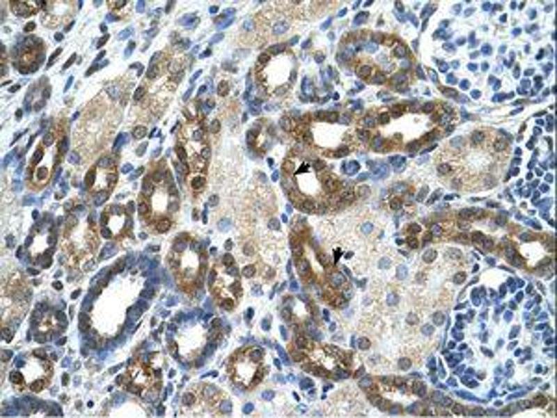
PKLR 抗体 (AA 56-105)

The 兔 多克隆 anti-PKLR antibody is suitable to detect PKLR in samples from 人, 小鼠, 大鼠, 犬, Cow, 豚鼠, 兔, Bat, 猴 和 非洲爪蟾. It has been validated for WB, IHC 和 IHC (p).
产品编号 ABIN320669
发货至: 中国
Contact our Customer Service for availability and price in your country. Contact Info

Our Local Distributor

中国
北京 101111
No. 88 KeChuang 6th Street
Beijing Economic Technological Development Area
Room 801-803
4A Biotech Co.,Ltd.
Tel +86 (0512) 65829739 传真 +86 (010) 6788 5057

Quick Overview for PKLR 抗体 (AA 56-105) (ABIN320669)

抗原

See all PKLR 抗体
PKLR (Pyruvate Kinase, Liver and RBC (PKLR))

适用

  • 61
  • 30
  • 20
  • 4
  • 2
  • 1
  • 1
  • 1
  • 1
  • 1
  • 1
人, 小鼠, 大鼠, 犬, Cow, 豚鼠, 兔, Bat, 猴, 非洲爪蟾

宿主

  • 58
  • 10

克隆类型

  • 60
  • 8
多克隆

标记

  • 36
  • 6
  • 6
  • 4
  • 2
  • 2
  • 2
  • 2
  • 2
  • 2
  • 2
  • 2
This PKLR antibody is un-conjugated

应用范围

  • 42
  • 32
  • 27
  • 7
  • 5
  • 4
  • 3
  • 2
  • 1
Western Blotting (WB), Immunohistochemistry (IHC), Immunohistochemistry (Paraffin-embedded Sections) (IHC (p))
  • 抗原表位

    • 14
    • 7
    • 7
    • 5
    • 5
    • 2
    • 2
    • 2
    • 1
    • 1
    • 1
    • 1
    • 1
    • 1
    • 1
    AA 56-105

    特异性

    Human PKLR

    预测反应

    Percent identity by BLAST analysis: Human, Mouse, Rat, Dog, Bovine, Rabbit, Xenopus (100%) Guinea pig, Zebrafish (85%).

    纯化方法

    Protein A purified

    免疫原

    Synthetic peptide located between aa56-105 of human PKLR (P30613-2, NP_870986). Percent identity by BLAST analysis: Human, Chimpanzee, Gorilla, Gibbon, Monkey, Galago, Marmoset, Mouse, Rat, Elephant, Dog, Bovine, Bat, Rabbit, Opossum, Xenopus, Salmon, Stickleback, Beetle (100%), Horse, Pufferfish, Zebrafish, Drosophila (92%), Orangutan, Panda, Cat, Pig, Guinea pig, Turkey, Chicken, Platypus (85%).

    Type of Immunogen: Synthetic peptide

    亚型

    IgG
  • 应用备注

    Approved: IHC, IHC-P, WB

    Usage: ELISA titer using peptide based assay: 1:62500. Western Blot: Suggested dilution at 5.0 μg/mL in 5 % skim milk / PBS buffer, and HRP conjugated anti-Rabbit IgG should be diluted in 1:50000 - 100000 as second antibody.

    说明

    Target Species of Antibody: Human

    限制

    仅限研究用
  • 状态

    Lyophilized

    溶解方式

    Distilled Water.

    浓度

    Lot specific

    缓冲液

    Lyophilized from PBS with 2 % sucrose

    注意事项

    Avoid repeat freeze-thaw cycles.

    储存条件

    4 °C,-20 °C

    储存方法

    Long term: -20°C, the use of 50% glycerol is recommended if storing aliquots in -20°C for long term use (up to 1 year)
    Short term (less than 1 week): 4°C. Avoid freeze-thaw cycles.
  • 抗原

    PKLR (Pyruvate Kinase, Liver and RBC (PKLR))

    别名

    PKLR

    背景

    Name/Gene ID: PKLR

    Synonyms: PKLR, PKL, Pyruvate kinase, liver and RBC, Pyruvate kinase type L, Red cell/liver pyruvate kinase, RPK, PK1, PKR, Pyruvate kinase 1, Pyruvate kinase isozymes R/L, R-type/L-type pyruvate kinase, PKRL, Pyruvate kinase isozyme R/L

    基因ID

    5313

    NCBI登录号

    NP_870986

    UniProt

    P30613

    途径

    Ribonucleoside Biosynthetic Process
You are here: