电话:
+86 (0512) 65829739
传真:
+86 (010) 6788 5057
电子邮件:
orders@antibodies-online.cn

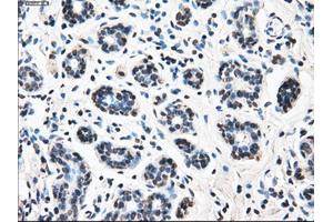
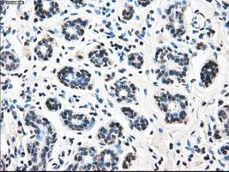
LEMD3 抗体

The 小鼠 单克隆 anti-LEMD3 antibody is suitable to detect LEMD3 in samples from 人. It has been validated for WB, IF, FACS, IHC 和 IP.
产品编号 ABIN2724626
发货至: 中国
Contact our Customer Service for availability and price in your country. Contact Info

Our Local Distributor

中国
北京 101111
No. 88 KeChuang 6th Street
Beijing Economic Technological Development Area
Room 801-803
4A Biotech Co.,Ltd.
Tel +86 (0512) 65829739 传真 +86 (010) 6788 5057

Quick Overview for LEMD3 抗体 (ABIN2724626)

抗原

See all LEMD3 抗体
LEMD3 (LEM Domain Containing 3 (LEMD3))

适用

  • 11
  • 4
  • 4
  • 3
  • 1

宿主

  • 6
  • 5
小鼠

克隆类型

  • 6
  • 5
单克隆

标记

  • 11
This LEMD3 antibody is un-conjugated

应用范围

  • 11
  • 6
  • 5
  • 3
  • 2
  • 2
  • 2
  • 1
Western Blotting (WB), Immunofluorescence (IF), Flow Cytometry (FACS), Immunohistochemistry (IHC), Immunoprecipitation (IP)

克隆位点

4E1
  • 纯化方法

    Purified from mouse ascites fluids by affinity chromatography

    免疫原

    Full length human recombinant protein of human LEMD3 (NP_055134) produced in HEK293T cell.

    亚型

    IgG2b
  • 应用备注

    WB 1:1000, IHC 1:50, IF 1:100, Flow 1:100, IP 2-4 μg/mg

    说明

    The concentration of the product may vary between diferrent lots.

    限制

    仅限研究用
  • 状态

    Liquid

    浓度

    0.5-1.0 mg/mL

    缓冲液

    PBS ( pH 7.3) containing 1 % BSA, 50 % glycerol and 0.02 % sodium azide.

    储存液

    Sodium azide

    注意事项

    This product contains sodium azide: a POISONOUS AND HAZARDOUS SUBSTANCE which should be handled by trained staff only.
  • 抗原

    LEMD3 (LEM Domain Containing 3 (LEMD3))

    别名

    LEMD3

    分子量

    100.0 kDa

    基因ID

    23592

    NCBI登录号

    NM_014319

    HGNC

    23592
You are here: