PDGFA 抗体 (Center)
Our Local Distributor
北京 101111
Quick Overview for PDGFA 抗体 (Center) (ABIN7296544)
抗原
See all PDGFA 抗体适用
宿主
克隆类型
标记
应用范围
-
-
抗原表位
- Center
-
原理
- Rabbit polyclonal antibody to PDGFA
-
特异性
- Recognizes endogenous levels of PDGFA protein.
-
产品特性
- Rabbit polyclonal antibody to PDGFA
-
纯化方法
- The antibody was purified by immunogen affinity chromatography.
-
免疫原
- KLH-conjugated synthetic peptide encompassing a sequence within the center region of human PDGFA. The exact sequence is proprietary.
-
-
-
-
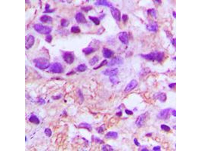
应用备注
- WB (1/500 - 1/1000), IH (1/100 - 1/200)
-
限制
- 仅限研究用
-
-
-
状态
- Liquid
-
缓冲液
- Liquid in 0.42 % Potassium phosphate, 0.87 % Sodium chloride, pH 7.3, 30 % glycerol, and 0.01 % sodium azide.
-
储存液
- Sodium azide
-
注意事项
- This product contains Sodium azide: a POISONOUS AND HAZARDOUS SUBSTANCE which should be handled by trained staff only.
-
储存条件
- -20 °C
-
储存方法
- Shipped at 4°C. Upon delivery aliquot and store at -20°C for one year. Avoid freeze/thaw cycles.
-
有效期
- 12 months
-
-
- PDGFA (Platelet Derived Growth Factor A (PDGFA))
-
别名
- PDGFA
-
背景
- PDGF1, Platelet-derived growth factor subunit A, PDGF subunit A, PDGF-1, Platelet-derived growth factor A chain, Platelet-derived growth factor alpha polypeptide
-
基因ID
- 5154, 18590, 25266
-
UniProt
- P04085
-
途径
- RTK signaling, Fc-epsilon Receptor Signaling Pathway, EGFR Signaling Pathway, Neurotrophin Signaling Pathway, Smooth Muscle Cell Migration, Platelet-derived growth Factor Receptor Signaling
抗原
-