电话:
+86 (0512) 65829739
传真:
+86 (010) 6788 5057
电子邮件:
orders@antibodies-online.cn

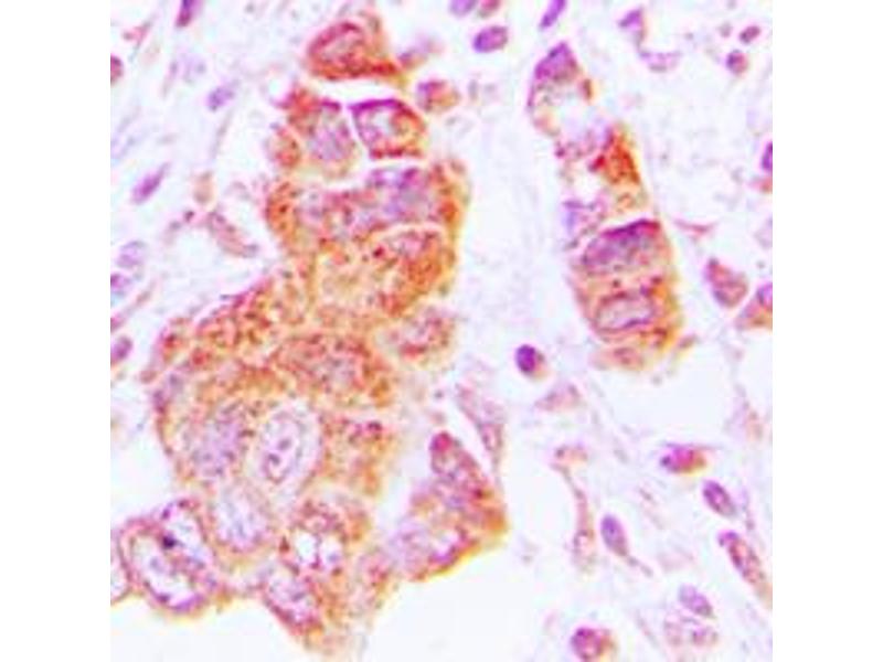
CK1 epsilon 抗体 (Center)

The 兔 多克隆 anti-CK1 epsilon antibody (ABIN7295380) specifically detects CK1 epsilon in WB, IHC 和 IF. The antibody is reactive with 人, 小鼠 和 大鼠 samples.
产品编号 ABIN7295380
发货至: 中国
Contact our Customer Service for availability and price in your country. Contact Info

Our Local Distributor

中国
北京 101111
No. 88 KeChuang 6th Street
Beijing Economic Technological Development Area
Room 801-803
4A Biotech Co.,Ltd.
Tel +86 (0512) 65829739 传真 +86 (010) 6788 5057

Quick Overview for CK1 epsilon 抗体 (Center) (ABIN7295380)

抗原

See all CK1 epsilon (CSNK1E) 抗体
CK1 epsilon (CSNK1E) (Casein Kinase 1, epsilon (CSNK1E))

适用

  • 63
  • 37
  • 17
  • 3
  • 3
  • 2
  • 2
  • 2
  • 2
  • 2
  • 2
  • 2
  • 1
  • 1
  • 1
  • 1
  • 1
人, 小鼠, 大鼠

宿主

  • 59
  • 8
  • 2
  • 1

克隆类型

  • 62
  • 8
多克隆

标记

  • 38
  • 6
  • 6
  • 4
  • 2
  • 2
  • 2
  • 2
  • 2
  • 2
  • 2
  • 2
This CK1 epsilon antibody is un-conjugated

应用范围

  • 47
  • 32
  • 31
  • 13
  • 10
  • 4
  • 3
  • 2
  • 1
  • 1
  • 1
Western Blotting (WB), Immunohistochemistry (IHC), Immunofluorescence (IF)
  • 抗原表位

    • 13
    • 6
    • 5
    • 5
    • 5
    • 5
    • 4
    • 4
    • 3
    • 2
    • 2
    • 1
    • 1
    • 1
    • 1
    • 1
    • 1
    • 1
    Center

    原理

    Rabbit polyclonal antibody to CK1 epsilon

    特异性

    Recognizes endogenous levels of CK1 epsilon protein.

    产品特性

    Rabbit polyclonal antibody to CK1 epsilon

    纯化方法

    The antibody was purified by immunogen affinity chromatography.

    免疫原

    KLH-conjugated synthetic peptide encompassing a sequence within the center region of human CK1 epsilon. The exact sequence is proprietary.
  • 应用备注

    WB (1/500 - 1/1000), IH (1/100 - 1/200), IF/IC (1/100 - 1/500)

    限制

    仅限研究用
  • 状态

    Liquid

    缓冲液

    Liquid in 0.42 % Potassium phosphate, 0.87 % Sodium chloride, pH 7.3, 30 % glycerol, and 0.01 % sodium azide.

    储存液

    Sodium azide

    注意事项

    This product contains Sodium azide: a POISONOUS AND HAZARDOUS SUBSTANCE which should be handled by trained staff only.

    储存条件

    -20 °C

    储存方法

    Shipped at 4°C. Upon delivery aliquot and store at -20°C for one year. Avoid freeze/thaw cycles.

    有效期

    12 months
  • 抗原

    CK1 epsilon (CSNK1E) (Casein Kinase 1, epsilon (CSNK1E))

    别名

    CK1 epsilon

    背景

    Casein kinase I isoform epsilon, CKI-epsilon, CKIe

    基因ID

    102800317, 27373

    UniProt

    P49674

    途径

    Hedgehog Signaling, M Phase
You are here: