电话:
+86 (0512) 65829739
传真:
+86 (010) 6788 5057
电子邮件:
orders@antibodies-online.cn

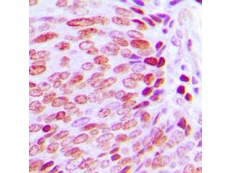
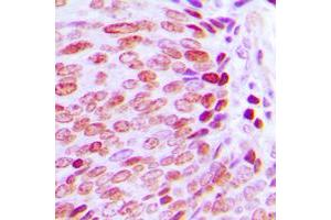
KLF10/11 抗体 (C-Term)

The 兔 多克隆 anti-KLF10/11 antibody (ABIN7300914) specifically detects KLF10/11 in IHC 和 WB. The antibody is reactive with 人, 小鼠, 大鼠 和 斑马鱼 samples.
产品编号 ABIN7300914
发货至: 中国
Contact our Customer Service for availability and price in your country. Contact Info

Our Local Distributor

中国
北京 101111
No. 88 KeChuang 6th Street
Beijing Economic Technological Development Area
Room 801-803
4A Biotech Co.,Ltd.
Tel +86 (0512) 65829739 传真 +86 (010) 6788 5057

Quick Overview for KLF10/11 抗体 (C-Term) (ABIN7300914)

抗原

KLF10/11 (Kruppel-Like Factor 10/11 (KLF10/11))

适用

人, 小鼠, 大鼠, 斑马鱼

宿主

  • 10

克隆类型

  • 10
多克隆

标记

  • 3
  • 1
  • 1
  • 1
  • 1
  • 1
  • 1
  • 1
This KLF10/11 antibody is un-conjugated

应用范围

Immunohistochemistry (IHC), Western Blotting (WB)
  • 抗原表位

    • 1
    • 1
    C-Term

    原理

    Rabbit polyclonal antibody to KLF10/11

    特异性

    Recognizes endogenous levels of KLF10/11 protein.

    产品特性

    Rabbit polyclonal antibody to KLF10/11

    纯化方法

    The antibody was purified by immunogen affinity chromatography.

    免疫原

    KLH-conjugated synthetic peptide encompassing a sequence within the C-term region of human KLF10/11. The exact sequence is proprietary.
  • 应用备注

    WB (1/500 - 1/1000), IH (1/100 - 1/200)

    限制

    仅限研究用
  • 状态

    Liquid

    缓冲液

    Liquid in 0.42 % Potassium phosphate, 0.87 % Sodium chloride, pH 7.3, 30 % glycerol, and 0.01 % sodium azide.

    储存液

    Sodium azide

    注意事项

    This product contains Sodium azide: a POISONOUS AND HAZARDOUS SUBSTANCE which should be handled by trained staff only.

    储存条件

    -20 °C

    储存方法

    Shipped at 4°C. Upon delivery aliquot and store at -20°C for one year. Avoid freeze/thaw cycles.

    有效期

    12 months
  • 抗原

    KLF10/11 (Kruppel-Like Factor 10/11 (KLF10/11))

    别名

    KLF10/11

    背景

    KLF10, TIEG, TIEG1, Krueppel-like factor 10, EGR-alpha, Transforming growth factor-beta-inducible early growth response protein 1, TGFB-inducible early growth response protein 1, TIEG-1, KLF11, FKLF, TIEG2, Krueppel-like factor 11, Transforming growth factor-beta-inducible early growth response protein 2, TGFB-inducible early growth response protein 2, TIEG-2

    基因ID

    7071, 21847, 81813

    UniProt

    Q13118
You are here: