电话:
+86 (0512) 65829739
传真:
+86 (010) 6788 5057
电子邮件:
orders@antibodies-online.cn

IdU 抗体

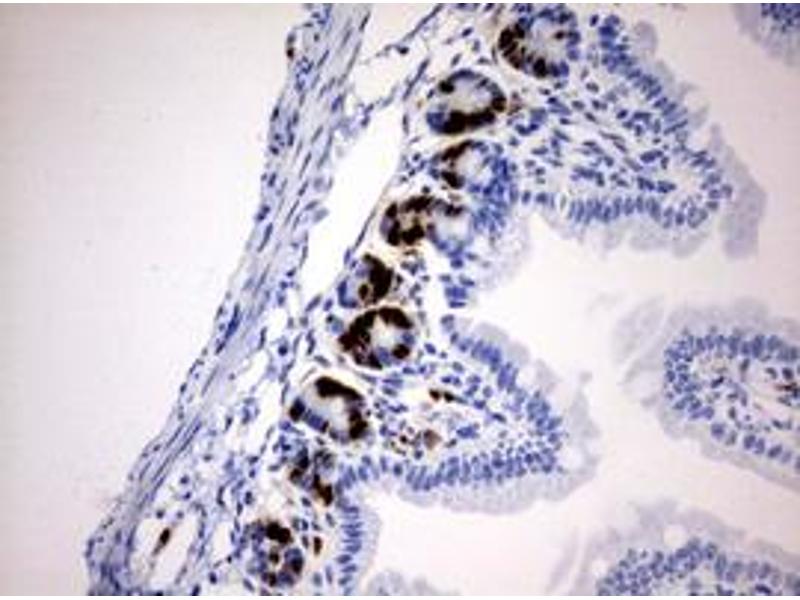
The 小鼠 单克隆 anti-IdU antibody is suitable to detect IdU in samples from 化学剂. It has been validated for IHC 和 IF. The antibody has been independently validated.
产品编号 ABIN2669973
发货至: 中国
Contact our Customer Service for availability and price in your country. Contact Info

Our Local Distributor

中国
北京 101111
No. 88 KeChuang 6th Street
Beijing Economic Technological Development Area
Room 801-803
4A Biotech Co.,Ltd.
Tel +86 (0512) 65829739 传真 +86 (010) 6788 5057

Quick Overview for IdU 抗体 (ABIN2669973)

抗原

IdU (Iododeoxyuridine (IdU))

适用

  • 6
  • 5
化学剂

宿主

  • 8
  • 3
小鼠

克隆类型

  • 11
单克隆

标记

  • 11
This IdU antibody is un-conjugated

应用范围

  • 7
  • 5
  • 4
  • 3
  • 3
  • 1
  • 1
  • 1
Immunohistochemistry (IHC), Immunofluorescence (IF)

克隆位点

OTI2B10
  • 纯化方法

    Purified from mouse ascites fluids by affinity chromatography

    免疫原

    Iododeoxyuridine coupled to keyhole limpet hemocyanin.

    亚型

    IgG2b
  • 应用备注

    IHC 1:150, IF 1:150,

    限制

    仅限研究用
  • 生效 #103750 (Immunohistochemistry)
    '独立验证'标志
    by
    Prof. Merighi, Laboratory of Neurobiology, Department of Veterinary Sciences, University of Turin
    No.
    #103750
    日期
    2019.04.19
    抗原
    IdU
    Lot Number
    W001
    Method validated
    Immunohistochemistry
    Positive Control

    Adult (24 months) mouse brain and intestine (duodenum)

    Negative Control

    We incubated slices overnight with the blocking solution only and then processed them with the secondary antibody.

    Notes

    Passed. ABIN2669973 works in IHC-P with a microwave antigen retrieval pretreatment and concentration of 1:50.

    '独立验证'标志
    Validation Images
    Full Methods
    Primary Antibody
    ABIN2669973
    Secondary Antibody
    goat anti-mouse AF594-conjugated (Invitrogen by Thermo Fisher Scientific, A11032, lot 819561)
    Full Protocol
    • Inject mouse intraperitoneally at the dose of 0.057mg/g body weight with IdU (Sigma, I7125) dissolved in sterile distilled water at final concentration of 100mg/ml, pH7.5.
    • Perfuse mouse with 4% paraformaldehyde in 0.1M phosphate buffer (PB) pH7.4 and post-fix samples in the same fixative for an additional 2h at RT.
    • Wash, dehydrate, and embed samples in paraffin wax.
    • Following several washes in PBS, cut intestines and brain with a microtome (6µm-thick sections) and mount sections on glass slides.
    • After paraffin removal, process sections by microwave antigen retrieval for 10min (95-100°C) in 10mM sodium citrate buffer pH6.0.
    • Let sections cool for 20min.
    • Wash sections 2x 5min with distilled water.
    • Wash sections 5min with PBS.
    • Incubate sections in PBS containing 1% albumin from chicken egg white (Sigma, A5378) and 0.3% Triton-X-100 (BioRad, 161-0407, lot 00583) for 1h at RT to block non-specific binding sites.
    • Incubate sections with primary antibody mouse anti-IdU (antibodies-online, ABIN2669973, lot W001) diluted 1:50 in PBS-BSA-PLL ON at 4°C.
    • Wash sections 3x 5min with 0.01M PBS.
    • Incubate sections with secondary goat anti-mouse AF594-conjugated (Invitrogen by Thermo Fisher Scientific, A11032, lot 819561) diluted 1:500 in 0.1M PBS for 1h at RT.
    • Wash sections 3x 5min with 0.01M PBS.
    • Mount sections in Fluoroshield (Sigma, F6182, lot MKCB0153V).
    • Acquire images with Leica DM 6000B fluorescence microscope equipped with the manufacturer’s FITC filter set and digital camera at magnifications of 20x and 40x. Parameters for image acquisition (Exposure 2.2s, Gain 2.3x, Saturation 1.5, Gamma 1.10) were maintained unchanged for all images.
    Experimental Notes

    For the incubation with the primary antibody ABIN2669973 and 1:20, 1:70, and 1:100 dilutions were also tested with 0.01M PBS, 5% Normal Goat Serum (NGS Sigma, G9023, lot SLBV1396) and 0.1% Triton-X -100 as the blocking solution, but 1:50 and PBS containing 1% albumin from chicken egg white and 0.3% Triton-X gave the best results.

  • 状态

    Liquid

    浓度

    4.54 mg/mL
  • 抗原

    IdU (Iododeoxyuridine (IdU))

    别名

    IdU
You are here: