电话:
+86 (0512) 65829739
传真:
+86 (010) 6788 5057
电子邮件:
orders@antibodies-online.cn

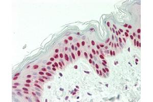
NONO 抗体 (AA 350-400)

The 兔 多克隆 anti-NONO antibody is suitable to detect NONO in samples from 人, 小鼠, 大鼠, 犬, 马, Cow, 豚鼠, 兔 和 Pig. It has been validated for WB, IHC, IF, IHC (p), IP 和 PLA.
产品编号 ABIN2626152
发货至: 中国
Contact our Customer Service for availability and price in your country. Contact Info

Our Local Distributor

中国
北京 101111
No. 88 KeChuang 6th Street
Beijing Economic Technological Development Area
Room 801-803
4A Biotech Co.,Ltd.
Tel +86 (0512) 65829739 传真 +86 (010) 6788 5057

Quick Overview for NONO 抗体 (AA 350-400) (ABIN2626152)

抗原

See all NONO 抗体
NONO (Non-POU Domain Containing, Octamer-Binding (NONO))

适用

  • 86
  • 46
  • 41
  • 15
  • 11
  • 5
  • 5
  • 4
  • 4
  • 2
  • 2
  • 1
人, 小鼠, 大鼠, 犬, 马, Cow, 豚鼠, 兔, Pig

宿主

  • 80
  • 4
  • 2
  • 1

克隆类型

  • 60
  • 27
多克隆

标记

  • 43
  • 6
  • 3
  • 3
  • 3
  • 3
  • 3
  • 3
  • 3
  • 2
  • 1
  • 1
  • 1
  • 1
  • 1
  • 1
  • 1
  • 1
  • 1
  • 1
  • 1
  • 1
  • 1
  • 1
  • 1
This NONO antibody is un-conjugated

应用范围

  • 68
  • 42
  • 25
  • 23
  • 17
  • 14
  • 14
  • 12
  • 9
  • 6
  • 3
  • 2
  • 1
Western Blotting (WB), Immunohistochemistry (IHC), Immunofluorescence (IF), Immunohistochemistry (Paraffin-embedded Sections) (IHC (p)), Immunoprecipitation (IP), Proximity Ligation Assay (PLA)
You are here: