电话:
+86 (0512) 65829739
传真:
+86 (010) 6788 5057
电子邮件:
orders@antibodies-online.cn

CMA1 抗体

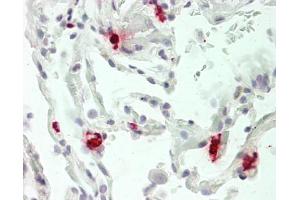
The 小鼠 单克隆 anti-CMA1 antibody is suitable to detect CMA1 in samples from 人. It has been validated for WB, IHC 和 IHC (p).
产品编号 ABIN2619354
发货至: 中国
Contact our Customer Service for availability and price in your country. Contact Info

Our Local Distributor

中国
北京 101111
No. 88 KeChuang 6th Street
Beijing Economic Technological Development Area
Room 801-803
4A Biotech Co.,Ltd.
Tel +86 (0512) 65829739 传真 +86 (010) 6788 5057

Quick Overview for CMA1 抗体 (ABIN2619354)

抗原

See all CMA1 抗体
CMA1 (Chymase 1, Mast Cell (CMA1))

适用

  • 44
  • 24
  • 10
  • 1
  • 1
  • 1
  • 1
  • 1

宿主

  • 54
  • 7
  • 1
  • 1
小鼠

克隆类型

  • 38
  • 25
单克隆

标记

  • 29
  • 10
  • 6
  • 4
  • 2
  • 2
  • 2
  • 2
  • 2
  • 2
  • 1
  • 1
This CMA1 antibody is un-conjugated

应用范围

  • 39
  • 26
  • 20
  • 9
  • 5
  • 4
  • 3
  • 1
  • 1
  • 1
  • 1
  • 1
Western Blotting (WB), Immunohistochemistry (IHC), Immunohistochemistry (Paraffin-embedded Sections) (IHC (p))
  • 特异性

    Recognizes human mast cells in routinely fixed tissues, and has been used to study the distribution of mast cells in skin, synovium, lung and heart. Binding of this antibody to chymase is not reduced in the presence of heparin, suggesting that the antibody does not bind to the heparin-binding domain of chymase.

    纯化方法

    Protein G purified

    免疫原

    Purified human skin chymase. Cellular Localization: Cytoplasmic.

    Type of Immunogen: Purified protein

    亚型

    IgG1
  • 应用备注

    Approved: IHC, IHC-P (1:100), WB (1 - 2 μg/mL)

    Usage: Suitable for use in Western Blot and Immunohistochemistry. Immunohistochemistry (Formalin/paraffin): Staining of formalin-fixed tissues requires boiling tissue sections in 10 mM citrate buffer,  pH 6.0, for 10-20 min followed by cooling at RT for 20 min. Positive control: Tonsil.

    说明

    Target Species of Antibody: Human

    限制

    仅限研究用
  • 状态

    Liquid

    浓度

    Lot specific

    缓冲液

    10 mM PBS,  pH 7.4, 0.2 % BSA, 0.09 % sodium azide.

    储存液

    Sodium azide

    注意事项

    This product contains Sodium azide: a POISONOUS AND HAZARDOUS SUBSTANCE which should be handled by trained staff only.

    注意事项

    Avoid repeat freeze-thaw cycles.

    储存条件

    4 °C,-20 °C

    储存方法

    Short term: 4°C. Long term: Store at -20°C. Avoid freeze-thaw cycles.
  • 抗原

    CMA1 (Chymase 1, Mast Cell (CMA1))

    别名

    CMA1 / MCT1 / Chymase

    背景

    Name/Gene ID: CMA1
    Subfamily: Serine S1
    Family: Protease

    Synonyms: CMA1, Chymase, Chymase, heart, Chymase, mast cell, CYH, Mast cell chymase, Mcpt5, MCT1, Mast cell protease 5, Mast cell protease I, Heart chymase, Alpha-chymase, Chymase 1, Chymase 1, mast cell, CYM

    基因ID

    1215

    途径

    ACE Inhibitor Pathway, Peptide Hormone Metabolism, Regulation of Systemic Arterial Blood Pressure by Hormones, Carbohydrate Homeostasis
You are here: