LYVE1 抗体 (Internal Region)
Our Local Distributor
北京 101111
Quick Overview for LYVE1 抗体 (Internal Region) (ABIN2613449)
抗原
See all LYVE1 抗体适用
宿主
克隆类型
标记
应用范围
质量等级
-
-
抗原表位
- Internal Region
-
原理
- LYVE1
-
序列
- STETEPFVEN K
-
特异性
- This antibody binds to part of the extracellular domain.
-
交叉反应
- 人
-
纯化方法
- Purified from goat serum by ammonium sulphate precipitation followed by antigen affinity chromatography using the immunizing peptide.
-
亚型
- IgG
-
-
-
-
应用备注
-
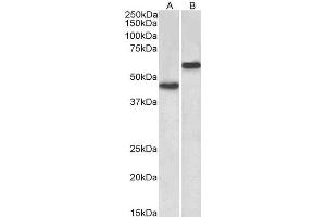
Western Blot: Approx 45 kDa band observed in Human Brain (Cerebellum) and 60 kDa in Human Liver lysates (calculated MW of 35.2 kDa according to NP_006682.2). The observed molecular weights correspond to the different glycosylated forms. Recommended concentr
Peptide ELISA: antibody detection limit dilution 1:32000.
-
说明
-
fg
-
限制
- 仅限研究用
-
-
-
状态
- Liquid
-
浓度
- 0.5 mg/mL
-
缓冲液
- Supplied at 0.5 mg/mL in Tris saline, 0.02 % sodium azide, pH 7.3 with 0.5 % bovine serum albumin.
-
储存液
- Sodium azide
-
注意事项
- This product contains Sodium azide: a POISONOUS AND HAZARDOUS SUBSTANCE which should be handled by trained staff only.
-
注意事项
- Minimize freezing and thawing.
-
储存条件
- -20 °C
-
储存方法
- Aliquot and store at -20°C, with minimal freeze/thawing. A working aliquot may be refrigerated at 4°C for a few weeks and still remain viable.
-
-
- LYVE1 (Lymphatic Vessel Endothelial Hyaluronan Receptor 1 (LYVE1))
-
别名
- LYVE1
-
背景
- LYVE1, lymphatic vessel endothelial hyaluronan receptor 1, CRSBP-1, HAR, LYVE-1, XLKD1, cell surface retention sequence binding protein-1, cell surface retention sequence-binding protein 1, extracellular link domain containing 1, extracellular link domain
-
基因ID
- 10894
-
NCBI登录号
- NP_006682
-
途径
- Glycosaminoglycan Metabolic Process
抗原
-