电话:
+86 (0512) 65829739
传真:
+86 (010) 6788 5057
电子邮件:
orders@antibodies-online.cn

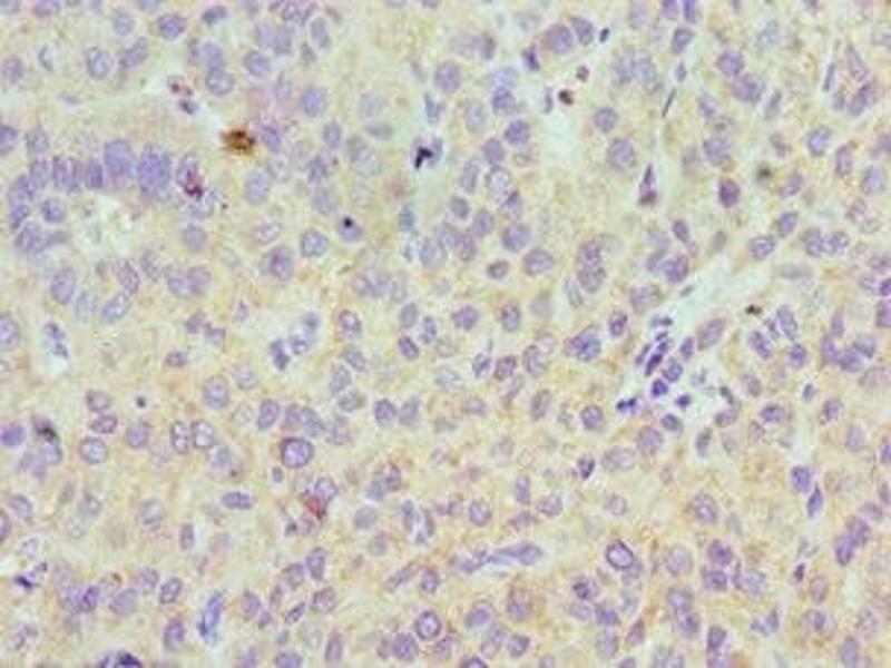
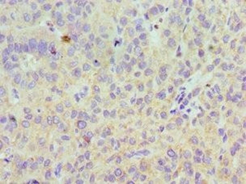
LYVE1 抗体 (AA 20-238)

The 兔 多克隆 anti-LYVE1 antibody (ABIN7158607) specifically detects LYVE1 in WB, ELISA 和 IHC. The antibody is reactive with 人 samples.
产品编号 ABIN7158607
发货至: 中国
Contact our Customer Service for availability and price in your country. Contact Info

Our Local Distributor

中国
北京 101111
No. 88 KeChuang 6th Street
Beijing Economic Technological Development Area
Room 801-803
4A Biotech Co.,Ltd.
Tel +86 (0512) 65829739 传真 +86 (010) 6788 5057

Quick Overview for LYVE1 抗体 (AA 20-238) (ABIN7158607)

抗原

See all LYVE1 抗体
LYVE1 (Lymphatic Vessel Endothelial Hyaluronan Receptor 1 (LYVE1))

适用

  • 88
  • 65
  • 25
  • 2
  • 2
  • 1
  • 1
  • 1
  • 1

宿主

  • 96
  • 7
  • 5
  • 1
  • 1

克隆类型

  • 83
  • 27
多克隆

标记

  • 57
  • 10
  • 5
  • 3
  • 3
  • 3
  • 3
  • 3
  • 3
  • 3
  • 2
  • 2
  • 1
  • 1
  • 1
  • 1
  • 1
  • 1
  • 1
  • 1
  • 1
  • 1
  • 1
  • 1
  • 1
This LYVE1 antibody is un-conjugated

应用范围

  • 82
  • 39
  • 28
  • 23
  • 15
  • 13
  • 12
  • 10
  • 9
  • 4
  • 1
  • 1
  • 1
  • 1
Western Blotting (WB), ELISA, Immunohistochemistry (IHC)
  • 抗原表位

    • 13
    • 8
    • 7
    • 7
    • 5
    • 5
    • 4
    • 3
    • 3
    • 3
    • 2
    • 2
    • 2
    • 1
    • 1
    • 1
    • 1
    • 1
    • 1
    • 1
    • 1
    • 1
    • 1
    AA 20-238

    原理

    LYVE1 Antibody

    交叉反应

    小鼠

    纯化方法

    Antigen Affinity Purified

    免疫原

    Recombinant Human Lymphatic vessel endothelial hyaluronic acid receptor 1 protein (20-238AA)

    亚型

    IgG
  • 应用备注

    Optimal working dilution should be determined by the investigator.

    限制

    仅限研究用
  • 状态

    Liquid

    缓冲液

    PBS with 0.02 % sodium azide, 50 % glycerol, pH 7.3.

    储存液

    Sodium azide

    注意事项

    This product contains Sodium azide: a POISONOUS AND HAZARDOUS SUBSTANCE which should be handled by trained staff only.

    储存条件

    -20 °C,-80 °C

    储存方法

    Upon receipt, store at -20°C or -80°C. Avoid repeated freeze.
  • 抗原

    LYVE1 (Lymphatic Vessel Endothelial Hyaluronan Receptor 1 (LYVE1))

    别名

    LYVE1

    背景

    Background: Ligand-specific transporter trafficking between intracellular organelles (TGN) and the plasma membrane. Plays a role in autocrine regulation of cell growth mediated by growth regulators containing cell surface retention sequence binding (CRS). May act as a hyaluronan (HA) transporter, either mediating its uptake for catabolism within lymphatic endothelial cells themselves, or its transport into the lumen of afferent lymphatic vessels for subsequent re-uptake and degradation in lymph nodes.

    Aliases: Cell surface retention sequence-binding protein 1 antibody, CRSBP 1 antibody, CRSBP-1 antibody, CRSBP1 antibody, extracellular link domain containing 1 antibody, extracellular link domain-containing 1 antibody, Extracellular link domain-containing protein 1 antibody, HAR antibody, Hyaluronic acid receptor antibody, Lymphatic endothelium specific hyaluronan receptor antibody, lymphatic vessel endothelial hyaluronan receptor 1 antibody, Lymphatic vessel endothelial hyaluronic acid receptor 1 antibody, LYVE 1 antibody, LYVE-1 antibody, LYVE1 antibody, LYVE1_HUMAN antibody, XLKD1 antibody

    UniProt

    Q9Y5Y7

    途径

    Glycosaminoglycan Metabolic Process
You are here: