电话:
+86 (0512) 65829739
传真:
+86 (010) 6788 5057
电子邮件:
orders@antibodies-online.cn

CD74 抗体 (Internal Region)

The 山羊 多克隆 anti-CD74 antibody (ABIN2613403) specifically detects CD74 in WB, IHC 和 ELISA. The antibody is reactive with 人 samples.
产品编号 ABIN2613403
发货至: 中国
Contact our Customer Service for availability and price in your country. Contact Info

Our Local Distributor

中国
北京 101111
No. 88 KeChuang 6th Street
Beijing Economic Technological Development Area
Room 801-803
4A Biotech Co.,Ltd.
Tel +86 (0512) 65829739 传真 +86 (010) 6788 5057

Quick Overview for CD74 抗体 (Internal Region) (ABIN2613403)

抗原

See all CD74 抗体
CD74 (HLA-DR-gamma (CD74))

适用

  • 245
  • 84
  • 26
  • 14
  • 1

宿主

  • 146
  • 112
  • 11
  • 3
  • 1
山羊

克隆类型

  • 194
  • 73
  • 4
多克隆

标记

  • 108
  • 18
  • 18
  • 11
  • 9
  • 8
  • 6
  • 5
  • 5
  • 5
  • 5
  • 5
  • 5
  • 5
  • 4
  • 4
  • 3
  • 3
  • 3
  • 3
  • 3
  • 3
  • 3
  • 2
  • 2
  • 2
  • 2
  • 2
  • 2
  • 2
  • 2
  • 2
  • 2
  • 2
  • 1
  • 1
  • 1
  • 1
  • 1
  • 1
  • 1
This CD74 antibody is un-conjugated

应用范围

  • 152
  • 150
  • 87
  • 85
  • 42
  • 38
  • 31
  • 23
  • 16
  • 13
  • 13
  • 11
  • 11
  • 10
  • 5
  • 2
  • 2
  • 2
  • 1
  • 1
Western Blotting (WB), Immunohistochemistry (IHC), ELISA

质量等级

Verified
  • 抗原表位

    • 16
    • 15
    • 12
    • 10
    • 7
    • 6
    • 5
    • 4
    • 3
    • 2
    • 2
    • 2
    • 1
    • 1
    • 1
    • 1
    • 1
    • 1
    • 1
    • 1
    • 1
    • 1
    • 1
    Internal Region

    原理

    CD74

    序列

    HSLEQKPTDA PPK

    特异性

    This antibody is expected to recognize isoform a (NP_001020330.1) and isoform b (NP_004346.1).

    交叉反应

    纯化方法

    Purified from goat serum by ammonium sulphate precipitation followed by antigen affinity chromatography using the immunizing peptide.

    亚型

    IgG
  • 应用备注

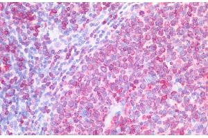
    Immunohistochemistry: Paraffin embedded Human Tonsil. Recommended concentration: 5 μg/mL.

    Western Blot: Approx 33 kDa band observed in Human Tonsil lysates (calculated MW of 33.5 kDa according to NP_001020330.1). Recommended concentration: 0.01-0.03 μg/mL. Primary incubation was 1 hour. This antibody has been successfully used in WB: Meza-Romero

    Peptide ELISA: antibody detection limit dilution 1:128000.

    限制

    仅限研究用
  • 状态

    Liquid

    浓度

    0.5 mg/mL

    缓冲液

    Supplied at 0.5 mg/mL in Tris saline, 0.02 % sodium azide, pH 7.3 with 0.5 % bovine serum albumin.

    储存液

    Sodium azide

    注意事项

    This product contains Sodium azide: a POISONOUS AND HAZARDOUS SUBSTANCE which should be handled by trained staff only.

    注意事项

    Minimize freezing and thawing.

    储存条件

    -20 °C

    储存方法

    Aliquot and store at -20°C, with minimal freeze/thawing. A working aliquot may be refrigerated at 4°C for a few weeks and still remain viable.
  • 抗原

    CD74 (HLA-DR-gamma (CD74))

    别名

    CD74

    背景

    CD74, DHLAG, HLADG, Ia-GAMMA, CD74 Molecule, major histocompatibility complex, class II invariant chain, CD74 antigen, CD74 antigen (invariant polypeptide of major histocompatibility complex, class II antigen-associated), HLA-DR-gamma, Ia-associated invar

    基因ID

    972

    NCBI登录号

    NP_001020330, NP_004346

    途径

    Positive Regulation of Immune Effector Process, Production of Molecular Mediator of Immune Response, Negative Regulation of intrinsic apoptotic Signaling, Cancer Immune Checkpoints
You are here: