电话:
+86 (0512) 65829739
传真:
+86 (010) 6788 5057
电子邮件:
orders@antibodies-online.cn

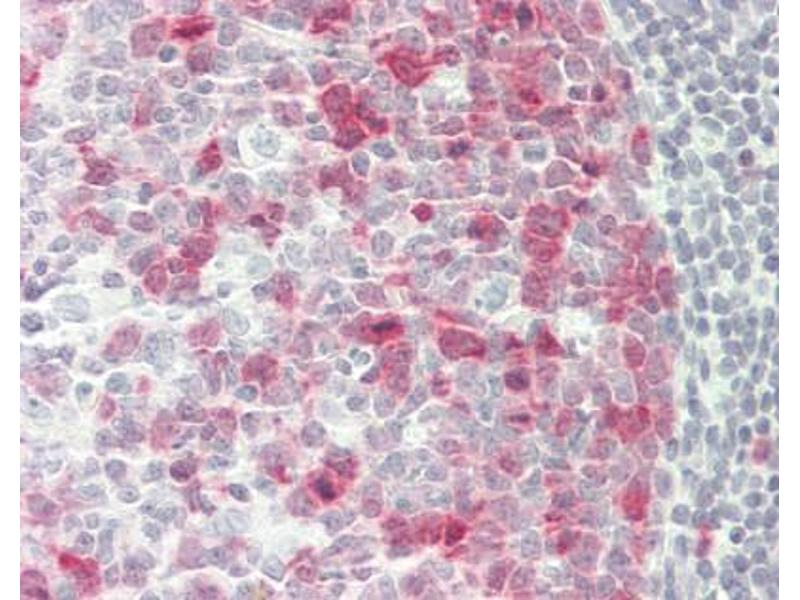
UBE2C 抗体 (AA 70-180)

The 小鼠 单克隆 anti-UBE2C antibody (Clone 9D3) (ABIN2576341) specifically detects UBE2C in WB, ELISA, IHC, IF 和 IHC (p). The antibody is reactive with 人 samples.
产品编号 ABIN2576341
发货至: 中国
Contact our Customer Service for availability and price in your country. Contact Info

Our Local Distributor

中国
北京 101111
No. 88 KeChuang 6th Street
Beijing Economic Technological Development Area
Room 801-803
4A Biotech Co.,Ltd.
Tel +86 (0512) 65829739 传真 +86 (010) 6788 5057

Quick Overview for UBE2C 抗体 (AA 70-180) (ABIN2576341)

抗原

See all UBE2C 抗体
UBE2C (Ubiquitin-Conjugating Enzyme E2C (UBE2C))

适用

  • 78
  • 15
  • 13
  • 4
  • 4
  • 4
  • 4
  • 4
  • 2
  • 2
  • 2
  • 1
  • 1

宿主

  • 62
  • 15
  • 1
小鼠

克隆类型

  • 59
  • 18
  • 1
单克隆

标记

  • 43
  • 5
  • 5
  • 4
  • 2
  • 2
  • 1
  • 1
  • 1
  • 1
  • 1
  • 1
  • 1
  • 1
  • 1
  • 1
  • 1
  • 1
  • 1
  • 1
  • 1
  • 1
  • 1
This UBE2C antibody is un-conjugated

应用范围

  • 62
  • 36
  • 18
  • 13
  • 13
  • 12
  • 6
  • 5
  • 5
  • 4
  • 4
  • 2
  • 2
  • 2
  • 1
  • 1
Western Blotting (WB), ELISA, Immunohistochemistry (IHC), Immunofluorescence (IF), Immunohistochemistry (Paraffin-embedded Sections) (IHC (p))

克隆位点

9D3
You are here: