电话:
+86 (0512) 65829739
传真:
+86 (010) 6788 5057
电子邮件:
orders@antibodies-online.cn

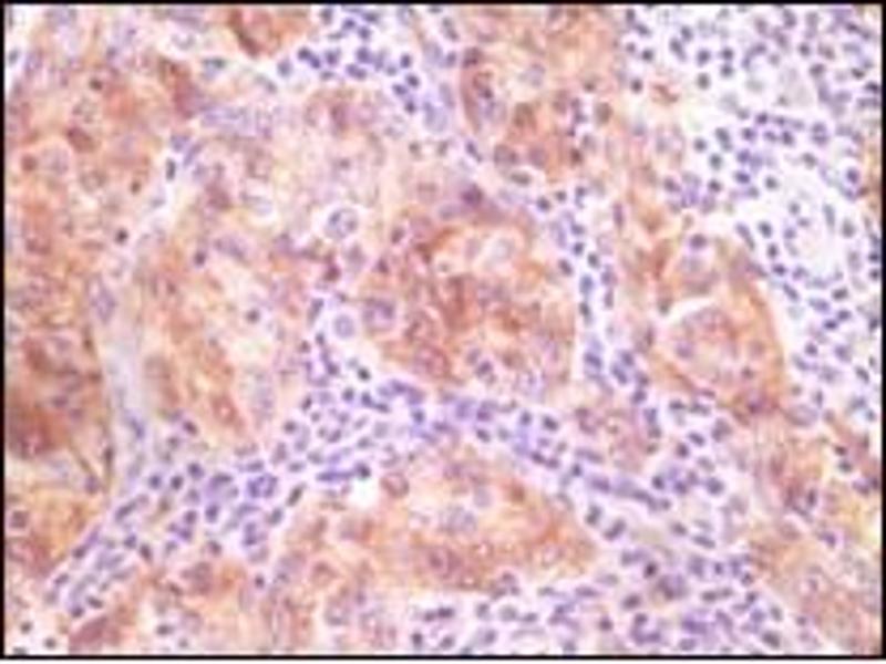
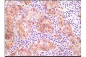
SNCG 抗体 (truncated)

The 小鼠 单克隆 anti-SNCG antibody (Clone 1H10D2) (ABIN2464104) specifically detects SNCG in WB, IHC 和 ELISA. The antibody is reactive with 人 samples.
产品编号 ABIN2464104
发货至: 中国
Contact our Customer Service for availability and price in your country. Contact Info

Our Local Distributor

中国
北京 101111
No. 88 KeChuang 6th Street
Beijing Economic Technological Development Area
Room 801-803
4A Biotech Co.,Ltd.
Tel +86 (0512) 65829739 传真 +86 (010) 6788 5057

Quick Overview for SNCG 抗体 (truncated) (ABIN2464104)

抗原

See all SNCG 抗体
SNCG (Synuclein, gamma (Breast Cancer-Specific Protein 1) (SNCG))

适用

  • 65
  • 46
  • 18
  • 1
  • 1
  • 1
  • 1
  • 1
  • 1
  • 1
  • 1
  • 1
  • 1
  • 1
  • 1
  • 1
  • 1

宿主

  • 78
  • 8
  • 1
  • 1
小鼠

克隆类型

  • 62
  • 27
单克隆

标记

  • 41
  • 8
  • 4
  • 3
  • 3
  • 3
  • 3
  • 3
  • 3
  • 2
  • 1
  • 1
  • 1
  • 1
  • 1
  • 1
  • 1
  • 1
  • 1
  • 1
  • 1
  • 1
  • 1
  • 1
  • 1
  • 1
This SNCG antibody is un-conjugated

应用范围

  • 62
  • 38
  • 26
  • 20
  • 19
  • 16
  • 14
  • 14
  • 9
  • 8
  • 4
  • 3
  • 2
  • 2
  • 1
  • 1
Western Blotting (WB), Immunohistochemistry (IHC), ELISA

克隆位点

1H10D2
  • 抗原表位

    • 15
    • 9
    • 7
    • 2
    • 2
    • 1
    • 1
    • 1
    • 1
    • 1
    • 1
    • 1
    • 1
    truncated

    纯化方法

    Antibody is purified by protein A affinity chromatography.

    免疫原

    Ni-NTA purified truncated recombinant SNCG expressed in E. Coli strain BL21 (DE3).

    亚型

    IgG1
  • 应用备注

    Western Blot:1:500 - 1:2,000
    IHC(P):1:500 - 1:2,000
    IHC(F):1:500 - 1:2,000
    ELISA:Propose dilution 1:10,000.
    Determining optimal working dilutions by titration test.

    限制

    仅限研究用
  • 缓冲液

    Purified antibody in PBS containing 0.03 % sodium azide

    储存液

    Sodium azide

    注意事项

    This product contains Sodium azide: a POISONOUS AND HAZARDOUS SUBSTANCE which should be handled by trained staff only.

    注意事项

    As with all antibodies care should be taken to avoid repeated freeze thaw cycles. Antibodies should not be exposed to prolonged high temperatures.

    储存条件

    -20 °C

    储存方法

    SNCG (breast cancer-specific protein 1) monoclonal antibody can be stored at -20 °C, stable for one year.
  • 抗原

    SNCG (Synuclein, gamma (Breast Cancer-Specific Protein 1) (SNCG))

    别名

    SNCG

    背景

    SNCG(also designated gamma-synuclein or breast cancer-specific protein 1),with 127-amino acid protein(about 14 kDa), belongs to the synuclein family, which also includes alpha- and beta- synuclein.Three synucleins are located in the neuronal cytosol and enriched in presynaptic terminals,while SNCG is also expressed in many other non-neuronal tissues. SNCG is abnormally expressed in a high percentage of tumor tissues of diversified cancer types, including liver, esophagus, colon, gastric, lung, prostate, cervical, and breast cancer, but rarely expressed in tumor-matched nonneoplastic adjacent tissues. High levels of SNCG have been identified in advanced breast carcinomas suggesting a correlation between overexpression of SNCG and breast tumor development.

    基因ID

    6623

    UniProt

    O76070
You are here: