SNCG 抗体
Our Local Distributor
北京 101111
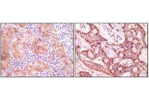
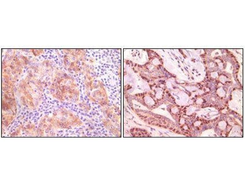
Quick Overview for SNCG 抗体 (ABIN969490)
抗原
See all SNCG 抗体适用
宿主
克隆类型
标记
应用范围
克隆位点
-
-
原理
- SNCG (breast cancer-specific protein 1) Antibody
-
纯化方法
- Ascitic fluid
-
免疫原
- Purified recombinant fragment of SNCG expressed in E. Coli.
-
亚型
- IgG1
-
-
-
-
应用备注
- ELISA: 1/10000
-
限制
- 仅限研究用
-
-
-
状态
- Liquid
-
缓冲液
- Ascitic fluid containing 0.03 % sodium azide.
-
储存液
- Sodium azide
-
注意事项
- This product contains Sodium azide: a POISONOUS AND HAZARDOUS SUBSTANCE which should be handled by trained staff only.
-
储存条件
- 4 °C,-20 °C
-
储存方法
- Store at 4°C short term. Aliquot and store at -20°C long term. Avoid freeze/thaw cycles.
-
-
-
: "gamma-synuclein has a dynamic intracellular localization." in: Cell motility and the cytoskeleton, Vol. 63, Issue 8, pp. 447-58, (2006) (PubMed).
: "Polylysine cross-links axoplasmic neurofilaments into tight bundles." in: Cell motility and the cytoskeleton, Vol. 31, Issue 1, pp. 9-21, (1995) (PubMed).
-
-
- SNCG (Synuclein, gamma (Breast Cancer-Specific Protein 1) (SNCG))
-
别名
- SNCG (breast cancer-specific protein 1)
-
背景
- SNCG(also designated gamma-synuclein or breast cancer-specific protein 1),with 127-amino acid protein(about 14 kDa), belongs to the synuclein family, which also includes alpha- and beta- synuclein.Three synucleins are located in the neuronal cytosol and enriched in presynaptic terminals,while SNCG is also expressed in many other non-neuronal tissues. SNCG is abnormally expressed in a high percentage of tumor tissues of diversified cancer types, including liver, esophagus, colon, gastric, lung, prostate, cervical, and breast cancer, but rarely expressed in tumor-matched nonneoplastic adjacent tissues. High levels of SNCG have been identified in advanced breast carcinomas suggesting a correlation between overexpression of SNCG and breast tumor development.
-
基因ID
- 6623
-
UniProt
- O76070
抗原
-