GSK3 alpha 抗体 (truncated)
Our Local Distributor
北京 101111
Quick Overview for GSK3 alpha 抗体 (truncated) (ABIN2464059)
抗原
See all GSK3 alpha (GSK3a) 抗体适用
宿主
克隆类型
标记
应用范围
克隆位点
-
-
抗原表位
- truncated
-
免疫原
- Ni-NTA purified truncated recombinant GSK3 alpha expressed in E. Coli strain BL21 (DE3).
-
-
-
-
应用备注
-
Western Blot:1:500 - 1:2,000
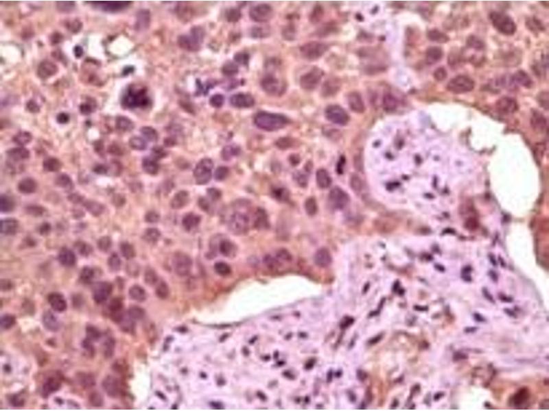
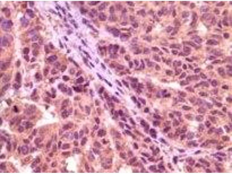
IHC(P):1:500 - 1:2,000
IHC(F):1:500 - 1:2,000
ELISA:Propose dilution 1:10,000.
Determining optimal working dilutions by titration test. -
限制
- 仅限研究用
-
-
-
状态
- Liquid
-
注意事项
- As with all antibodies care should be taken to avoid repeated freeze thaw cycles. Antibodies should not be exposed to prolonged high temperatures.
-
储存条件
- -20 °C
-
储存方法
- GSK3 alpha monoclonal antibody can be stored at -20 °C, stable for one year.
-
-
- GSK3 alpha (GSK3a) (Glycogen Synthase Kinase 3 alpha (GSK3a))
-
别名
- GSK3alpha
-
背景
- GSK3 alpha (Glycogen synthase kinase 3 alpha), with 483-amino acid protein (about 53 kDa), belongs to the Ser/Thr family of protein kinases, Cdc2/cdkx subfamily,GSK3 subsubfamily, which also includes GSK3 beta.GSK3 is a multifunctional serine/threonine kinase that is usually inactivated by serine phosphorylation in response to extracellular cues. GSK3 is a key regulator of numerous signalling pathways, including cellular responses to Wnt, receptor tyrosine kinases and G-protein-coupled receptors and is involved in a wide range of cellular processes, ranging from glycogen metabolism to cell cycle regulation and proliferation.GSK3 alpha is implicated in the control of several regulatory proteins including glycogen synthase and transcription factors.
-
基因ID
- 2931
-
UniProt
- P49840
-
途径
- PI3K-Akt Signaling, WNT signaling, Fc-epsilon Receptor Signaling Pathway, EGFR Signaling Pathway, Neurotrophin Signaling Pathway, cAMP Metabolic Process, Cellular Glucan Metabolic Process, Regulation of Muscle Cell Differentiation, Regulation of G-Protein Coupled Receptor Protein Signaling, ER-Nucleus Signaling, Regulation of Carbohydrate Metabolic Process, BCR Signaling, Warburg Effect
抗原
-