电话:
+86 (0512) 65829739
传真:
+86 (010) 6788 5057
电子邮件:
orders@antibodies-online.cn

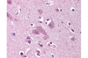
MARK1 抗体 (N-Term)

This 兔 多克隆 antibody specifically detects MARK1 in IHC 和 IHC (p). It exhibits reactivity toward 人, 猴, 兔 和 马.
产品编号 ABIN239803
发货至: 中国
Contact our Customer Service for availability and price in your country. Contact Info

Our Local Distributor

中国
北京 101111
No. 88 KeChuang 6th Street
Beijing Economic Technological Development Area
Room 801-803
4A Biotech Co.,Ltd.
Tel +86 (0512) 65829739 传真 +86 (010) 6788 5057

Quick Overview for MARK1 抗体 (N-Term) (ABIN239803)

抗原

See all MARK1 抗体
MARK1 (MAP/microtubule Affinity-Regulating Kinase 1 (MARK1))

适用

  • 52
  • 35
  • 11
  • 2
  • 2
  • 2
  • 1
  • 1
  • 1
人, 猴, 兔, 马

宿主

  • 52
  • 1

克隆类型

  • 53
多克隆

标记

  • 26
  • 5
  • 4
  • 4
  • 4
  • 4
  • 1
  • 1
  • 1
  • 1
  • 1
  • 1
This MARK1 antibody is un-conjugated

应用范围

  • 40
  • 36
  • 25
  • 7
  • 5
  • 3
  • 1
  • 1
Immunohistochemistry (IHC), Immunohistochemistry (Paraffin-embedded Sections) (IHC (p))
  • 抗原表位

    • 8
    • 8
    • 8
    • 7
    • 4
    • 3
    • 3
    • 2
    • 2
    • 1
    • 1
    N-Term

    特异性

    Human MARK1. BLAST analysis of the peptide immunogen showed no homology with other human proteins.

    预测反应

    Percent identity with other species by BLAST analysis: Human, Gibbon, Monkey, Marmoset, Horse, Rabbit (100%) Dog, Bovine, Panda (95%) Rat, Hamster, Elephant, Platypus (89%) Mouse, Opossum, Turkey, Chicken, Lizard (84%).

    纯化方法

    Immunoaffinity purified

    免疫原

    Synthetic 19 amino acid peptide from N-terminus of human MARK1. Percent identity with other species by BLAST analysis: Human, Gibbon, Monkey, Marmoset, Horse, Rabbit (100%), Dog, Bovine, Panda (95%), Rat, Hamster, Elephant, Platypus (89%), Mouse, Opossum, Turkey, Chicken, Lizard (84%).

    Type of Immunogen: Synthetic peptide
  • 应用备注

    Approved: IHC, IHC-P (2.5 μg/mL)

    Usage: Immunohistochemistry: This antibody was validated for use in immunohistochemistry on a panel of 21 formalin-fixed, paraffin-embedded (FFPE) human tissues after heat induced antigen retrieval in  pH 6.0 citrate buffer. After incubation with the primary antibody, slides were incubated with biotinylated secondary antibody, followed by alkaline phosphatase-streptavidin and chromogen. The stained slides were evaluated by a pathologist to confirm staining specificity. The optimal working concentration for this antibody was determined to be 2.5 μg/mL.

    说明

    Target Species of Antibody: Human

    限制

    仅限研究用
  • 状态

    Liquid

    浓度

    Lot specific

    缓冲液

    PBS, less than 0.1 % sodium azide.

    储存液

    Sodium azide

    注意事项

    This product contains Sodium azide: a POISONOUS AND HAZARDOUS SUBSTANCE which should be handled by trained staff only.

    储存条件

    4 °C,-20 °C

    储存方法

    Aliquot and store undiluted at -20°C or below for up to 1 year. Can be stored undiluted at 4°C for up to 1 month. Avoid freeze-thaw cycles.

    有效期

    12 months
  • 抗原

    MARK1 (MAP/microtubule Affinity-Regulating Kinase 1 (MARK1))

    别名

    MARK1 / MARK

    背景

    Name/Gene ID: MARK1
    Subfamily: MARK
    Family: Protein Kinase

    Synonyms: MARK1, KIAA1477, Par1c, PAR1 homolog c, MARK, Par-1c

    基因ID

    4139

    途径

    SARS-CoV-2 Protein Interactome, The Global Phosphorylation Landscape of SARS-CoV-2 Infection
You are here: