电话:
+86 (0512) 65829739
传真:
+86 (010) 6788 5057
电子邮件:
orders@antibodies-online.cn

FZD7 抗体 (C-Term)

The 山羊 多克隆 anti-FZD7 antibody (ABIN238677) specifically detects FZD7 in WB, ELISA 和 IHC. The antibody is reactive with 人 samples.
产品编号 ABIN238677
发货至: 中国
Contact our Customer Service for availability and price in your country. Contact Info

Our Local Distributor

中国
北京 101111
No. 88 KeChuang 6th Street
Beijing Economic Technological Development Area
Room 801-803
4A Biotech Co.,Ltd.
Tel +86 (0512) 65829739 传真 +86 (010) 6788 5057

Quick Overview for FZD7 抗体 (C-Term) (ABIN238677)

抗原

See all FZD7 抗体
FZD7 (Frizzled Family Receptor 7 (FZD7))

适用

  • 56
  • 38
  • 23
  • 5
  • 4
  • 4
  • 3
  • 3
  • 3
  • 2
  • 1
  • 1
  • 1
  • 1

宿主

  • 49
  • 6
  • 4
  • 2
山羊

克隆类型

  • 51
  • 9
多克隆

标记

  • 36
  • 5
  • 3
  • 3
  • 2
  • 1
  • 1
  • 1
  • 1
  • 1
  • 1
  • 1
  • 1
  • 1
  • 1
  • 1
  • 1
This FZD7 antibody is un-conjugated

应用范围

  • 51
  • 31
  • 16
  • 13
  • 13
  • 9
  • 8
  • 7
  • 3
  • 2
  • 1
  • 1
Western Blotting (WB), ELISA, Immunohistochemistry (IHC)

质量等级

Verified
  • 抗原表位

    • 16
    • 9
    • 5
    • 5
    • 4
    • 3
    • 2
    • 2
    • 2
    • 2
    • 1
    • 1
    • 1
    • 1
    • 1
    • 1
    • 1
    • 1
    • 1
    • 1
    C-Term

    原理

    Frizzled 7

    序列

    RFYHRLSHSS KGET

    交叉反应

    人, 小鼠

    纯化方法

    Purified from goat serum by ammonium sulphate precipitation followed by antigen affinity chromatography using the immunizing peptide.

    免疫原

    Peptide with sequence C-RFYHRLSHSSKGET, from the C Terminus of the protein sequence according to NP_003498.1.

    亚型

    IgG
  • 应用备注

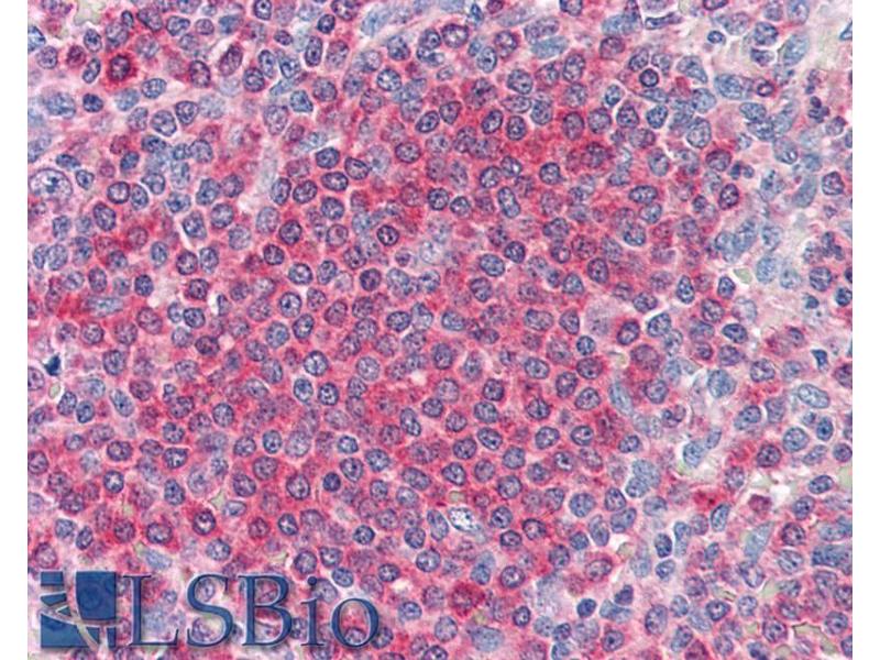
    Immunohistochemistry: Paraffin embedded Human Spleen. Recommended concentration: 5 μg/mL.

    Western Blot: Approx 60 kDa band observed in lysates of cell lines HEK293 and HepG2 (calculated MW of 63.6 kDa according to NP_003498.1). Recommended concentration: 0.3-1 μg/mL.

    Peptide ELISA: antibody detection limit dilution 1:64000.

    限制

    仅限研究用
  • 状态

    Liquid

    浓度

    0.5 mg/mL

    缓冲液

    Supplied at 0.5 mg/mL in Tris saline, 0.02 % sodium azide, pH 7.3 with 0.5 % bovine serum albumin.

    储存液

    Sodium azide

    注意事项

    This product contains Sodium azide: a POISONOUS AND HAZARDOUS SUBSTANCE which should be handled by trained staff only.

    注意事项

    Minimize freezing and thawing.

    储存条件

    -20 °C

    储存方法

    Aliquot and store at -20°C, with minimal freeze/thawing. A working aliquot may be refrigerated at 4°C for a few weeks and still remain viable.
  • 抗原

    FZD7 (Frizzled Family Receptor 7 (FZD7))

    别名

    FZD7

    背景

    Rizzled 7, frizzled homolog 7 (Drosophila), FZD7, FzE3, Frizzled, drosophila, homolog of, 7

    基因ID

    8324, 14369

    NCBI登录号

    NP_003498

    途径

    WNT signaling, Stem Cell Maintenance
You are here: