TAB3 抗体 (Internal Region)
Our Local Distributor
北京 101111
Quick Overview for TAB3 抗体 (Internal Region) (ABIN238581)
抗原
See all TAB3 抗体适用
宿主
克隆类型
标记
应用范围
质量等级
-
-
抗原表位
- Internal Region
-
原理
- MAP3K7IP3 (aa 59 to 69)
-
序列
- HSPDDNRMNR N
-
交叉反应
- 人, 小鼠
-
纯化方法
- Purified from goat serum by ammonium sulphate precipitation followed by antigen affinity chromatography using the immunizing peptide.
-
免疫原
- Peptide with sequence C-HSPDDNRMNRN, from the internal region of the protein sequence according to NP_690000.2.
-
亚型
- IgG
-
-
-
-
应用备注
-
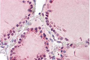
Immunohistochemistry: Paraffin embedded Human Thyroid. Recommended concentration: 3.75 μg/mL.
Western Blot: Preliminary experiments gave an approx 100 kDa band in Human Kidney lysates after 0.5 μg/mL antibody staining. Please note that currently we cannot find an explanation in the literature for the band we observe given the calculated size of 78.
Peptide ELISA: antibody detection limit dilution 1:32000.
-
限制
- 仅限研究用
-
-
-
状态
- Liquid
-
浓度
- 0.5 mg/mL
-
缓冲液
- Supplied at 0.5 mg/mL in Tris saline, 0.02 % sodium azide, pH 7.3 with 0.5 % bovine serum albumin.
-
储存液
- Sodium azide
-
注意事项
- This product contains Sodium azide: a POISONOUS AND HAZARDOUS SUBSTANCE which should be handled by trained staff only.
-
注意事项
- Minimize freezing and thawing.
-
储存条件
- -20 °C
-
储存方法
- Aliquot and store at -20°C, with minimal freeze/thawing. A working aliquot may be refrigerated at 4°C for a few weeks and still remain viable.
-
-
- TAB3 (TGF-beta Activated Kinase 1/MAP3K7 Binding Protein 3 (TAB3))
-
别名
- MAP3K7IP3
-
背景
- MAP3K7IP3, mitogen-activated protein kinase kinase kinase 7 interacting protein 3, MGC45404, NAP1, TAB3, Mitogen-activated protein kinase kinase kinase 7-interacting protein 3, NF-kappa-B-activating protein 1, NFkB activating protein 1, TAK1 binding prote
-
基因ID
- 257397, 66724
-
NCBI登录号
- NP_690000
-
途径
- TLR signaling, Fc-epsilon Receptor Signaling Pathway, Activation of Innate immune Response, Toll-Like Receptors Cascades
抗原
-