电话:
+86 (0512) 65829739
传真:
+86 (010) 6788 5057
电子邮件:
orders@antibodies-online.cn

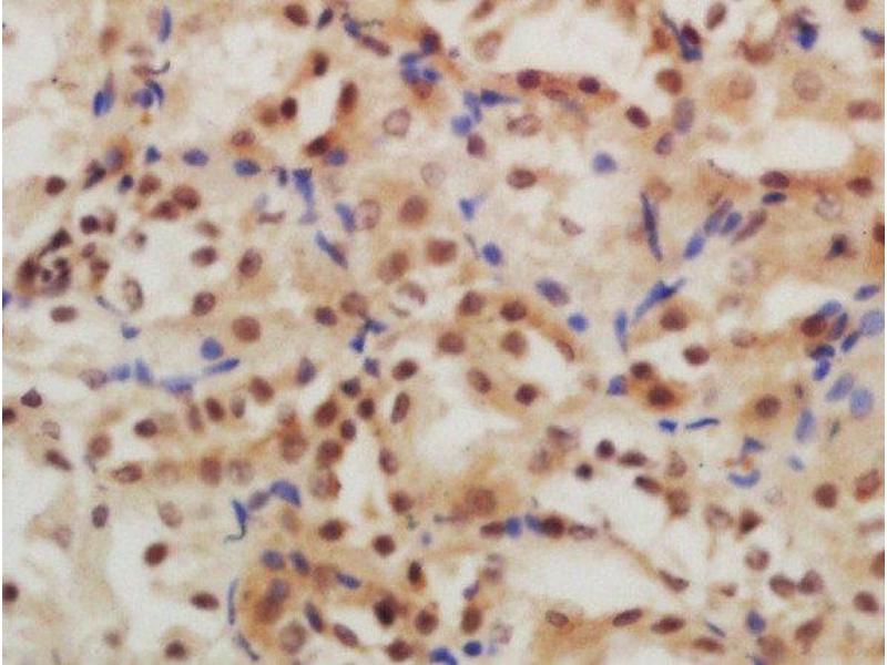
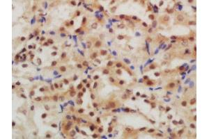
GLIS3 抗体 (AA 101-200)

The 兔 多克隆 anti-GLIS3 antibody is suitable to detect GLIS3 in samples from 人, 大鼠 和 绵羊. It has been validated for WB, ELISA, FACS 和 IHC (p).
产品编号 ABIN2174444
发货至: 中国
Contact our Customer Service for availability and price in your country. Contact Info

Our Local Distributor

中国
北京 101111
No. 88 KeChuang 6th Street
Beijing Economic Technological Development Area
Room 801-803
4A Biotech Co.,Ltd.
Tel +86 (0512) 65829739 传真 +86 (010) 6788 5057

Quick Overview for GLIS3 抗体 (AA 101-200) (ABIN2174444)

抗原

See all GLIS3 抗体
GLIS3 (GLIS Family Zinc Finger 3 (GLIS3))

适用

  • 18
  • 6
  • 5
  • 5
  • 3
  • 3
  • 3
  • 2
  • 1
人, 大鼠, 绵羊

宿主

  • 17
  • 1

克隆类型

  • 17
  • 1
多克隆

标记

  • 15
  • 1
  • 1
  • 1
This GLIS3 antibody is un-conjugated

应用范围

  • 13
  • 8
  • 3
  • 2
  • 1
  • 1
  • 1
  • 1
Western Blotting (WB), ELISA, Flow Cytometry (FACS), Immunohistochemistry (Paraffin-embedded Sections) (IHC (p))
  • 抗原表位

    • 4
    • 4
    • 4
    • 1
    • 1
    • 1
    AA 101-200

    交叉反应

    人, 大鼠, 绵羊

    纯化方法

    Purified by Protein A.

    免疫原

    KLH conjugated synthetic peptide derived from human GLIS3

    亚型

    IgG
  • 应用备注

    ELISA 1:500-1000
    FCM 1:20-100
    IHC-P 1:200-400
    IHC-F 1:100-500
    IF(IHC-P) 1:50-200
    IF(IHC-F) 1:50-200
    IF(ICC) 1:50-200
    ICC 1:100-500

    限制

    仅限研究用
  • 状态

    Liquid

    浓度

    1 μg/μL

    缓冲液

    0.01M TBS( pH 7.4) with 1 % BSA, 0.02 % Proclin300 and 50 % Glycerol.

    储存液

    ProClin

    注意事项

    This product contains ProClin: a POISONOUS AND HAZARDOUS SUBSTANCE, which should be handled by trained staff only.

    储存条件

    4 °C,-20 °C

    储存方法

    Shipped at 4°C. Store at -20°C for one year. Avoid repeated freeze/thaw cycles.

    有效期

    12 months
  • 抗原

    GLIS3 (GLIS Family Zinc Finger 3 (GLIS3))

    别名

    GLIS3

    背景

    Synonyms: ZNF515, Zinc finger protein GLIS3, GLI-similar 3, Zinc finger protein 515, GLIS3

    Background: Acts as both a repressor and activator of transcription. Binds to the consensus sequence 5'-GACCACCCAC-3' (By similarity).

    基因ID

    169792

    UniProt

    Q8NEA6
You are here: