FANCF 抗体
Our Local Distributor
北京 101111
Quick Overview for FANCF 抗体 (ABIN214309)
抗原
See all FANCF 抗体适用
宿主
克隆类型
标记
应用范围
-
-
特异性
- An internal amino acid sequence of human FANCF.
-
纯化方法
- Immunoaffinity purified
-
免疫原
-
Synthetic peptide from human FANCF.
Type of Immunogen: Synthetic peptide
-
-
-
-
应用备注
-
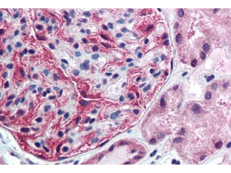
Approved: ELISA (1:15000 - 1:60000), IF, IHC, IHC-P (2.5 μg/mL), WB
Usage: Immunohistochemistry: This antibody was validated for use in immunohistochemistry on a panel of 21 formalin-fixed, paraffin-embedded (FFPE) human tissues after heat induced antigen retrieval in pH 6.0 citrate buffer. After incubation with the primary antibody, slides were incubated with biotinylated secondary antibody, followed by alkaline phosphatase-streptavidin and chromogen. The stained slides were evaluated by a pathologist to confirm staining specificity. The optimal working concentration for this antibody was determined to be 2.5 μg/mL. -
说明
-
Target Species of Antibody: Human
-
限制
- 仅限研究用
-
-
-
状态
- Liquid
-
浓度
- Lot specific
-
缓冲液
- 0.02 M potassium phosphate, 0.15 M sodium chloride, pH 7.2, 0.01 % sodium azide.
-
储存液
- Sodium azide
-
注意事项
- This product contains Sodium azide: a POISONOUS AND HAZARDOUS SUBSTANCE which should be handled by trained staff only.
-
注意事项
- Avoid repeated freezing and thawing.
-
储存条件
- 4 °C,-20 °C
-
储存方法
- 4°C or -20°C, Avoid freeze-thaw cycles.
-
-
- FANCF (Fanconi Anemia, Complementation Group F (FANCF))
-
别名
- FANCF
-
背景
-
Name/Gene ID: FANCF
Synonyms: FANCF, Fanconi anemia group F protein, Protein FACF, FAF -
基因ID
- 2188
-
UniProt
- Q9NPI8
-
途径
- DNA Damage Repair
抗原
-