ERCC3 抗体 (C-Term)
Our Local Distributor
北京 101111
Quick Overview for ERCC3 抗体 (C-Term) (ABIN214242)
抗原
See all ERCC3 抗体适用
宿主
克隆类型
标记
应用范围
-
-
抗原表位
- C-Term
-
特异性
- Peptide corresponding to the carboxy-terminus of human XPB.
-
免疫原
-
Synthetic peptide from human ERCC3 / XPB.
Type of Immunogen: Synthetic peptide -
亚型
- IgG
-
-
-
-
应用备注
-
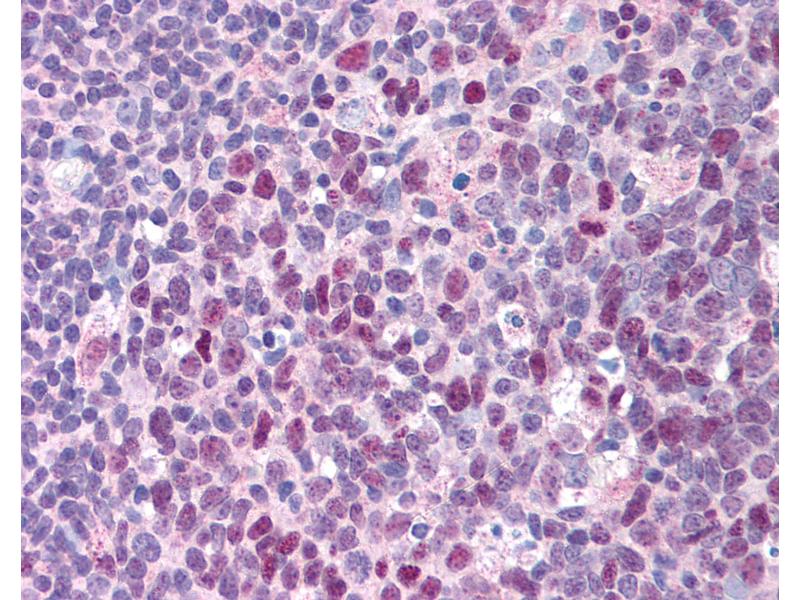
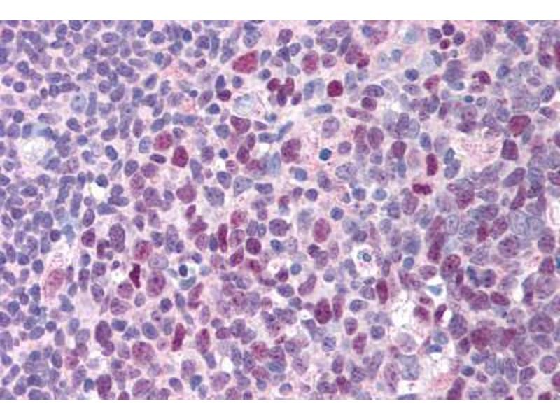
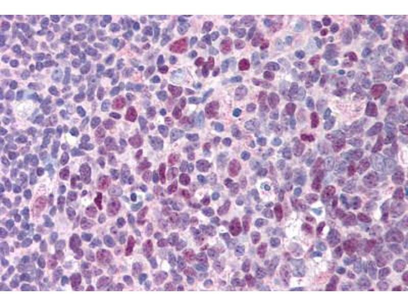
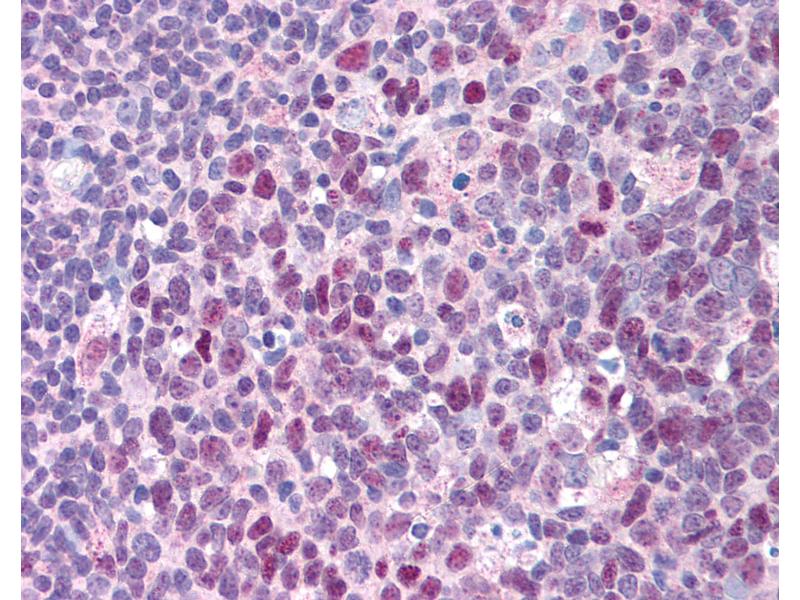
Approved: IHC, IHC-P (10 μg/mL), WB
Usage: Immunohistochemistry: This antibody was validated for use in immunohistochemistry on a panel of 21 formalin-fixed, paraffin-embedded (FFPE) human tissues after heat induced antigen retrieval in pH 6.0 citrate buffer. After incubation with the primary antibody, slides were incubated with biotinylated secondary antibody, followed by alkaline phosphatase-streptavidin and chromogen. The stained slides were evaluated by a pathologist to confirm staining specificity. The optimal working concentration for this antibody was determined to be 10 μg/mL. -
说明
-
Target Species of Antibody: Human
-
限制
- 仅限研究用
-
-
-
状态
- Liquid
-
浓度
- Lot specific
-
缓冲液
- PBS.
-
储存条件
- -80 °C
-
储存方法
-
Short term: -70°C
Long term: -70°C.
-
-
- ERCC3 (DNA Repair Protein Complementing XP-B Cells (ERCC3))
-
别名
- ERCC3 / XPB
-
背景
-
Name/Gene ID: ERCC3
Synonyms: ERCC3, BTF2, GTF2H, RAD25, TFIIH p89, TFIIH, XPB, BTF2 p89, XPBC, TFIIH 89 kDa subunit -
基因ID
- 2071
-
UniProt
- P19447
-
途径
- DNA Damage Repair
抗原
-