ERBB4 抗体 (C-Term)
Our Local Distributor
北京 101111
Quick Overview for ERBB4 抗体 (C-Term) (ABIN213439)
抗原
See all ERBB4 抗体适用
宿主
克隆类型
标记
应用范围
-
-
抗原表位
- C-Term
-
特异性
- Human ERBB4. BLAST analysis of the peptide immunogen showed no homology with other human proteins, except ERBB3 (60 % ).
-
预测反应
- Percent identity with other species by BLAST analysis: Human, Gorilla, Gibbon, Monkey, Marmoset (100%) Mouse, Rat, Dog, Bovine, Hamster, Panda, Horse, Pig, Platypus (93%) Bat, Opossum (87%) Turkey, Chicken (80%).
-
纯化方法
- Immunoaffinity purified
-
免疫原
-
Synthetic 15 amino acid peptide from C-terminus of human ERBB4. Percent identity with other species by BLAST analysis: Human, Gorilla, Gibbon, Monkey, Marmoset (100%), Mouse, Rat, Dog, Bovine, Hamster, Panda, Horse, Pig, Platypus (93%), Bat, Opossum (87%), Turkey, Chicken (80%).
Type of Immunogen: Synthetic peptide
-
-
-
-
应用备注
-
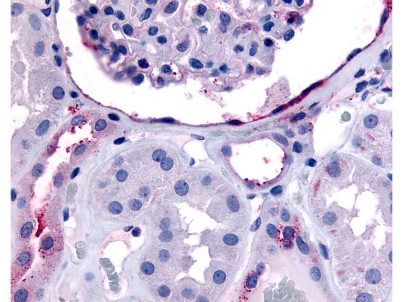
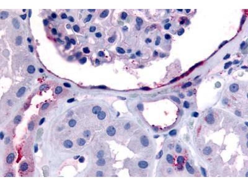
Approved: IHC, IHC-P (30 μg/mL)
Usage: Immunohistochemistry: This antibody was validated for use in immunohistochemistry on a panel of 21 formalin-fixed, paraffin-embedded (FFPE) human tissues after heat induced antigen retrieval in pH 6.0 citrate buffer. After incubation with the primary antibody, slides were incubated with biotinylated secondary antibody, followed by alkaline phosphatase-streptavidin and chromogen. The stained slides were evaluated by a pathologist to confirm staining specificity. The optimal working concentration for this antibody was determined to be 30-60 μg/mL. -
说明
-
Target Species of Antibody: Human
-
限制
- 仅限研究用
-
-
-
状态
- Liquid
-
浓度
- Lot specific
-
缓冲液
- PBS, less than 0.1 % sodium azide.
-
储存液
- Sodium azide
-
注意事项
- This product contains Sodium azide: a POISONOUS AND HAZARDOUS SUBSTANCE which should be handled by trained staff only.
-
储存条件
- 4 °C,-20 °C
-
储存方法
- Aliquot and store undiluted at -20°C or below for up to 1 year. Can be stored undiluted at 4°C for up to 1 month. Avoid freeze-thaw cycles.
-
有效期
- 12 months
-
-
- ERBB4 (V-Erb-A erythroblastic Leukemia Viral Oncogene Homolog 4 (Avian) (ERBB4))
-
别名
- ERBB4 / HER4
-
背景
-
Name/Gene ID: ERBB4
Subfamily: EGF Receptor
Family: Protein Kinase
Synonyms: ERBB4, ERBB 4, HER4, p180 erb4, p180erbB4 -
基因ID
- 2066
-
途径
- RTK signaling, Fc-epsilon Receptor Signaling Pathway, EGFR Signaling Pathway, Neurotrophin Signaling Pathway
抗原
-