电话:
+86 (0512) 65829739
传真:
+86 (010) 6788 5057
电子邮件:
orders@antibodies-online.cn

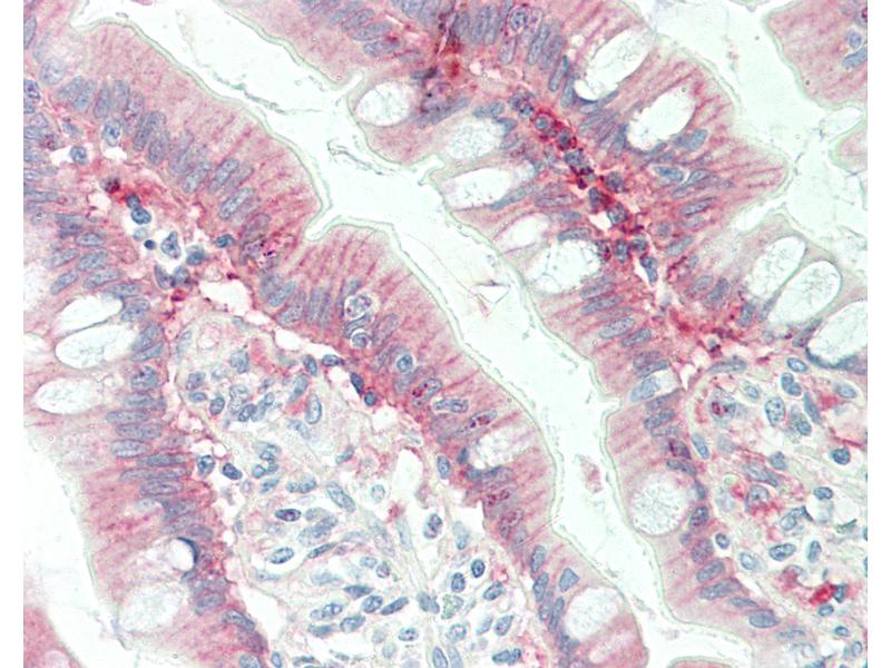
Galectin 3 抗体 (AA 1-58)

The 小鼠 单克隆 anti-Galectin 3 antibody is suitable to detect Galectin 3 in samples from 人, 小鼠 和 大鼠. It has been validated for WB, IHC, ELISA, IHC (p) 和 FACS.
产品编号 ABIN208502
发货至: 中国
Contact our Customer Service for availability and price in your country. Contact Info

Our Local Distributor

中国
北京 101111
No. 88 KeChuang 6th Street
Beijing Economic Technological Development Area
Room 801-803
4A Biotech Co.,Ltd.
Tel +86 (0512) 65829739 传真 +86 (010) 6788 5057

Quick Overview for Galectin 3 抗体 (AA 1-58) (ABIN208502)

抗原

See all Galectin 3 (LGALS3) 抗体
Galectin 3 (LGALS3)

适用

  • 218
  • 120
  • 75
  • 6
  • 2
  • 2
  • 2
  • 1
  • 1
  • 1
  • 1
  • 1
人, 小鼠, 大鼠

宿主

  • 198
  • 54
  • 14
  • 3
  • 3
  • 1
小鼠

克隆类型

  • 157
  • 116
单克隆

标记

  • 125
  • 28
  • 18
  • 10
  • 8
  • 8
  • 6
  • 6
  • 6
  • 6
  • 6
  • 6
  • 3
  • 3
  • 3
  • 3
  • 3
  • 3
  • 3
  • 3
  • 3
  • 3
  • 3
  • 3
  • 3
  • 1
This Galectin 3 antibody is un-conjugated

应用范围

  • 219
  • 101
  • 80
  • 79
  • 53
  • 51
  • 33
  • 28
  • 28
  • 27
  • 14
  • 7
  • 5
  • 5
  • 5
  • 3
  • 2
  • 2
  • 2
  • 1
  • 1
  • 1
  • 1
  • 1
Western Blotting (WB), Immunohistochemistry (IHC), ELISA, Immunohistochemistry (Paraffin-embedded Sections) (IHC (p)), Flow Cytometry (FACS)

克隆位点

A3A12
  • 抗原表位

    • 23
    • 16
    • 16
    • 15
    • 11
    • 9
    • 7
    • 7
    • 6
    • 6
    • 5
    • 5
    • 2
    • 2
    • 2
    • 2
    • 2
    • 2
    • 2
    • 2
    • 1
    • 1
    • 1
    • 1
    • 1
    • 1
    • 1
    • 1
    • 1
    • 1
    • 1
    AA 1-58

    特异性

    Recognizes human Galectin 3 at ~30kD

    纯化方法

    Purified

    免疫原

    Full length recombinant human Galectin 3. Epitope: aa 1-58 of Galectin 3.

    Type of Immunogen: Recombinant protein

    亚型

    IgG1
  • 应用备注

    Approved: ELISA, Flo, IHC, IHC-P (6 - 10 μg/mL), WB (1 μg/mL)

    Usage: Suitable for use in Immunohistochemistry, Western Blot, ELISA, and Immunofluorescence. Immunohistochemistry: (Paraffin): 6 μg/mL. Western Blot: 1 μg/mL. Detects a ~30kD protein representing Galectin 3 from Jurkat cells transfected with human Galectin 3.

    说明

    Target Species of Antibody: Human

    限制

    仅限研究用
  • 状态

    Liquid

    浓度

    Lot specific

    缓冲液

    PBS, 0.05 % sodium azide.

    储存液

    Sodium azide

    注意事项

    This product contains Sodium azide: a POISONOUS AND HAZARDOUS SUBSTANCE which should be handled by trained staff only.

    储存条件

    4 °C,-20 °C

    储存方法

    Short term: 4°C. Long term: Store at -20°C. Avoid freeze-thaw cycles.
  • 抗原

    Galectin 3 (LGALS3)

    别名

    MAC-2 / Galectin 3

    物质类

    Chemical

    背景

    Name/Gene ID: LGALS3

    Synonyms: LGALS3, 35 kd lectin, 35 kDa lectin, CBP35, GAL3, Galactoside-binding protein, GALIG, IgE-binding protein, Laminin-binding protein, Gal-3, GALBP, MAC-2, Mac-2 antigen, L31, MAC2, CBP 35, Galactose-specific lectin 3, Galectin-3, L-31, Lectin L-29

    基因ID

    3958

    UniProt

    P17931

    途径

    RTK signaling
You are here: