电话:
+86 (0512) 65829739
传真:
+86 (010) 6788 5057
电子邮件:
orders@antibodies-online.cn

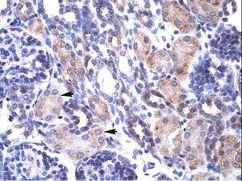
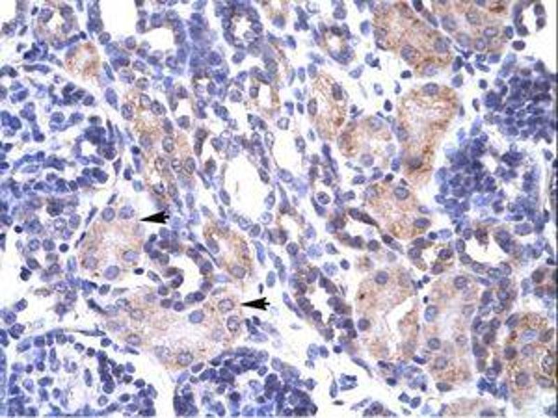
TRAP1 抗体 (AA 41-90)

The 兔 多克隆 anti-TRAP1 antibody (ABIN202875) specifically detects TRAP1 in WB, IHC 和 IHC (p). The antibody is reactive with 人, 大鼠, 小鼠 和 犬 samples.
产品编号 ABIN202875
发货至: 中国
Contact our Customer Service for availability and price in your country. Contact Info

Our Local Distributor

中国
北京 101111
No. 88 KeChuang 6th Street
Beijing Economic Technological Development Area
Room 801-803
4A Biotech Co.,Ltd.
Tel +86 (0512) 65829739 传真 +86 (010) 6788 5057

Quick Overview for TRAP1 抗体 (AA 41-90) (ABIN202875)

抗原

See all TRAP1 抗体
TRAP1 (TNF Receptor-Associated Protein 1 (TRAP1))

适用

  • 89
  • 33
  • 18
  • 3
  • 2
  • 1
人, 大鼠, 小鼠, 犬

宿主

  • 97
  • 7

克隆类型

  • 69
  • 34
多克隆

标记

  • 40
  • 8
  • 5
  • 5
  • 5
  • 5
  • 5
  • 5
  • 5
  • 4
  • 2
  • 2
  • 1
  • 1
  • 1
  • 1
  • 1
  • 1
  • 1
  • 1
  • 1
  • 1
  • 1
  • 1
  • 1
This TRAP1 antibody is un-conjugated

应用范围

  • 63
  • 35
  • 26
  • 24
  • 16
  • 14
  • 14
  • 13
  • 11
  • 5
  • 3
  • 2
  • 1
Western Blotting (WB), Immunohistochemistry (IHC), Immunohistochemistry (Paraffin-embedded Sections) (IHC (p))
  • 抗原表位

    • 15
    • 8
    • 5
    • 4
    • 2
    • 2
    • 2
    • 2
    • 1
    • 1
    • 1
    • 1
    • 1
    • 1
    • 1
    • 1
    • 1
    • 1
    AA 41-90

    特异性

    Human TRAP1

    预测反应

    Percent identity by BLAST analysis: Human (100%) Guinea pig (92%) Mouse, Rat, Dog (85%).

    纯化方法

    Protein A purified

    免疫原

    Synthetic peptide located between aa41-90 of human TRAP1 (Q12931, NP_057376). Percent identity by BLAST analysis: Human, Chimpanzee, Gorilla, Gibbon, Monkey (100%), Orangutan, Marmoset, Guinea pig (92%), Elephant (91%), Mouse, Rat, Dog, Bat (85%), Hamster (84%).

    Type of Immunogen: Synthetic peptide

    亚型

    IgG
  • 应用备注

    Approved: IHC, IHC-P, WB (0.5 μg/mL)

    说明

    Target Species of Antibody: Human

    限制

    仅限研究用
  • 状态

    Lyophilized

    溶解方式

    After adding water, will consist of PBS buffer with 2 % sucrose

    浓度

    Lot specific

    缓冲液

    Lyophilized.

    注意事项

    Avoid repeat freeze-thaw cycles.

    储存条件

    4 °C,-20 °C

    储存方法

    Long term: -20°C, the use of 50% glycerol is recommended if storing aliquots in -20°C for long term use (up to 1 year)
    Short term (less than 1 week): 4°C. Avoid freeze-thaw cycles.
  • 抗原

    TRAP1 (TNF Receptor-Associated Protein 1 (TRAP1))

    别名

    TRAP1 / HSP75

    背景

    Name/Gene ID: TRAP1

    Synonyms: TRAP1, HSP 75, HSP75, HSP90L, TNFR-associated protein 1, TRAP-1

    基因ID

    10131

    NCBI登录号

    NP_057376

    UniProt

    Q12931
You are here: