电话:
+86 (0512) 65829739
传真:
+86 (010) 6788 5057
电子邮件:
orders@antibodies-online.cn

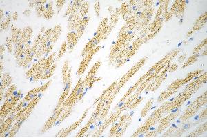
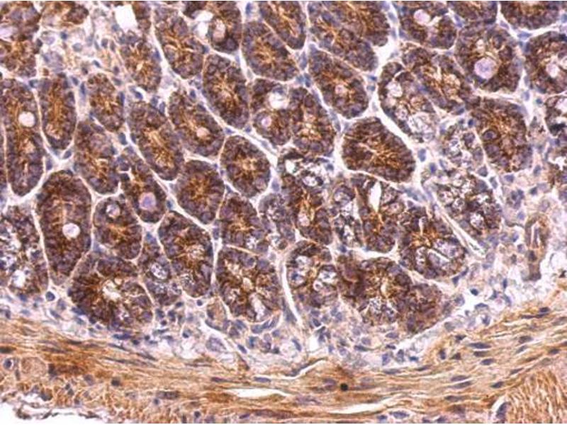
TRAP1 抗体

The 兔 多克隆 anti-TRAP1 antibody is suitable to detect TRAP1 in samples from 人. It has been validated for WB, IF, ICC 和 IHC (p).
产品编号 ABIN2855258
发货至: 中国
Contact our Customer Service for availability and price in your country. Contact Info

Our Local Distributor

中国
北京 101111
No. 88 KeChuang 6th Street
Beijing Economic Technological Development Area
Room 801-803
4A Biotech Co.,Ltd.
Tel +86 (0512) 65829739 传真 +86 (010) 6788 5057

Quick Overview for TRAP1 抗体 (ABIN2855258)

抗原

See all TRAP1 抗体
TRAP1 (TNF Receptor-Associated Protein 1 (TRAP1))

适用

  • 89
  • 34
  • 19
  • 4
  • 2
  • 1

宿主

  • 97
  • 7

克隆类型

  • 69
  • 34
多克隆

标记

  • 40
  • 8
  • 5
  • 5
  • 5
  • 5
  • 5
  • 5
  • 5
  • 4
  • 2
  • 2
  • 1
  • 1
  • 1
  • 1
  • 1
  • 1
  • 1
  • 1
  • 1
  • 1
  • 1
  • 1
  • 1
This TRAP1 antibody is un-conjugated

应用范围

  • 63
  • 36
  • 25
  • 24
  • 16
  • 14
  • 13
  • 13
  • 11
  • 5
  • 3
  • 2
  • 1
Western Blotting (WB), Immunofluorescence (IF), Immunocytochemistry (ICC), Immunohistochemistry (Paraffin-embedded Sections) (IHC (p))

质量等级

KO Validated
  • 交叉反应

    人, 小鼠

    产品特性

    Rabbit Polyclonal antibody to TRAP1 (TNF receptor-associated protein 1)
    TRAP1 antibody

    纯化方法

    Purified by antigen-affinity chromatography.

    免疫原

    Recombinant protein encompassing a sequence within the center region of human TRAP1. The exact sequence is proprietary.

    亚型

    IgG
  • 应用备注

    WB: 1:500-1:3000. ICC/IF: 1:100-1:1000. IHC-P: 1:100-1:1000. Optimal dilutions/concentrations should be determined by the researcher. Not tested in other applications.

    说明

    Positive Control: HepG2 , Molt-4 , 293T

    Validation: KO/KD, Orthogonal

    限制

    仅限研究用
  • 状态

    Liquid

    浓度

    0.66 mg/mL

    缓冲液

    1XPBS ( pH 7), 10 % Glycerol, 0.01 % Thimerosal

    储存液

    Thimerosal (Merthiolate)

    注意事项

    This product contains Thimerosal (Merthiolate): a POISONOUS AND HAZARDOUS SUBSTANCE which should be handled by trained staff only.

    储存条件

    4 °C,-20 °C

    储存方法

    Store as concentrated solution. Centrifuge briefly prior to opening vial. For short-term storage (1-2 weeks), store at 4°C. For long-term storage, aliquot and store at -20°C or below. Avoid multiple freeze-thaw cycles.
  • 抗原

    TRAP1 (TNF Receptor-Associated Protein 1 (TRAP1))

    别名

    TNF receptor associated protein 1

    背景

    HSP90 proteins are highly conserved molecular chaperones that have key roles in signal transduction, protein folding, protein degradation, and morphologic evolution. HSP90 proteins normally associate with other cochaperones and play important roles in folding newly synthesized proteins or stabilizing and refolding denatured proteins after stress. TRAP1 is a mitochondrial HSP90 protein. Other HSP90 proteins are found in cytosol (see HSP90AA1, MIM 140571) and endoplasmic reticulum (HSP90B1, MIM 191175) (Chen et al., 2005 [PubMed 16269234]).[supplied by OMIM]

    Cellular Localization: Mitochondrion

    分子量

    80 kDa

    基因ID

    10131

    UniProt

    Q12931
You are here: