电话:
+86 (0512) 65829739
传真:
+86 (010) 6788 5057
电子邮件:
orders@antibodies-online.cn

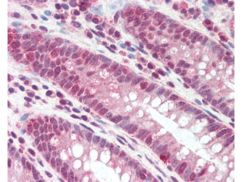
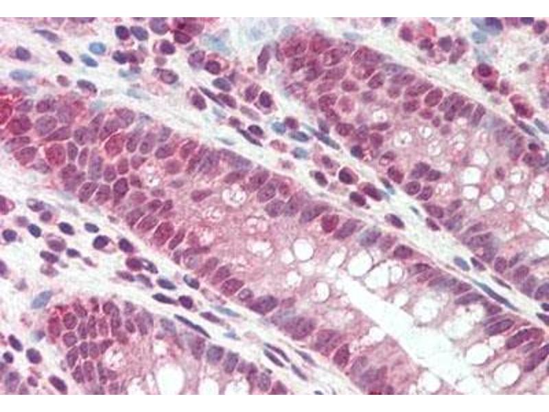
DEFB107A 抗体 (AA 29-42)

The 山羊 多克隆 anti-DEFB107A antibody (ABIN1978380) specifically detects DEFB107A in ELISA, IHC 和 IHC (p). The antibody is reactive with 人 samples.
产品编号 ABIN1978380
发货至: 中国
Contact our Customer Service for availability and price in your country. Contact Info

Our Local Distributor

中国
北京 101111
No. 88 KeChuang 6th Street
Beijing Economic Technological Development Area
Room 801-803
4A Biotech Co.,Ltd.
Tel +86 (0512) 65829739 传真 +86 (010) 6788 5057

Quick Overview for DEFB107A 抗体 (AA 29-42) (ABIN1978380)

抗原

See all DEFB107A 抗体
DEFB107A (Defensin, beta 107A (DEFB107A))

适用

宿主

  • 2
  • 1
山羊

克隆类型

  • 3
多克隆

标记

  • 3
This DEFB107A antibody is un-conjugated

应用范围

  • 2
  • 2
  • 1
  • 1
ELISA, Immunohistochemistry (IHC), Immunohistochemistry (Paraffin-embedded Sections) (IHC (p))
  • 抗原表位

    • 2
    • 1
    • 1
    AA 29-42

    特异性

    Human DEFB107A/B.

    纯化方法

    Immunoaffinity purified

    免疫原

    Synthetic peptide HRALISKRMEGHCE from an internal region of human DEFB107A (NP_001032757.2, NP_001035795.1). Percent identity by BLAST analysis: Human, Chimpanzee (100%), Gorilla, Orangutan, Gibbon, Monkey (93%), Marmoset (86%).

    Type of Immunogen: Synthetic peptide
  • 应用备注

    Approved: IHC, IHC-P (5 μg/mL), Peptide-ELISA (1:32000)

    Usage: Peptide ELISA: antibody detection limit dilution 1:32000. Western blot: Not tested.

    说明

    Target Species of Antibody: Human

    限制

    仅限研究用
  • 状态

    Liquid

    浓度

    Lot specific

    缓冲液

    Tris-buffered saline,  pH 7.3, 0.5 % BSA, 0.02 % sodium azide

    储存液

    Sodium azide

    注意事项

    This product contains Sodium azide: a POISONOUS AND HAZARDOUS SUBSTANCE which should be handled by trained staff only.

    储存条件

    -20 °C

    储存方法

    Store at -20°C. Avoid freeze-thaw cycles.
  • 抗原

    DEFB107A (Defensin, beta 107A (DEFB107A))

    别名

    DEFB107A

    背景

    Name/Gene ID: DEFB107A

    Synonyms: DEFB107A, Beta-defensin 7, BD-7, DEFB-7, Defensin, beta 107A, Defensin, beta 7, DEFB107, DEFB7, Beta-defensin 107, Defensin, beta 107

    基因ID

    245910

    NCBI登录号

    NP_001032757, NP_001035795
You are here: